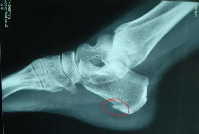
一、什么是足跟骨刺?
骨刺,是骨质增生的俗称。足跟骨刺即是足跟骨质增生,足跟骨刺是—种正常的生理退化现象,是人体的—种保护性生理反应,每个人都难以避免,区别仅仅是有的人出现得早些,有的出现得较晚些,—般在40岁以后。
二、为什么会出现骨刺?
骨质增生的根本原因是缺钙。当饮食中摄取的钙不足时,为了维持血液中钙浓度正常需要量,人的机体内部就会自主进行调整,通过血液运输,从我们的骨骼及牙齿中调动并借用出一些钙到血液中,来维持血钙的平衡,弥补机体所需,从而造成骨质缺钙。骨钙的丢失会造成骨质疏松,产生代偿作用,代偿作用又使钙在骨端不均匀沉积,形成骨质增生。

三、足跟骨刺的病因
跟骨骨骺炎:本症只发生于跟骨骨骺出现到闭合这段时间内,跟骨第二骨化中心从6~7岁出现,13~14岁逐渐闭合,所以本病多发生在少年发育生长期。
跟腱滑囊炎:主要因穿鞋摩擦所致,尤其是女性经常穿高跟鞋,鞋的后面与跟骨结节之间反复摩擦,导致跟骨结节处滑囊发生慢性无菌性炎症,使滑囊增大,囊壁增厚,发生本病。
跟骨下脂肪垫炎:一般患者有外伤史,多因走路时不小心,足跟部被高低不平的路面或小石子硌伤,引起跟骨负重点下方脂肪组织损伤,局部充血、水肿、增生。
跖筋膜炎:本病因长期的职业关系站立在硬地面工作,或因扁平足,使跖腱膜长期处于紧张状态,在其起点处因反复牵拉发生充血、渗出,日久则骨质增生,形成骨刺。
肾虚性跟痛症:年老体弱或久病卧床,肾气虚衰,则骨萎筋弛,现代医学认为久病卧床,足跟部因不经常负重而发生退行性变,皮肤变薄,跟下脂肪垫部分萎缩,骨骼发生脱钙变化而致。

四、产生足跟骨刺的常见原因
鞋子、外伤、长期站立、肥胖、肾虚等造成足跟关节磨损、破坏,人体自身会进行自我的修复,硬化与增生,从而形成足跟骨刺。
五、跟骨骨刺的临床表现
足跟骨刺的症状表现与骨刺的大小、病发时间的长短、有无炎症等有关系。
1、脚后跟脚尖朝上脚后跟向下用力时,里面有针刺感觉,用手摸有麻痹的感觉;
2、长途步行引起劳累后疼痛又会加重,如走路时不慎踩在砖瓦块上 或下楼梯时,足部着地用力过猛,会引起剧烈疼痛;
3、足跟外表皮红肿,用手碰触发热;.
4、足跟中央有一个压痛点,用手指触压疼痛剧烈;
5、严重者无法踏地行走;
6、足根压痛,脚底疼痛,早晨重,下午轻,起床下地第一步痛不可忍,时轻时重,走路时脚跟不敢用,有石硌、针刺的感觉,活动开后症状减轻。

六、跟痛症
跟痛症在中医学中属于“骨痹”范畴,发病原因多与老年肾亏劳损,外伤和感受寒湿有关。中医认为肝主筋、肾主骨,肝肾亏虚,筋骨失养,复感风寒湿邪或慢性劳损便导致经络瘀滞,气血运行受阻,使筋骨肌肉失养而发病。
七、常见误区
1、骨刺是种病一定要治好
人体关节从30岁就开始蜕变了。即使在X线光片有了明显改变,也不一定需要治疗。这是因为骨刺是一个自然衰老的过程,属于生理自然现象。在无任何临床症状,病人无丝毫痛楚的情况下还不能称为病,是不需要治疗的。除非当骨刺压迫重要组织,产生临床症状,患者出现疼痛时才需要治疗手段来解决。
2、骨刺通过治疗能“消除掉”
骨质增生为一种生理现象,是客观形成的。骨刺引起的临床症状需要医疗手段来治疗是限制骨刺的破坏,并不能“剔除”骨刺,而且骨质增生常会再生。如果要有让骨刺完全被“消除掉”的药,那也就是你已经发现了返老还童的秘方——这是不可能实现的。

八、足跟痛的家庭治疗
1、选择软底鞋,选择橡皮底的鞋子对足部较好,穿得舒适比穿得好看更重要;
2、避免走在坚硬的表面上,例如水泥地、木板、或无地毯的地板。而且也可以在脚跟处加护垫,以减轻疼痛;
3、垫上泡沫软垫,软垫可减轻骨刺对周围的压迫,可以在软垫骨刺相应的部位挖一个洞;
4、热敷,如果疼痛的比较厉害,可用亚麻仁敷袋热敷;
5、泡脚,轮流用热水及冷水泡脚,对减轻症状大有好处,用冰块按摩脚底也有帮助;
6、有选择的锻炼,你可以用骑脚踏车或游泳取代走路或慢跑,既达到了锻炼的目的,又不会伤及病脚。但是不能长期剧烈运动,因为长期剧烈运动会使骨骼及周围软组织过度受力及牵拉,导致受力不均形成骨质增生。
7、减肥,肥胖是引发骨刺的原因之一,因此减肥也是刻不容缓。
8、卧床休息,足跟骨刺急性期如疼痛难忍,卧床休息1-2周对骨刺的康复很必要,卧床期间可局部使用外用药物助于康复。
9、勿吃任何柳橙类水果,尤其是橘子、橙子。也避免糖、酒、咖啡。这些物质将阻挠复原过程,并扰乱体内的矿物质平衡。

10、补充营养素
①盐酸甜菜碱:帮助钙质吸收。年长者较易缺乏盐酸。
②钙及镁箝合剂:钙每天1500毫克,镁每天750毫克。保持钙、镁平衡将预防不正常的钙质堆积。
③蛋白质分解酵素:帮助营养的吸收及控制发炎。
④维生素C:维生素C每天2000~4000毫克,黄酮每天100毫克。一种抗发炎剂,对胶原蛋白及结缔组织有益,帮助减轻疼痛。
⑤维生素B6:每天50—100毫克。同时服用各种维生素B最能发挥其功效,维生素B6是制造盐酸所必需的。
11、食疗
补充营养,多吃含蛋白质、钙质、胶原蛋白多的食物,如:牛奶、奶制品、黑木耳、鱼虾、牛蹄筋等。
九、预防与调护
1、适量运动
预防足跟骨刺的最有效办法是避免长期剧烈运动。适当进行体育锻炼,适当的运动,特别是关节的运动,可增加关节腔内的压力,有利于关节液向软骨的渗透,减轻关节软骨的退行性改变,从而减轻或预防骨质增生,尤其是关节软骨的增生和退行性改变。
2、变换姿势
另外不论劳动还是休闲娱乐,要想着经常变换姿势,避免固定姿势对关节造成的压迫。
3、减轻体重
体重过重是诱发脊柱和膝关节骨质增生的重要原因之一,过重的体重会加速关节软骨的磨损。因此要注意减轻体重。
4、注意休息,保持良好心情。


南阳医专一附院骨科一病区作为南阳市临床医学重点专科,河南省卫生厅批准的髋关节、膝关节置换科室,拥有椎间盘镜、关节镜、C臂X光机、手术显微镜等先进设备。开展有骨伤、骨病、骨肿瘤、骨结核等各种运动系统疾病诊疗项目。对各种复杂骨折、脊柱创伤、关节创伤、软组织创伤、先天畸形的诊疗及髋关节置换、膝关节置换有丰富的临床经验。脊柱外科是本科的特色项目,成功实施颈椎、胸椎、腰椎疾病及创伤的前后路手术近万例,尤其是微创腰椎间盘手术治疗居南阳领先水平。
科室名称:南阳医专一附院骨科一病区
位 置:综合病房楼九区北区
电 话:63328373
