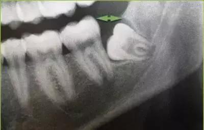
相信大家都知道,由于智齿萌出得较晚,所以不少人的智齿都会错位萌生或者萌生不全,再加上刷牙难刷到如此深入的位置,智齿处的食物嵌塞就会比较严重,往往容易导致发炎,发炎的时候可出现牙痛,严重时还可导致低烧。
如果发生颌面间隙感染,还会出现脸痛,红肿,这种情况下,就算患者不想去医院看医生也得去了!

不过去医院并不代表可以解决问题,因为医生需要在炎症消除后才可以帮患者把智齿拔除,因此患者可能还要多受几天罪。
这里不得不提到的则是:智齿萌出不全特别容易引起智齿冠周炎,这种炎症常发生于下颌处,早期时患者可出咽喉旁软组织胀痛、咀嚼与吞咽都十分困难,甚至不能开口说话,病情加重后,可引起相应颊肿胀,局部有自发性跳痛或耳颞部出现反射痛。

对此,广大口腔医院的口腔综合科专家提醒大家,在炎症未消除之前,智齿还不能拔除的时候,患者应该注意以下几个方面,以缓解智齿“发飙”所带来的各种难受!
一、注意口腔卫生清洁
早晚刷牙,不要因为长智齿的部位疼痛就不仔细刷牙,同时,可以再配合漱口水全面清洁,避免牙刷清洁不到的部位,以免食物残渣留在缝隙里,每次进食过后,都需要用清水简单地漱漱口,保持口腔干净度。

二、注意别熬夜
在睡觉时,由于人体平卧,头部的血运增加,发炎的牙髓压力加大,牙痛就会变得更加剧烈,进到导致睡不着,即使睡着也有被疼到醒的现象发生,所以按医嘱吃点止痛药,平稳情绪安然入睡很重要,如果还在被窝里玩手机打游戏的话,那第二天牙疼更厉害就只能怪自己了。

三、注意多喝水多吃蔬果
多喝水,为身体提供足够的水分,可以通过自然排毒来降低智齿发炎加重的几率,并有利于炎症的消退,多吃新鲜的蔬菜和水果,维生素C能促进伤口的愈合。

四、保持心情舒畅
很多时候越是想着哪里不舒服,就会更加觉得非常不适,不良的情绪会影响到身体的恢复,并加重疼痛感,做到事情分散自己的注意力,看些轻松的综艺或者听些轻快的音乐等,这样会有助于缓解牙痛所带来的不适感。
