
随着社会的发展和人们生活水平的提高,心脑血管病的发病率也在逐年增高,从而人们对于此病症认识也在慢慢提高。众所周知心脑血管病的危害是非常大的,低龄发病率逐年增长。在这样的环境下,预知自己的血管情况是早期诊断心脑血管病的必要条件。
本期健康科普堂邀请沈阳医学院附属第二医院放射线教研室主任、放射线科主任、副主任医师朴成浩给大家介绍一下能够了解自身血管情况的常用技术——CTA。
众所周知预防性化验只能了解血液内的物质变化情况,但不能从形态上看见血管的实际情况,而CTA检查可以从形态上了解血管的实际情况。
一、CTA是什么?它是怎么让血管显示的呢?
CTA(CT血管造影)是一种新的无创伤性血管成像,它利用受检者靶血管内造影剂充盈的高峰时期性,进行连续解剖及病、生理原始数据的立体采集,然后运用计算机的后处理功能,并制成彩*图色**像储存于光盘,其影像能从左至右旋转360°,从头至尾观察并能完美地显示血管。
所以它是临床上筛查血管性疾病的一个重要手段,在当今社会普遍应用。主要应用包括:
(1)头颈部CTA应用:动脉粥样硬化所致的头颈部血管狭窄、颅内外动脉瘤、颅内动静脉畸形、烟雾病、颈动脉体瘤。
(2)主动脉及分支CTA应用:主动脉畸形、主动脉夹层、主动脉粥样硬化、主动脉瘤、主要分支栓塞(如肠系膜上动脉、肾动脉栓塞比较常见)。
(3)上下肢动脉CTA:粥样硬化所致狭窄。
(4)另外可以显示各部位肿瘤与其供血血管的关系、肝硬化侧支循环为临床医生诊断及外科设定术后方案提供可靠的依据。
临床上可以通过CTA的图像直观定位、定性。CTA检查对图像进行后处理的技术比较成熟,可以通过多种技术对血管图像的大体及内部做更详细的观察。
二、CTA的常用技术有哪些?
1. VR-容积重现/三维技术
VR三维显示可以直观显示血管的大体形态、解剖,可以对病变进行明确的定位、定性诊断,可以直观地显示血管狭窄、血管瘤、动静脉畸形等病变,还可以间接判断血管壁的病变,进而提供进一步检查的必要性。CTA检查的VR技术实现了无创检查就能了解自己血管形态的目的。

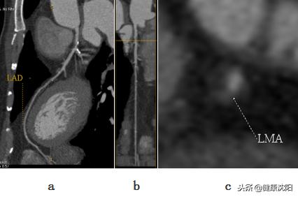
显示左冠脉血管的解剖形态及分布

显示主动脉及分支血管的形态,间接地判断血管壁的病变

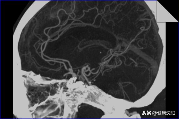
显示颅内血管的解剖及病变

显示局部的微小动脉瘤/异常的血管壁外凸影像

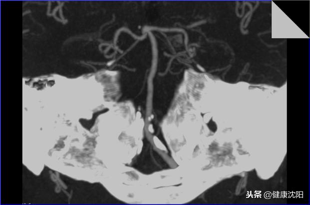
显示腹主动脉及双侧下肢血管影像与骨骼影像VR主次重叠显示

显示冠脉与心脏VR主次重叠图像,可以反映冠脉的心肌供血区域对照
2. MIP-最大密度投影技术
简单地说就是将高于一定阈值密度的影像投影在平面上显像的一种方法,由于这种处理技术对高密度的影像较为敏感,所以它对血管壁上的高密度斑块显示较明显,此外它也可以判断血管是否狭窄或扩张,显示病变,以及血管的平面解剖关系。

显示椎-基底动脉-大脑后动脉系统血管的平面解剖

显示椎-基底动脉-大脑后动脉血管解剖以及血管壁的钙化

显示冠状动脉管壁上的钙化

清晰显示大脑前动脉的平面解剖关系

双下肢血管MIP仿DSA影像,可以显示钙化及支架影像
3. CPR-曲面重建与血管探针技术
简单地说就是将不在同一片面的组织或血管重组到一个平面上显示的技术。它能显示血管壁、血管腔内的病变,可以判断有无斑块,斑块的性质,血管与周围组织的关系等等,当VR、MIP发现管腔狭窄或扩张时,可以通过CPR明显病因。探针技术是在CPR拉直血管的基础上,探测感兴趣区域的血管内壁情况的技术。

abc:冠脉CPR曲面图像、拉直图像及相应病变血管截面的探针图像

df:显示血管曲面、拉直图像,观察到血管内闭塞及狭窄情况

ghl:显示下肢血管曲面、拉直影像
三、CTA的禁忌症
每个检查都有检查的禁忌症(患者本身具有一些症状或病症不能耐受检查),CTA检查也不例外,一旦发现有CTA检查的禁忌症是不能做CTA检查的。接下来跟大家普及一下CTA的禁忌症,主要是冠脉CTA的禁忌症。
造影剂过敏试验阳性者,有各种过敏史;
房颤及其它频发心律失常者(某些先进CT机可忽略);
心肌梗塞急性期患者,稳定后可进行;
明显心功能、肾功能不全;
年龄超过70岁,酌情检查;
病重、体弱、一般情况差者。
还有一些情况需慎重考虑行此检查,比如,已明确有冠脉重度狭窄者;心率高于90次/分者(先进CT机可忽略);冠脉支架再狭窄不明确者;冠脉搭桥吻合口狭窄判断较困难者等等。
除此之外,CTA检查是一种增强检查,检查时利用高压注射装置向血管内团注造影剂,极个别人会在检查过程中由于个体体质差异会产生对造影剂的过敏反应或者造影剂的压力反流或外渗。一旦出现过敏反应就需要进行相应的处理。检查后还需要增加饮水量,使体内造影水化,加快造影剂通过肾脏排泄。
CTA检查针对血管疾病的诊断优势是巨大的,现在的CTA技术已经十分的成熟,检查的时间缩短了,成功率提高了,成像后影像的质量也越来越好了。
总而言之,CTA检查技术已经普及,在血管病变诊断方向上起着重要的作用,希望CTA检查技术能够让更多的人群得到了解及认识,使更多的人得到及时的诊断,从而及早地得到治疗。科学发展需要更多更好的技术和更多的实践。
【本期专家】
朴成浩,沈阳医学院附属第二医院放射线教研室主任、放射线科主任,副主任医师,医学硕士,副教授。中华医学会性病艾滋病分会青年委员、中国医学装备协会CT工程技术专业委员会心胸部CT技术学组委员,辽宁省抗癌协会影像分会委员,沈阳市影像质控专家组成员、沈阳医学会放射分会委员、沈阳医学会介入分会委员。辽宁省“百千万人才工程”千层次人才,沈阳医学院附属第二医院医学影像专业学术带头人。
