
顾建文教授,解放军306医院
三叉神经痛(trigeminal neuragia,TN)是面部三叉神经分布区反复发作的阵发性疼痛。由于其发病机理长期未明确,药物治疗只能暂缓疼痛,且有副作用。而其他手术治疗多对神经有一定的破坏,复发率高或并发症较多,疗效欠佳。近二十年来,微血管减压术(microvascular decompression,MVI)治疗三叉神经痛在国内外已广泛应用,且得到很好的效果。解放军306医院院长神经外科教授顾建文长期致力于此手术,取得了良好的效果.

手术方式及处理方法
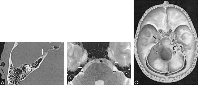
1. 体位、切口、骨窗病例均采用后颅窝旁正中直切口或钩性切口,34例采用乳突后缘直切口。侧卧位,患侧朝上,在乳突后缘作直切口6~8cm,切口上端平耳尖,下端平耳垂,逐层切开达枕鳞,充分暴露后,在枕鳞钻孔,扩大骨窗为3×3cm2,骨窗上缘达横窦,外侧达乙状窦的上段,尽量不打开乳突气房,否则开放的乳突气房用骨蜡封闭。

2. 三叉神经根的暴露在横窦下方剪开硬脑膜,向外下方延伸,然后折向内侧,硬脑膜瓣翻向中线,并在外上缘的硬脑膜上做附加小切口。悬吊硬脑膜,使横窦尽量向外上方牵开。用明胶海棉保护小脑,用宽1cm的脑压板伸入由小脑、小脑幕和岩骨嵴构成的三角内,并轻柔的翻起小脑的外上部。在手术显微镜下,锐性剪开岩静脉上的蛛网膜,用双极电凝镊电凝静脉后剪断。进一步翻开小脑,即可暴露面神经和位于其上方深处的三叉神经根和桥脑。

3. 三叉神经根受压的判断观察血管与三叉神经的解剖关系,由于侧卧位可引起小脑动脉移位,因此距三叉神经根1~2mm的血管均视为与神经有接触,特别是神经上有压迹或神经被推移和扭曲者更是可靠证据。下面部疼痛患者,是由于三叉神经根上前或后部受小脑上动脉压迫;而上部疼痛者则为神经根下外部受小脑前下动脉压迫。

4. 微血管减压确认血管压迫三叉神经根后,用长柄微型剥离子把血管从神经上分开,在三叉神经前方垫入小块明胶海棉。取1cm×0.5㎝涤纶片,两端用剪刀修成锐角,在明胶海绵和三叉神经根之间插入,并向后环绕神经,用一枚银夹把涤纶片两端对合,使之如“领套”状围绕桥脑旁的三叉神经, 以便与周围的血管隔离。也可用涤纶片衬垫在血管和神经之间,生物胶固定之。
5. 三叉神经感觉根部分切断手术指征:(1)多发性硬化斑压迫;(2)血管与神经根粘连太紧;(3)必须牺牲供应桥脑的动脉分支才能游离动脉;(4)桥脑固有静脉压迫;(5)未找到确定的压迫原因。
手术方法:用45°微型神经钩或显微剪割断桥脑旁感觉根的下外侧部。多发性硬化者,应在硬化斑的近心端剪断神经;三叉神经第3支痛时,切断感觉根下外侧50﹪;第2、3支痛时,切断80﹪;3支全痛时,全部切断感觉根。

手术适应征: (1)药物治疗,止痛效果不佳或无效者或有副作用或药物过敏者;(2)采用过酒精周围支封闭,或半月神经节射频治疗复发者;(3)第1支痛或第1-3支痛者,或双侧痛者,(4)三叉神经痛伴有面肌抽搐者。
手术路径:一般分为枕下径路、耳后径路(迷路后和乙状窦后入路)。枕下入路视野广,但损伤大,并发症多。迷路后径路视野小,给手术成了很大困难。乙状窦后入路视野宽,适应症广,并发症较少,相比之下,优点较多,为理想的手术路径。
微血管减压手术操作注意的问题:(1)一般不会损伤感觉根,可保留三叉神经的生理功能;(2)压迫血管多为动脉,而不管那一条动脉压迫,其动脉的压迫位置多在后根背侧(后侧)的蛛网膜下腔成袢状或紧缩状(基底动脉)压迫,为此,在寻找辨认致病压迫血管时,应首先用显微剪或显微膝状镊,仔细将增厚粘连的蛛网膜打开,并充分游离,显露出三叉神经感觉根的颅内段,尤其应将感觉根的入根区显露清楚(因此区往往是基底动脉和小脑前下动脉施压之处),确认后根上没有潜伏贴附血管后再剪切,以防切断血管,而造成严重后果。切断的部位在入根区0.5-1cm处;(3)对小脑上动脉形成袢状压迫者,行血管悬吊减压,效果良好(9);(4)在探查三叉神经感觉后根时,手术操作应尽量轻柔,为避免过多的刺激和损伤面神经与听神经,可先用一棉片保护面、听神经,以防止术后暂时性面部神经分布区域感觉减退及术后听力减低;(5)减压材料中,涤纶棉较涤纶片为好,因其刺激性小,Teflon棉则更好。(6)对打开的乳突气房,要用骨蜡严密封闭,以防止术后脑脊液鼻漏的发生;(7)冲洗桥小脑角处,如果用过大压力和冷生理盐水,可引起术后头痛、头晕、恶心或呕吐等反应,因此应该用等体温生理盐水轻柔冲洗;(8)切开的硬脑膜,应严密缝合,若张力较大,不能达到严密缝合时,可在切口周围切下一小块肌片,填塞后缝合固定,再覆盖明胶海绵,可减少和避免术后切口下积液、脑脊液漏的发生。
疗效的判定 一般疗效评价分为四类:(1)极好:术后疼痛完全解除,不需要进一步药物治疗,也无复发者。(2)良好:术后疼痛基本缓解,轻微疼痛不需药物治疗即可耐受或经药物治疗后完全解除者;(3)疼痛复发:术后疼痛完全解除,但一月后复发,需内科或外科治疗者;(4)无效:术后患者基本无缓解。










