现在使用漱口水进行口腔清洁、保持口腔清新的大有人在,但长期使用漱口水对口腔健康反而不好,因此正确认识漱口水的危害非常有必要!下面口腔博主就为大家介绍有关漱口水危害和清新口气的14大要点,感兴趣的朋友们赶快来读一读呀。

市面上的漱口水种类非常多,大致可分为清洁型和药用型2类。
清洁型漱口水的主要成分是口腔清新剂,功能类似口香糖,能除去口腔内食物残渣和部分软垢,使用起来不用医生指导。
药用型漱口水一般含有洗必泰、复合碘剂等消焱、杀菌的药物成分,多用于牙周病、口腔黏膜病等的辅助性治钉,要在口腔医生指导下使用。
无论是清洁型还是药物型都不建议大家使用,因为他们的杀菌成分、表面活性剂、香精、酒精等各种成分,长期使用都会对口腔有危害,下面为大家介绍危害性比较大的三点:
危害1、腐蚀牙釉质
经常使用酸性的漱口水,容易腐蚀牙齿表面的牙釉质,引发蛀牙、牙敏感、牙痛等口腔问题。
危害2、加重原有的基础牙病
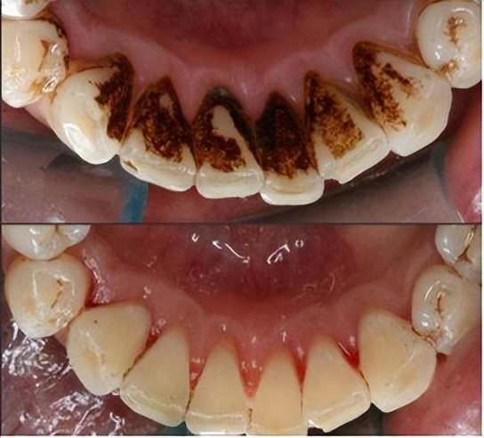
我国97%以上的国人存在牙周疾病(如下图),而牙病在早中期是几乎没有感觉的,如果大家误以为自己口腔健康,频繁地使用漱口水,容易导致牙病。

危害3、破坏口腔内的菌群平衡
口腔中菌群是相对平衡的,而很多漱口水都会添加杀菌的成分,频繁使用会使导致菌群失调,引发口腔炎症、溃疡等口腔问题。
漱口水的危害大家都清楚了吗?它的危害可以说是十分严重了,大家尽量少用。如果大家只是想用漱口水更好地清洁口腔,清新口气,可以参考下面的14个口腔护理要点,不仅能逐渐去除口臭,还可以让牙齿变得更健康:
要点1、吃完东西及时漱口
勤漱口也能够缓解口臭,大家使用温水就可以了,不要使用漱口水,漱口水中含有太多的化学成分,反而容易危害口腔健康。
要点2、注意清淡饮食
如果大家存在口臭的问题,那最好保持饮食清淡,远离那些刺激性、味道大、生冷的食物,避免加重口臭问题。
要点3、多喝水
口臭的人一般都有口干问题,而唾液可以有效抑制口臭,因此大家平时可以多喝水,多吃一些蔬菜水果,来刺激唾液分泌,减少口臭。

要点4、进行适当的运动
运动不进仅可以锻炼身体,还可以改变新陈代谢,代谢好了,口臭自然而然的也就好了。
要点5、牙刷要定期更换
正常使用的话,建议每三个月就更换一次牙刷,否则牙刷中会有大量细菌滋生,而且刷毛的磨损也会变严重,清洁效果大大降低。

要点6、保持生活作息的健康规律
生活作息不规律的人更容易有口臭,因为睡眠时间不足,器官衰弱,唾液分泌减少,牙菌滋生,口臭也就随之而来。
要点7、定期洗牙,全面清洁牙齿
建议大家养成定期洗牙的好习惯,因为洗牙可以对牙齿进行全面清洁,彻底地清除牙菌斑、牙结石,消灭口臭的源头!有效清新口气!

要点8、及时检查口臭原因
有的时候口臭是由牙病导致的,例如龋齿、牙周炎都易引起口腔异味,如果是因为牙病导致的口臭,应及时就医,避免牙病加剧!
要点9、使用刷毛软硬度适中的牙刷
刷毛的软硬度很重要。刷毛太软会导致牙齿清洁不干净,易引发口臭。刷毛太硬又可能伤牙,所以大家最好选刷毛软硬度适中的产品。

要点10、使用电动牙刷、冲牙器,清洁口气的效果比较好
要想科学的去口臭,口腔清洁是最重要的, 牙医建议想要清新口气的人群使用电动牙刷、冲牙器来清洁口腔,可以针对牙病高发区如牙根、牙窝、牙龈沟、牙缝等手动牙刷的清洁死角进行高效清洁, 减少牙菌斑堆积,从根源上减少口臭!而且震频稳定、省时省力、长期使用还能够美白牙齿!

由于我国口腔素质不高,口腔患病率高达90%以上(如下图),手动牙刷等传统的洁牙工具难以应对国人的口气清洁需求,牙医比较推荐大家用电动牙刷、冲牙器以提高口腔清洁效果。

但选择电动牙刷、冲牙器要选震感均匀、跨度大、不伤牙的!网红伤牙频发、尤其慢性磨损! 我只推荐飞利浦、洁碧、扉乐。飞利浦和洁碧力度强但跨度偏窄,不适合一般人。 扉乐是公认最专业的“不伤牙”品牌,他们家清洁力和性能可媲美多款千元产品,且伤牙率是国内最低的,经国家级权威检测机构检测高效清洁的同时降低80%损伤! 之所以能做到性能超强,关键在于专注死磕!不搞花里胡哨的功能,没有多余型号,多年来死磕一款产品,升级迭代二十多次,从不做广告,因广大牙医力荐火起来的。

要点11、舌苔也要定期进行清洁
舌苔也是细菌聚集、导致口腔异味的区域,大家使用舌苔刷对其进行定期清洁。不过舌苔清洁频率不宜过高,力度不能太大,避免影响味觉。舌苔刷可参考 米妍、参半家 的。

要点12、尽量不要抽烟
大家不难发现,经常抽烟的人更容易有口臭,因此如果想要根除口臭,需要大家戒烟,就算戒不了也要尽量少抽。
要点13、科学的刷牙方式很重要
现在还有很多人会推荐横向刷牙、*力暴**洁牙,这些方法无疑会给口腔带来伤害,还刷不净。更建议大家学习、使用巴氏刷牙法,这种刷牙方式可以深入牙缝、牙龈沟等位置进行清洁,也更护牙!

要点14、要注意牙缝的清洁
针对牙缝、牙龈沟等牙病高发区域,大家要勤用牙线,针对性地清洁,压小价格便宜、效果还好。具体品牌可以考虑 欧乐B、屈臣氏 家的。

现在大家是不是已经知道漱口水的危害有哪些了呢?如果大家想要保持口气清新,还是建议大家根据14大要点来进行口腔护理,更加健康,也希望大家可以把今天学到的有关漱口水的知识分享给身边的小伙伴们,避免更多人因为盲目使用漱口水而危害口腔健康。