
本文由中国科学院大学深圳医院 罗一郎 医师原创

来找罗小医看牙的朋友常常听到我说一个观念“烤瓷牙不要做了,已经淘汰了”。可能有些较(gang)真(jing)朋友会说烤瓷牙那么多年了,还有“老医生”还在做,就是你想多挣钱,忽悠人!这个且放一边,暂且不表,今天罗小医先来说一下什么时候这个烤瓷牙就该拆了。至于后续镶什么牙待我后续对比烤瓷牙和全瓷牙区别后在自己下结论。

烤瓷牙当年很流行,很多人做了。不要以为,做了烤瓷牙就一辈子高枕无忧了,尤其是做烤瓷牙比较早的朋友,因为当时烤瓷牙内冠材料是金属,再加上当年技术标准执行率不高(现在很多还是不够基础标准),所以在后续使用的过程中大部分烤瓷牙都出现了不少问题。所以,现在当你的烤瓷牙出现以下一系列问题的时候,不要犹豫,该拆了!

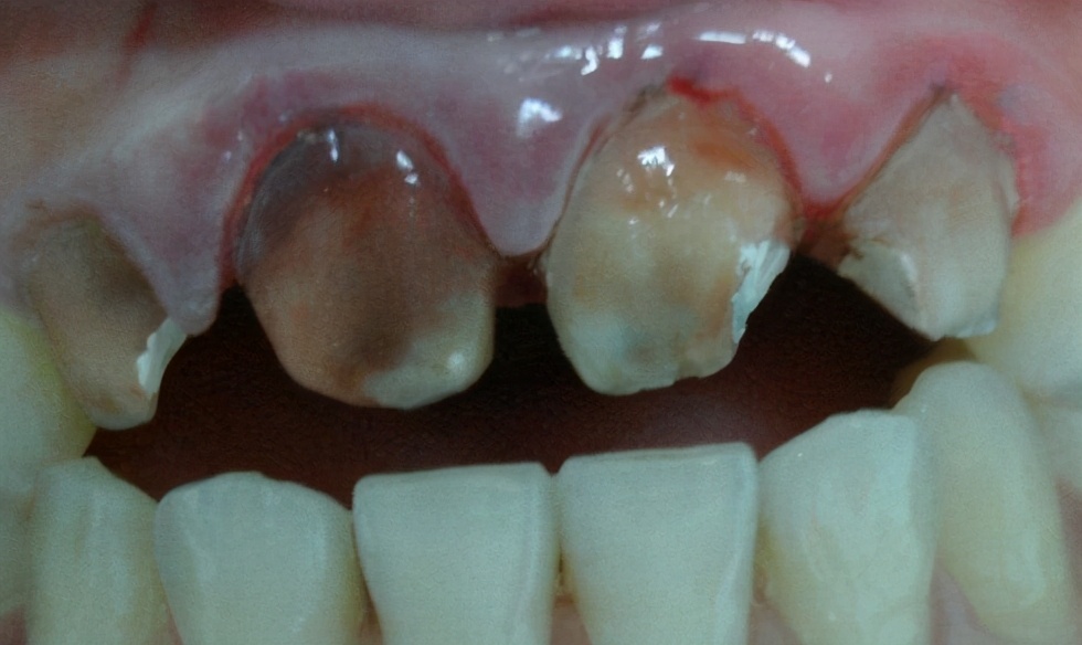
1.牙龈起黑线

佩戴非贵金属烤瓷牙(镍铬合金、钴铬合金等)后最常出现的情况。非贵金属烤瓷牙曾经被简单粗暴的成为“贱金属烤瓷牙”,顾名思义,因其成本低、价格低廉所以在当时备受欢迎,但是在长期的佩戴过程中会出现牙龈发黑的现象,这是因为非贵金属烤瓷牙内冠金属稳定性差,在口腔内氧化成灰色氧化物,时间久了堆积于牙龈,造成牙龈黑线,很影响美观,若不及时拆除,很可能会出现牙龈炎、牙周炎甚至牙齿脱落。
2.基牙蛀牙

如果医生技术不到家备牙不合格,又或者模型取模不精准,再或者烤瓷牙的加工厂工艺不达标,还或者戴牙不细致,烤瓷牙佩戴后就会出现边缘不密合的情况,这样就会给细菌提供有利条件进入牙冠内部,这些细菌进入牙冠里面后就像进入了避风港,没有牙刷清洁,没有口水冲刷,快乐的不得了,但你只能在不知情的情况下的让牙齿慢慢烂完,最后的结果真是赔了夫人又折兵——基牙损毁,烤瓷牙也待不住了,在这种情况下,必须拆掉已有烤瓷牙!
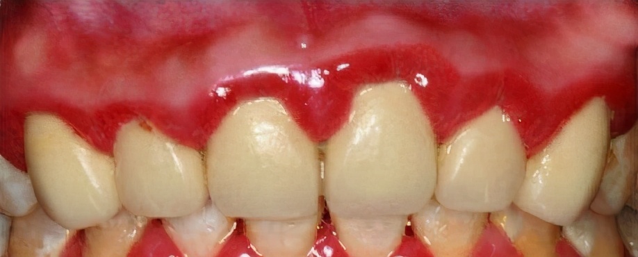
3.未治疗好牙周疾病的情况下

一些牙医没有牙周观念,患者有急于求成,双方对于牙周目标牙齿的牙周没有做一个冷静详细的评估,比如本身有牙龈炎症、牙龈出血、牙龈红肿、牙龈萎缩、牙齿松动等等。在没有稳定的牙周状态下或牙周炎症没有得到良好控制的情况下安装的烤瓷牙应该尽快拆除。
4.烤瓷牙崩瓷

烤瓷牙内是金属,外烧结瓷粉。本来就是两家人。正所谓“非我族类必有异心”,金属和瓷粉并不同完全亲密无间。再加上烤瓷牙技术大兴过热又不求甚解的年代混乱加成,大量烤瓷牙崩瓷。崩了会怎么样?崩瓷边缘如刀,使用时如刀切斧剁,势必造成舌头、唇、颊等部粘膜损伤,而且崩瓷后金属外露,美观极差,且有可能会在长时间的食物摩擦及唾液的作用下发生化学反应。若到此时,那就一个字,拆!
5.牙体预备失败

有些医生或“医生”根本不懂什么是正确备牙,也还是要硬着头皮做烤瓷牙,甚至还要做很多颗烤瓷牙,怎么办?那就把你的牙齿都磨得像“金字塔”,锥形牙,甚至牙髓暴露,没准还不给做根管治疗。几小时到一两年开始就牙髓炎、根尖周炎,各种疼啊!烤瓷牙在锥子牙上戴不住,反复脱落,怎么解决?索性就全连起来!还不行就拉上更多的无辜的好牙一起磨了做固位,非要学庞统忽悠曹操搞“铁索连环”,结果好好的牙磨没了,烤瓷牙还总是掉,你说这不是遭罪么?此时不拆,更待何时?
烤瓷牙重做会伤害自己的牙吗?

正规牙修复治疗之前都需要做完善的检查(再次敬告动不动就说做检查是谋财害命的固gang执jing们,胡X林、杨X信“看病”不用辅助检查,您有胆可以去试试)

看基牙是否完好,牙周是不是健康,牙冠、牙根比例是否协调,备牙后的基牙需不需要再休整,然后按照之前的做烤瓷牙的方法取模型,等待新牙就位。

对于出现了以上这些问题的,一定要及时就诊,尽早更换新的义齿,在正规医生的技术保障下,听从建议,除非特殊情况下,尽量选择全瓷牙。带上新的义齿后也不是就可以不管它们了,也要当成自己的真牙一样技术维护清洁。

所以,在做义齿之前一定要擦亮双眼,选择正规医疗机构的正规医生;还要冷静头脑,想清楚自己和牙齿的未来;也要明白烤瓷牙不是随心随意随便做,更要明白不是随便什么问题都可以用烤瓷牙来解决的。最后再说:烤瓷牙该淘汰了,是时候进入全瓷时代了。
