
来源: 影像园
商务合作:2519330936@qq.com
导 语
小编今天为大家整理了颅脑CT解剖,有备注的影像解剖图谱,值得收藏!

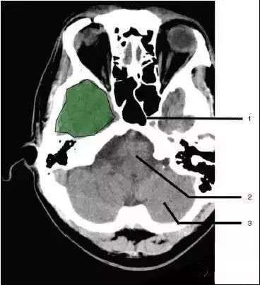
1、蝶窦(Sphenoid sinus)
2、延髓(Medulla oblongata)
3、小脑(cerebellum)绿色部分为颞叶(Temporal Lobe),浅红色部分为额叶(Frontal Lobe)

4、第四脑室(Fourth ventricle)
5、小脑中角(Middle cerebellar peduncle)
6、乙状窦(Sigmoid sinus)
7、颞骨及乳突气房(Petrous temporal bone and mastoid air cells)
8、桥小脑角(Cerebellopontine angle)
9、脑桥(Pons)
10、垂体窝(Pituitary fossa):绿色部分为颞叶(Temporal Lobe),浅红色部分为额叶(Frontal Lobe)

11、小脑蚓部(Cerebellar vermis)
12、基底动脉(Basilar artery)
13、桥前池(Prepontine cistern)
14、鞍背(Dorsum sellae)
15、侧脑室颞角(Temporal horn of lateral ventricle):绿色部分为颞叶(Temporal Lobe),浅红色部分为额叶(Frontal Lobe)

16、环池(Ambient cistern)
17、角间池 (Interpeduncular cistern)
18、大脑角(Cerebral peduncle)
19、侧裂池(Sylvian fissure):绿色部分为颞叶(Temporal Lobe),浅红色部分为额叶(Frontal Lobe)

20、小脑上池(Third ventricle)
21、侧脑室前角 (Frontal horn of lateral ventricle)
21a、第三脑室 (Third ventricle):绿色部分为颞叶(Temporal Lobe),浅红色部分为额叶(Frontal Lobe),黄色部分为枕叶(Occipital Lobe)

22、尾状核头部(Head of caudate nucleus)
23、岛叶(Insular cortex)
24、外囊(External capsule)
25、豆状核(Lentiform nucleus)
26、丘脑(Thalamus) :绿色部分为颞叶(Temporal Lobe),浅红色部分为额叶(Frontal Lobe),黄色部分为枕叶(Occipital Lobe)

27、纵裂(Interhemispheric fissure)
28、内囊前肢(Anterior limb of internal capsule)
29、内囊膝部(Genu of internal capsule)
30、内囊后肢(Posterior limb of internal capsule)
31、侧脑室三角区及脉络丛钙化(Trigone of lateral ventricle and calcified choroid plexus)
32、侧脑室枕角(Occipital horn of lateral ventricle):绿色部分为颞叶(Temporal Lobe),浅红色部分为额叶(Frontal Lobe),黄色部分为枕叶(Occipital Lobe),褐色部分为顶叶(Parietal Lobe)

33、侧脑室体部(Body of lateral ventricle)
34、放射冠(Corona radiata):浅红色部分为额叶(Frontal Lobe),黄色部分为枕叶(Occipital Lobe),褐色部分为顶叶(Parietal Lobe)

35、半卵圆中心(Centrum semiovale):浅红色部分为额叶(Frontal Lobe),黄色部分为枕叶(Occipital Lobe),褐色部分为顶叶(Parietal Lobe)、额骨(FB— Frontal bone)、顶骨(PB — Parietal bone)、枕骨(OB— Occipital bone)

36、中央前回(Pre-central gyrus)
37、中央沟(Central sulcus)
38、中央后回(Post-central gyrus):浅红色部分为额叶(Frontal Lobe),褐色部分为顶叶(Parietal Lobe)

浅红色部分为额叶(Frontal Lobe),褐色部分为顶叶(Parietal Lobe)
为了让大家更深刻的学习颅脑影像的读片,放射沙龙联合华医*特网**邀天坛医院放射科博士、副主任医师沈宓老师为大家讲解颅脑影像的读片方法,让零基础的你都可以轻松学会!
裘法祖院士曾说过:「一流的医生先看片子,后看报告。二流的医生先看报告,后看片子。三流的医生,只看报告,不看片子」。好好掌握阅片能力,是诊断和治疗的基础。
也许你会说,为什么看了那么多图谱,对着 CT 图像仍然一脸茫然呢?
其实你离掌握影像学只差一名好老师和一套超实用的课程
【手把手教你“颅脑影像读片】
放射沙龙联合华医*特网**邀天坛医院放射科博士、副主任医师沈宓老师,为大家从影像学基础开始,从颅脑外伤、脑血管疾病、颅内肿瘤等常见颅脑病变出发,带你一步步了解颅脑影像的诊断要点及鉴别诊断。让你从入门到精通,掌握颅脑影像的读片技巧。

讲师简介:
沈宓:首都医科大学附属北京天坛医院 放射科 副主任医师,具有丰富的临床读片经验,深入浅出的讲解颅脑影像基础,在结合临床的基础上讲解脑血管常见疾病的影像识别技巧。
原价299元
现新课优惠低至6折仅需189元
识别下方二维码
立即*载下**或更新APP购买
▼
课程目录:

福利往这儿看
放射沙龙为了方便更多的放射医生学习
特地为每一位新进入学院的小伙伴们
呈上放射沙龙全场通用10元优惠券
领取方式往下看
▼
领取放射沙龙全场通用10元优惠券
扫描下方二维码进入领取页面
点击下方“阅读原文”领取10元优惠券!