#重庆头条# #2022重庆头条# #生命摆渡人# #我的2022#
今天这位朋友很有意思,将我以前回答过的问题都做了记录,还给了我给“血战台儿庄”的勇敢,我有点受之有愧,谢谢你的信任。在过去的一年里,这位朋友遇到了复杂的问题,我第一次看到的时候发现右肺有较多问题,建议随访。在最近,又一次体检之后,他想让我精准诊断一次,如果可以的话给个“定心丸”。
在仔细看过片子以后,我给出了今日的份的“定心丸”,帮其摆脱纠结和焦虑,回归自己的生活。放心吧,你的未来一定会曼泽怡面,血气盛只!
以下转自患者咨询:
2022-08-08
尊敬的戴教授您好:
通过病友推荐和介绍您的医术精湛和高超,也是给多少病患解决了病痛,见字如见面。
您的神医神术,家喻户晓,记得小时候的一部电影《血战台儿庄》川军的勇敢,使我难以忘怀。现实版的:戴医生(教授)出现在人们的视野,也是国人的骄傲…点赞。
终于在贴吧认识了伟大;和蔼可亲的您;
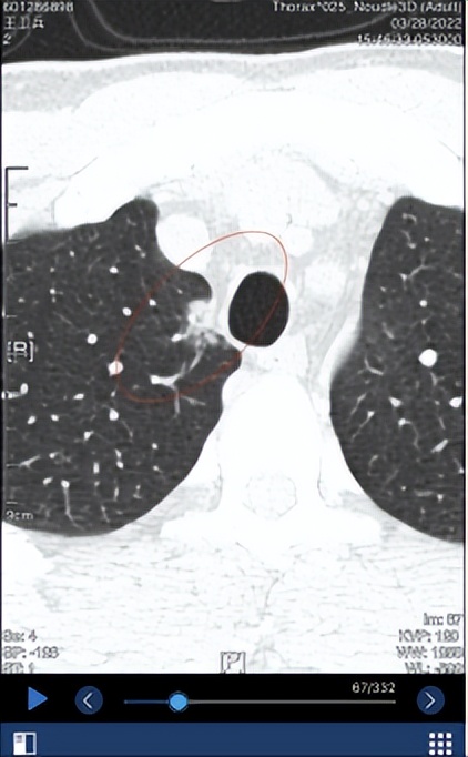
1. 第一次2021年2月晚急诊感觉左胸痛CT平扫:两肺纹理增粗,右肺上叶尖见小片状密度增高影,结节5mm,小结节状高密度影。
诊断意见:
右肺上叶尖小结节密度增高…炎性病变?右肺尖磨玻璃小结节,右肺中叶纤维条索灶,右肺尖钙化灶,建议随诊。
2. 睡眠最近两年不好(不足三个小时)当年5月至7月打了三针新冠肺炎疫苗。
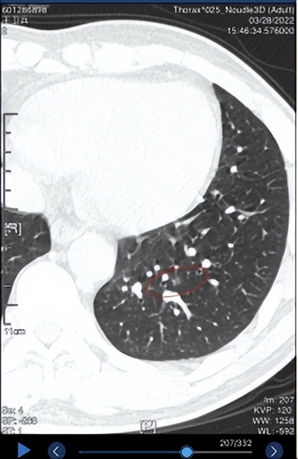
3. 2022.1.26日复查,SE4/7IMG70右肺上叶尖段见一混合密度影,病灶形态类圆形,边界不清晰,无分叶,有毛刺,有胸膜牵拉,无血管束集征,无空泡征。病灶前后径 12.6 mm,左右径 8.8 mm,上下径 18.7 mm。病灶平扫时密度为 -88HU。左肺下叶后基底段(SE4/7,IM205)见一枚磨玻璃结节,内见空泡影,长径约6mm。 右肺中叶及左肺上叶舌段少许斑片索条影。 两肺门区未见异常密度影。 胸膜未见增厚改变。 纵隔内未见异常密度影。
诊断建议:
右肺上叶尖段不规则结节灶,左肺下叶小结节,较前2022-01-26旧片相仿;右肺中叶及左肺上叶舌段少许斑片索条影。
问下戴教授:
1. 腺泡生长方式55%,贴壁生长方式40%,薇乳头生长方式5%,这样治愈率?
2. 去年二月份右肺上叶就5mm一年不到增长10mm?
3. 术后左肺下叶6mm结节建议随诊?




我的回复
90-95%左右的根治率。左侧结节没啥事,安心随访,不长大不管