走路时膝盖突然发软,感觉整个膝盖会失去控制,这种情况我们通常称之为“打软腿”,出现打软腿的情况,有一些人并不会伴发疼痛,而如果出现了疼痛难忍的情况,很有可能关节腔内存在着半月板撕裂、游离体等情况,今天我们就来聊一聊,常见的容易诱发打软腿的疾病和处理意见。

髌骨软骨软化,诱发这种情况最常见的原因。
诱发髌骨软骨软化的原因是非常多的,主要见于长时间的过度使用、剧烈运动、长时间爬山比如有一些朋友特别喜欢长时间的盘腿,或者工作经常要做蹲起这样的动作,在屈伸关节的过程当中就会增加髌骨以及后方股骨之间的压力,导致髌骨软骨发生退变。

出现髌骨软骨软化早期的症状,主要是上下楼梯时的疼痛以及屈伸关节时候的沙沙的响声,一般不会有特别的疼痛,只有当症状进一步加重,关节腔的软骨磨损越来越严重以后,才会伴有明显的疼痛。
另外髌骨软骨软化比较经典的症状就是打软腿了。在走路的时候并没有什么特殊的诱因,膝盖会突然软一下,仿佛失去了对膝盖的控制一样。这个时候往往并不伴有疼痛,所以也很少有人在意,但是当症状越来越重,出现疼痛的时候再进行治疗可能就错过了治疗的最佳时机了!下图就是髌骨软骨不同程度软化的关节镜下影像学资料,看完之后,大家可能会对这个问题有一个更深的了解吧。

明确关节腔是否有软骨软化,主要靠医生的查体、患者的症状,另外需要进行膝关节核磁检查,因为软骨在x线下是不显影的,只有核磁才能看到关节腔内软骨的具体情况。

髌骨软骨软化早期的治疗可以口服氨糖,或者是给予关节腔内注射玻璃酸钠,来增加关节软骨的弹性,减轻患者的症状,有点类似于我们给磨损的自行车轴承上黄甘油一样。
另外对于膝关节髌骨软化的治疗,强化股4头肌的力量,具有非常好的作用,在文章的最后我会给大家进行一个详细的介绍。
前交叉韧带陈旧撕裂也是常见原因
为什么要说前交叉陈旧撕裂也是常见的原因而不说新鲜撕裂的呢?其实原因很简单,如果是新发的前交叉韧带撕裂,患者会有关节的剧痛,并不会进行正常的行走,也不会感受到关节的打软腿。只有陈旧的前交叉韧带撕裂,关节疼痛的急性期已经过去了,而表现出来的是不稳定,会有明显的打软腿。
这种情况在临床上非常的常见,很多患者并不知道自己韧带已经撕裂了,当出现了频繁的打软腿,感觉到关节无力以后到医院检查核磁,发现前交叉韧带陈旧撕裂。

有的患者看到这里肯定会说:“韧带撕裂了患者自己能不知道吗?都已经不稳定打软腿了,还不知道韧带撕裂?我不信!”
您还真不要不相信这个事儿,为什么会出现这种情况呢?其实很简单。就是在患者受伤的当时,仅仅做了膝关节x线检查,发现骨头没有什么问题之后就回家静养了。这种情况多数见于患者在年轻的时候打篮球或者其它剧烈运动时候发生过激烈的膝关节扭伤,也经常见于膝关节的一些外伤,在受伤的当时膝关节会有比较严重的关节肿胀和疼痛,也曾经去医院进行过检查,但是没有进行核磁检查,经过一段时间的修养,患者的关节疼痛消失了,虽然偶尔会觉得关节有轻度的不舒服,但是因为不影响生活也就过去了,另外喜欢运动的人群通常肌肉比较发达,所以虽然前交叉韧带已经发生了撕裂,但是其它的肌肉起到了很好的代偿作用,患者的关节并不会有不稳定的感觉,但是随着年龄的增长,肌肉慢慢会变得越来越衰退,关节不稳的症状就会显现出来了。
患者慢慢的就会出现明显的打软腿,严重的甚至会因为关节的不稳定导致创伤性的关节炎,也会出现疼痛的症状,这种情况需要进行膝关节核磁检查,如果患者的年龄不是特别的大,对于关节韧带的要求比较高,可以进行前交叉韧带重建手术。

关节内游离体,也叫关节鼠
常见的导致关节内存在游离体的病因,多数是由于关节受到外伤以后,关节腔的软骨脱落到了关节腔内,有的时候这些脱落的软骨会慢慢的被磨损吸收掉,而有的时候这些软骨会慢慢变成钙化形成游离体。(下图就是软骨破裂的影像学资料)

另外还有一种比较常见的情况是关节腔的滑膜软骨瘤病,这种情况就类似于患者的关节腔内滑膜变成了一个巢穴,从巢穴内不停地往关节腔内生产软骨样的游离体。(下图为滑膜软骨瘤病的影像学资料)

由于这些游离体在关节腔内,会发生位置的变化,所以也被称之为关节鼠,有的时候这些游离体会卡别在关节腔内,造成患者出现打软腿的症状,如果卡别的比较急骤的时候,患者就会出现明显的疼痛。
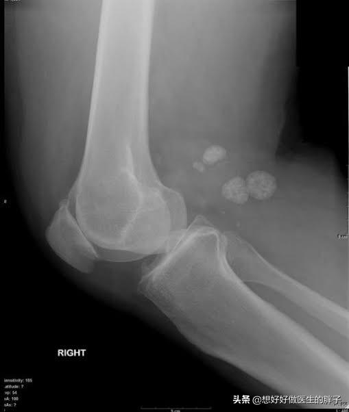
一般情况下,关节腔内游离体的诊断,进行膝关节x线检查就可以明确了。(下图在膝关节后方的都是游离体)

关节腔内的游离体如果诱发患者出现打软腿的情况不是特别的频繁,患者又没有主观的意愿想要将游离体取出来,可以保守治疗。
而如果游离体诱发患者出现反复的,频繁的关节打软腿,同时伴有剧烈的疼痛,有一些患者会出现关节腔的积液,那么需要进行关节镜手术治疗将游离体取出来。
半月板撕裂,尤其是瓣状裂
半月板撕裂以后,尤其是半月板发生了瓣状撕裂就比较容易诱发打软腿。瓣状撕裂有一个特点,患者平时可能会有轻度的疼痛,但是不是特别的严重。

但是在膝关节活动的时候,偶尔会发生半月板撕裂部位的反折,造成瞬间的卡压,患者会表现出明显的打软腿以及比较明显的疼痛,之后需要休息一段时间,缓慢的屈伸膝关节慢慢的才会恢复正常。这种情况说明卡住的撕裂部位,又恢复了常态。(大家看下面这个动图,如果这个破裂的瓣比较大,那么就有可能发生反折和卡别)

还有一种半月板的问题有可能会诱发患者出现打软腿或者是关节的卡片,那就是盘状软骨。这种情况是先天性的变异,正常应该是月牙状的半月板,发育成了满月,形态上看起来像一个盘子,这种情况就容易发生撕裂,诱发患者出现打软腿和疼痛。(下图即为盘状半月板的影像学资料)

诊断半月板的撕裂一样也是需要进行膝关节的核磁检查,明确半月板是否存在撕裂,如果撕裂比较严重,需要进行关节镜手术治疗。
无论是以上哪一种情况都会诱发患者的关节股四头肌肌肉出现萎缩,关节的力量也会相应的下降,反过来又会加强关节内的病情,所以对于关节不是特别稳定,经常容易出现打软腿的患者强化股四头肌力量是非常重要的一环。
强化股四头肌力量的康复锻炼
在以前的文章当中,谢医生曾经反复多次的给大家介绍过,强化股四头肌力量的康复锻炼,今天在这里给大家再简单介绍一下。
●靠墙静蹲是强化股四头肌力量最好的方式之一,但是很多患者做完这个训练以后会有关节的疼痛,建议大家先尝试下蹲30度或者是45度左右,慢慢的在增加静蹲的角度,不要强求,静蹲时间可以从10~15秒逐渐的增加。

●直腿抬高训练。

●其他一些训练



总结
导致膝关节出现打软腿的情况相对来讲是比较复杂的。建议要到专业的医院咨询专业的运动医学医生明确自己的问题到底出在哪。尤其是在打软腿的时候,伴有明显的关节疼痛,说明关键强的问题可能比较严重,需要进行x线或者是核磁的检查。如果您还有其他的疑惑,可以在下方留言,大家共同探讨。
我是坚持用简单语言解释复杂疾病知识的谢新辉,码字不易,如果您赞同我的观点,请帮忙点个关注或点个赞吧,如果您或者是您的家人朋友也有这方面的困扰,请把这篇文章转发给需要的他们吧,谢谢了!

#生命召集令超能团# #真相来了# #头条辟谣# @生命召集令 @头条健身 @青云计划 @头条养生 @健康真相官 @头条健康 @头条辟谣 @清风计划