肺部CT检查是一个非常常见的检查,你因为咳嗽,咳嗽,胸痛等症状去看病的时候,医生就有可能会给你开一个肺部CT的检查。其实,肺部CT这个名字是不太准确的, 肺部CT检查,我们一般指的是胸部CT,可以扫描整个肺部,胸壁,纵膈,还可以扫描到上腹部,可以看到一部分肝脏和胃。而且,肺部CT可以分为两种,一个是胸部CT平扫,一个是胸部增强CT,增强CT需要打造影剂到血管里面,可以观察心脏,大血管,看看病变的血供情况。所以,肺部CT除了检查肺部,还可以检查很多地方,整个胸部都是可以看见的。今天曾医生就来科普一下,肺部CT可以查哪些东西:
(1)双肺和气管
肺部的CT,可以检查两侧的肺部、气管和胸膜有没有异常,例如肺炎,肺部结节,肺癌,肺脓肿,肺大疱,气胸,胸腔积液,胸膜炎,肺结核,支气管扩张等等。几乎所有的肺部疾病,都可以通过肺部CT发现。其实,胸部CT还可以看有没有淋巴结转移,包括肺部的淋巴结和纵膈的淋巴结。

肺癌
(2)心脏大血管
肺部CT可以看心脏结构有没有问题,心脏大不大,心肌厚不厚,有没有室壁瘤,大血管,肺动脉,主动脉有没有异常,有没有血管瘤,动脉夹层,动脉硬化等等。专门的冠状动脉CT,还可以看供应心脏的冠状动脉有没有粥样硬化,有没有动脉狭窄,狭窄的严重程度,也就是判断有没有冠心病,需不需要放置冠脉支架。冠状动脉的CT可以部分替代冠脉造影检查。

冠脉CT
(3)食管
胸部CT还可以看食管有没有问题,例如食管有没有异物,例如卡鱼刺,鸡骨头等等,有没有食管憩室,食管癌等等,可以了解肿瘤侵犯食管的范围,有没有淋巴结转移,大血管有没有受到侵犯等等。

食管癌
(4)肋骨和脊柱
胸部CT骨骼,包括肋骨和胸椎。可以看看肋骨,有没有肋骨骨折,肋骨上面有没有长东西,例如肋软骨瘤等等。还可以观察脊柱,胸椎有没有毛病,有没有胸椎骨折,占位,肿瘤,神经有没有受压等等。

肋骨骨折
(5)乳房和胸壁
胸部CT其实还可以检查乳房和胸壁,乳房有没有钙化,有没有长肿物,有没有乳腺癌,乳房假体等等,还可以看到胸壁有没有占位,肿物等等。但是,乳房检查首选彩超检查和乳腺钼靶检查,CT并不是主要的检查手段。

乳房假体
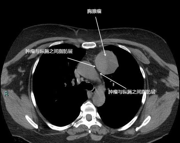
(6)纵膈
整个胸部可以分为胸廓、双肺和纵膈。除了气管、食管、大血管和心脏之外,胸部CT还可以发现纵膈里面有没有其他的问题,例如胸腺瘤,胸骨后甲状腺肿,畸胎瘤,皮样囊肿,神经节细胞瘤等等。

胸腺瘤
除了这些,胸部CT还可以看见膈肌,上腹部,部分胃和肝脏等等。所以,胸部CT能够比普通胸片提供更多的信息,特别是对于肺癌的早期诊断,非常有好处。胸部高分辨CT可以发现直径小至3毫米左右的肺结节,所以,胸部高分辨CT是诊断早期肺癌,肺癌筛查的主要手段。(图片来自网络,侵权删)#曾医生带你识图诊断# #清风计划# #滚蛋吧肿瘤君#