对于"痛风"这一个名词,大家肯定不陌生。近几十年来,随着我国经济水平的飞速发展,老百姓的生活水平有了质的飞跃,随之而来的是人们的日常饮食结构大大改变(高嘌呤、高蛋白饮食所占比重逐渐增加)。据最新的流行病调查显示:在>18岁的人群中,美国的痛风患病率是3.9%,英国为1.4%~2.5%,而我国高尿酸血症的发病率已超过20%,相应的痛风患病率也呈现逐渐增高的态势,近10年的发病率是上世纪80年代的10~20倍。

痛风发作可引起关节剧痛!
危险的警戒信号—痛风结节
痛风,从临床表现上可以分为以下4个阶段:
- 无症状的高尿酸血症期;
- 急性发作的痛风性关节炎期;
- 间歇性静止期;
- 慢性痛风结节期;

如何尽可能延缓痛风病情的进展、快速缓解疼痛、减少或避免对人体的损害是目前医学界研究的重点。研究发现,如果人体血清尿酸值长时间>535μmol/L,至少50%的病人最终会罹患痛风结节,而且血清尿酸的浓度越高,持续时间越长,产生痛风结节的可能性越大。痛风结节的出现,表明痛风已经开始对人体造成不可逆转的损害了。

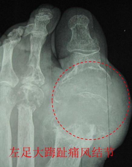
痛风结节好发于小关节
痛风结节如何出现?
痛风结节是痛风的特征性病变,是由于人体内血尿酸浓度长时间处于一个较高的水平,尿酸盐结晶沉淀在内脏、关节等部位,久而久之形成了一种"结节样异物",其大小不一,小如沙粒,大如鸽蛋。除了中枢神经系统,尿酸盐结晶能够在人体所有器官和组织内沉积,其中最常见的是肾脏、胆囊或耳廓软骨、手指、足趾等关节。

痛风结节发生于肾脏也称为尿酸结石!
痛风结节的危害
一旦我们体内出现痛风结节,又放任不管,痛风结节内部逐渐发生纤维化和钙化。到了这一阶段,想通过降尿酸药物溶解结节,是不可能的。根据结节形成部位的不同,会有不一样的危害和痛苦,常见的3个部位包括:
- 关节:首先尿酸结晶的刺激,会诱发机体产生一系列炎症反应,导致关节附近的骨质、骨髓被破坏,造成关节畸形、骨质疏松,最终导致关节活动障碍;其次痛风结节逐渐变大,表面皮肤紧绷、变薄,一旦受到摩擦、受压、冷热刺激或外伤时,皮肤很容易破溃,会流出白色豆腐渣样的尿酸结晶,合并感染的时候往往导致伤口不能愈合,严重者可能导致截肢。

- 泌尿系统:肾脏、输尿管和膀胱内均可形成尿酸结石,导致腰痛、血尿、发热、尿痛等症状,严重者可出现肾功能衰竭。
- 胆囊:尿酸结晶沉积可形成胆囊结石,诱发急性胆囊炎。
如何预防痛风结节?
预防痛风结节,最关键一步是持续有效地降尿酸。目前一致认为,下列4类病人最好开始接受长期的降尿酸治疗,直至体内血尿酸浓度降至目标值(要求降至360μmol/L以下,合并痛风结节者必须<300μmol/L ):
- 痛风反复发作,发作次数>2次/年;
- 体内存在痛风结节,包括尿酸性肾结石、慢性痛风性关节炎、影像学检查发现关节骨质破坏;
- 难以控制的急性痛风发作;
- 合并肾功能不全或体内尿酸产生过多;

痛风结节可造成不可逆转的损害!
此外,中国医师协会和日本痛风和核酸代谢协会的指南认为,下列2类人也应该降尿酸:
- 没有症状但血尿酸值≥535μmol/L;
- 血尿酸值≥476 μmol/L,过去1年痛风急性发作≤2次;

危险人群应尽早控尿酸!
总而言之,痛风结节是人体内血尿酸水平严重超标的警报,不及时处理,危害多多。对于通过饮食、运动等方式控制不好的高尿酸血症人群,最好尽早进行降尿酸,长期维持血尿酸在目标值以下,才能减少或避免痛风导致的一系列并发症。