修复牙齿是全瓷好还是烤瓷牙好 (牙齿稀牙缝大做烤瓷牙修复靠谱吗)

首先大家都知道,做牙齿修复或者想美容牙齿的,到医院先经过牙医检查,医患直接沟通好选择哪种材料制作,沟通好了以后,牙医对患者的牙齿进行植备,(就是把牙齿磨小)当然了有的患者牙齿需要治疗,那就得先治疗再磨牙了。

烤瓷牙连桥修复大概多少钱一颗,用烤瓷牙的方法矫正牙齿 ​磨好牙以后,医生托取牙齿模型,发往烤瓷牙制作中心进行制作(医院一般都制作不了,都在指定加工中心制作)上图是加工中心接到模型,进行模型修复。

烤瓷牙连桥修复大概多少钱一颗,用烤瓷牙的方法矫正牙齿 ​技工电脑设计,选择最好的制作方法及效果图。

烤瓷牙连桥修复大概多少钱一颗,用烤瓷牙的方法矫正牙齿 ​技工开始蜡像制作。

烤瓷牙连桥修复大概多少钱一颗,用烤瓷牙的方法矫正牙齿 ​制造出来的蜡像,经过铸造以后,师傅们进行打磨做好的牙冠。

烤瓷牙连桥修复大概多少钱一颗,用烤瓷牙的方法矫正牙齿 ​上瓷技师在金属牙冠上上瓷(瓷粉多选用进口,国产瓷粉近几年也慢慢出了一些)

烤瓷牙连桥修复大概多少钱一颗,用烤瓷牙的方法矫正牙齿 ​上好的瓷牙放置在专用炉子上进行烧制。

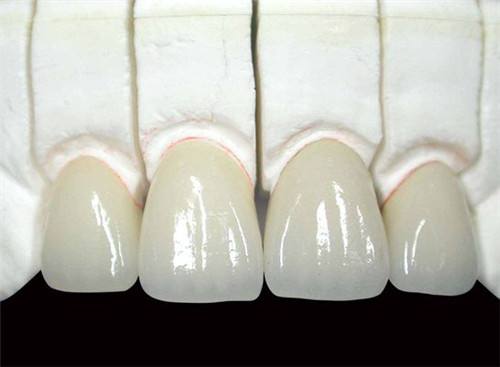
烤瓷牙连桥修复大概多少钱一颗,用烤瓷牙的方法矫正牙齿 ​烧好的瓷牙毛坯进行车瓷修复调和。

烤瓷牙连桥修复大概多少钱一颗,用烤瓷牙的方法矫正牙齿 ​流程基本就是这样了,肯定加工出来的牙齿需要包装消毒的,(一般到医院牙医也会消毒处理的)

烤瓷牙连桥修复大概多少钱一颗,用烤瓷牙的方法矫正牙齿 ​现在有更好的技术,3D打印技术的出现,就没有了金属冠了,直接一次电脑设计一次成型。

烤瓷牙连桥修复大概多少钱一颗,用烤瓷牙的方法矫正牙齿 ​烤瓷牙价格如何呢? 因为烤瓷修复有多种选择,价格当然有很大区别,烤瓷加工厂价格全国基本差不多(都是明码标价),有的患者问我选择同一种修复技术,有的医院便宜有的特别贵,相差很大,在这里希望准备修复牙齿的朋友多选择几家合适的医院,进行咨询,希望以后我们的国家医改顺利,让烤瓷技术进入平民百姓家庭,人人都能接受的医疗费用。注:加工厂利润很薄,医院价格参差不齐,有的特别高,多咨询,多了解,再去觉定去哪家医院修复哦!希望对大家有帮助,有用就关注我哦!