
“世界多发性硬化日” 由国际多发性硬化联盟于2009年5月27日建立,以唤起全世界对多发性硬化的关注,推动相关研究和医疗进展,并定于每年五月的最后一个星期三为“世界多发性硬化日”。
多发性硬化(MS)的临床表现多种多样,常缺乏特异性,诊断主要依赖于临床和影像学检查,难度较大,因此临床上不乏一些误诊、漏诊病例,或者将其它疾病与MS相混淆。为了避免这种错误的出现,本文通过1张典型的影像图、2张表格、诊断3步走流程图、4个问题为大家梳理MS诊断的相关知识点。
01 MS的临床表现及分型有哪些?
(1)MS的临床表现
间歇性发作、通常持续数天或数周的完全或部分可逆性神经功能障碍,是该病病程进展的主要特点。
多发性硬化(MS)的初始表现根据病变位置和症状发作的类型(复发或进展型)而变化。由于症状的多样性,患者可能会就诊于包括神经科在内的多种科室。下面列出了复发缓解型MS(RRMS)的常见症状和体征,以及一些不典型或提示替代诊断的症状和体征:
典型表现:
➤ 急性单侧视神经炎
➤ 由于核间性眼肌麻痹或展神经麻痹导致的复视(40岁以下年轻患者)
➤ 面部感觉丧失或三叉神经痛(40岁以下年轻患者)
➤ 小脑共济失调和眼球震颤
➤ 部分性脊髓病
➤ 中枢神经系统模式的感觉症状
➤ Lhermitte征(内侧纵束综合征)
➤ 不对称性肢体无力
➤ 急迫性尿*禁失**或勃起功能障碍
不典型或提示替代诊断的表现:
➤ 双侧或单侧视神经炎且视力恢复不佳
➤ 完全凝视麻痹或波动性眼肌瘫痪
➤ 顽固的恶心、呕吐或呃逆
➤ 完全横贯性脊髓病伴双侧运动和感觉受累
➤ 脑病
➤ 亚急性认知功能下降
➤ 头痛或假性脑膜炎
➤ 孤立的疲劳或虚弱症状
➤ 全身症状
可能由于RRMS导致的首次神经功能障碍发作被称为临床孤立综合征(CIS)。常见的CIS表现包括急性单侧视神经炎、部分性脊髓炎或脑干综合征。提示为此种原因引发脱髓鞘的线索包括:
➤ 年龄在40岁以下;
➤ 数小时至数天的急性或亚急性发作;
➤ 发病4周内症状达到高峰;
➤ 自发缓解。
相比之下,原发进展型MS(PPMS)的发病的特征在于慢性进行性症状,最常见的是在数月或数年内发展的不对称的瘫痪,比较少见的症状是进行性偏瘫或小脑共济失调,极少患者可能会出现视力衰退或痴呆。
当医生对一名疑似多发性硬化的患者进行评估时,重要的是确定患者的症状发作和进展情况,并寻找以往被人所忽视的一些神经症状的细节,从而有助于确定诊断和疾病进程(复发或进展型)。神经学检查对于中枢神经系统受累部位的定位非常重要,并且可以提供其他病变的证据。
(2)临床分型
MS好发于青壮年,女性更为多见,男女患病比例为1:1.5-1:2。CNS各个部位均可受累,临床表现多样。其常见症状包括视力下降、复视、肢体感觉障碍、肢体运动障碍、共济失调、膀胱或直肠功能障碍等。临床分型如下:
➤ 复发缓解型MS(relapsing remitting multiple sclerosis,RRMS):此型疾病表现为明显的复发和缓解过程,每次发作后均基本恢复,不留或仅留下轻微后遗症。MS患者80%-85%最初病程中表现为本类型。
➤ 继发进展型MS(secondary progressive multiple sclerosis,SPMS):约50%的RRMS患者在患病10-15年后疾病不再有复发缓解,呈缓慢进行性加重过程。
➤ 发进展型MS(primary progressive multiple sclerosis,PPMS):此型病程大于1年,疾病呈缓慢进行性加重,无缓解复发过程。约10%的MS患者表现为本类型。
➤ 其他类型:根据MS的发病及预后情况,有以下2种少见临床类型作为补充,其与前面国际通用临床病程分型存在一定交叉。
良性型MS(benign MS):少部分MS患者在发病15年内几乎不留任何神经系统残留症状及体征,日常生活和工作无明显影响。目前对良性型MS无法做出早期预测。
恶性型MS(malignant MS):又名爆发型MS(fulminant MS)或Marburg变异型MS(Marburg variant MS),疾病呈爆发起病,短时间内迅速达到高峰,神经功能严重受损甚至死亡。
02 MS目前的诊断标准有哪些?
明确的诊断标准对于确诊MS必不可少。《多发性硬化诊断和治疗中国专家共识(2018版)》推荐使用2017年的McDonald标准(表1),其适合于典型发作MS的诊断,以往2001年、2005年及2010年McDonald MS诊断标准同样适用。

03 哪些疾病容易与MS混淆?
虽然数据有限,不过有研究表明,MS的误诊确实是一个常见问题。表2大致列出了在考虑MS的诊断时需要与之进行鉴别的疾病。

04 MS常见的神经系统检查及辅助检查有哪些?
当医生对一名疑似多发性硬化的患者进行评估时,重要的是确定患者的症状发作和进展情况,并寻找以往被人所忽视的一些神经症状的细节,从而有助于确定诊断和疾病进程(复发或进展型)。神经学检查对于中枢神经系统受累部位的定位非常重要,并且可以提供其他病变的证据。
若患者出现可能为MS的症状或体征时,强烈建议进行MRI检查,因为几乎所有已确诊的MS患者,以及超过80%的最终发展为MS的CIS患者,都存在异常的脑MRI表现。MRI还有助于排除其他疾病的诊断,例如以进行性脊髓病为主要症状的压迫性病变,或脑膜增生及纵向广泛的脊髓损伤等。
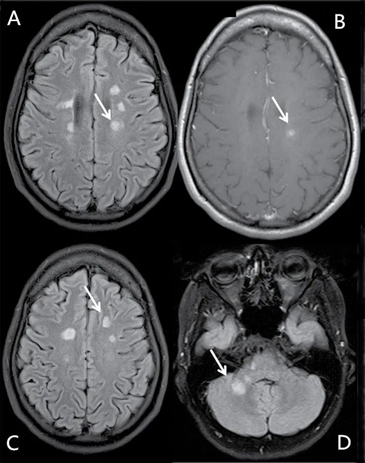
脑MRI通常表现为特征性部位的多灶性T2高信号脑白质病变,包括脑室周围(含胼胝体)、近皮层区域(毗邻大脑皮层)、幕下区域。在T1加权像上,病变可能出现低信号的表现(即所谓的“黑洞”)。脊髓损伤则发生在80%~90%的MS患者和一半的CIS患者,最常见于颈椎。病变延伸超过一个或两个椎骨段,并且经常偏离中心,邻接软膜表面。脑和脊髓的病变在钆增强扫描后可能强化(图)。

图1 MS的典型脑和脊髓病变(箭头显示病变位置) A、B:轴位MRI扫描显示脑室周围多发病变,其中一个病灶增强扫描可见强化;C:显示近皮层区域病变;D:显示幕下病变;E、F、G、H:矢状位和轴位扫描显示颈髓病变,增强扫描可见强化。
欧洲MS磁共振成像多中心协作研究网(MAGNIMS)提出了一种标准化的MRI方案来协助MS的诊断:
➤ 推荐对患者进行轴位脑MRI扫描,并获得矢状位T2FLAIR序列,检测近皮质和胼胝体病变以协助鉴别MS与其他疾病;
➤ 推荐在MRI扫描中使用对比增强T1加权扫描,以协助诊断和鉴别诊断;
➤ 对于脊髓病患者或脑部MRI结果无法诊断MS时,建议进行脊髓MRI扫描。
对于具有典型临床和MRI发现的大多数患者,通常脑脊液检查不是必要的,但可以提供MS的支持性证据。脑脊液检查的发现包括白细胞计数和和蛋白质正常或轻度升高,通常白细胞计数<25个细胞/cm3,主要是淋巴细胞;蛋白质<1g/L。
此外还有IgG指数升高和寡克隆条带的表现,使用等电聚焦和免疫固定电泳进行IgG的定性评估是检测寡克隆条带的最佳办法,多达90%的MS患者可有此种发现(CIS患者较少)。其他神经炎性疾病的患者有时可能会出现寡克隆条带,此时需要对检查结果进行谨慎解释。
视觉、感觉或听觉通路诱发电位的神经生理学检测,通过鉴定中枢神经系统中的临床无症状病变,提示空间多发性,也可以提供MS的支持证据。诱发电位测试中显示潜伏期延长而波形完好,提示脱髓鞘,但并不特异。
常规的系统性自身免疫性疾病检查在典型的MS患者中意义不大,患者经常被检测出一些非特异性抗体,低滴度的抗核抗体在MS患者中十分普遍。如果患者的病史、体格检查或辅助检查结果不典型,那么追加一些实验室检查以排除类似诊断也是有必要的。
MS诊断3步法
当患者的临床表现提示医生考虑MS的诊断时,下面这个流程图有助于医生寻找蛛丝马迹。

流程图 MS诊断三步走
小结
MS的误诊是一个不容忽视的问题,特别是在MS初诊时,或在诊断过程中发现一些不典型特征时,需要尽可能防止误诊。因此,对于MS的临床表现和放射诊断标准也需要熟稔于心,以避免误解和误用。
参考文献:
[1] 中国免疫学会神经免疫分会,中华医学会神经病学分会神经免疫学组.多发性硬化诊断和治疗中国专家共识(2018版)[J].中国神经免疫学和神经病学杂志,2018(06):387-394.
[2] Thompson A J, Baranzini S E, Geurts J, et al. Multiple sclerosis[J].Lancet 2018.
[3]Daniel S. Reich, Claudia F. Lucchinetti, Peter A. Calabresi. Multiple Sclerosis[J].N Engl J Med 2018;378:169-80. DOI: 10.1056/NEJMra1401483.
[4] Wallace J Brownlee, Todd A Hardy, Franz Fazekas, et al. Diagnosis of multiple sclerosis: progress and challenges[J].Lancet 2017; 389: 1336-46.
[5] Brownlee W J, Hardy T A, Fazekas F, et al. Diagnosis of multiple sclerosis: progress and challenges.[J]. Lancet, 2016.