髋部骨折是老年人最常见的骨折之一,由于其严重危害,被称为“人生最后一次骨折”。什么意思呢?
——就是说,老年人的髋部骨折,一不小心就可能挂了.....

高龄髋部骨折治疗
- 保守治疗
保守治疗包括单纯卧床休养、牵引治疗。由于骨折部位特殊,不适合石膏或夹板治疗。前几天说过了,由于需要长期卧床,并发症多,属于直接奔死的治疗方法,个人认为不需考虑。
- 手术治疗
根据手术方法又分为以下3种方法:
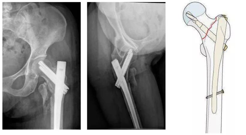
1、内固定。根据骨折情况、骨质情况选择髓内钉、钢板或螺丝钉内固定。
2、外固定。用外固定架治疗。
3、人工关节置换。根据年龄、骨质、骨折情况选择人工股骨头置换或人工全髋关节置换术。

手术治疗中,哪种治疗方法更好呢?
1、内固定:适合骨质良好的粗隆部骨折。
优点:骨折愈合后恢复到骨折前的解剖状态,闭合髓内钉技术创伤小。

缺点:骨质疏松患者内固定把持力不足,容易出现内固定剪切失效;即使固定牢固,也不能早期负重行走,恢复比较慢。

粗隆间骨折,骨质疏松,把持力不良,钉板固定,螺钉切割失败。

2、外固定:采用经皮穿钢针固定的外固定架方式治疗。
优点:创伤最小,即使身体条件很差的老年人也可以耐受。
缺点:固定力不足,外固定架不方便,妨碍翻身和活动,也不能早期下地。

3、人工关节置换术:
优点:手术简单,术后3天内患者可下床负重活动,功能恢复很快。特别是高龄股骨颈骨折患者,人工股骨头置换是绝对适应症。熟练者手术可在20分钟内完成,出血可控制在几十毫升。
缺点:手创伤伤稍大。
