在我们的日常工作中,经常有患者问放射科的大夫或技术员这样一个问题:我有假牙,能做核磁吗?
这个问题的答案,其实没那么复杂。

我们先问病人: “能摘吗?”
能摘就摘了,摘下来就不会有后续的问题。
但假如不能摘的假牙就需要分析下了。
这个问题的由来,是很早期之前的假牙由于材质问题,伪影特别大,会严重干扰到对脑内病变的观察。还有的假牙放在磁场,在射频的作用下会有局部电流或者发热,病人疼痛难耐,无法检查。甚至为了临床治病救人的需求,有的需要把假牙拔掉。再后来,江湖盛传过,做核磁要拔下假牙。
比如下面的假牙造成的伪影,严重干扰了脑内病变,有的时候恰好病变就在伪影区,这麻烦就大了,很可能因为这个伪影导致误诊和漏诊。

但其实,根据假牙材质的不同,其产生的伪影范围也是不同的。常见的假牙材质主要有以下三种:
1.陶瓷假牙:陶瓷假牙材料则有二氧化锆烤瓷牙、二氧化铝全瓷牙等等,一般来说陶瓷一般用于与金属的结合,成为烤瓷牙的主要材料。
2.金属假牙:金属假牙材料有纯金及合金、合金如钴铬合金、镍铬合金、铜合金等。制作假牙卡环常用的不锈钢丝就是经过锻制的一种。
3.塑料假牙:塑料假牙材料如甲基丙烯酸甲酯,它又分为加热固化型的热凝塑胶和室温固化型的自凝塑料两种。常用非金属材料有复合树脂以及陶瓷等。塑胶及复合树脂可广泛应用于制作假牙的牙冠、基托,也可作为修改假牙的材料合金。
不同材质的假牙对磁共振图像的影响不同,一般铁磁性的影响较大,其次是金属材料的,最后是塑料或者陶瓷,其伪影很小,基本可忽略。
目前大家应用的较好的假牙是钛合金或者纯钛的烤瓷牙,此类假牙伪影较小!
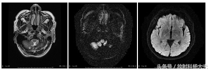
正常颅脑扫描图像

伪影较轻的假牙图像

伪影较重的假牙图像

上文中可以发现,在伪影较重的图像中,DWI图像受到了严重的影响,不利于疾病的诊断与鉴别诊断。
对于放射科大夫比较困难的是,无法区分假牙的材质,所以就只能做着试试,好在近几年的假牙貌似材质不错,出的伪影通常不影响观察。但真的有明显伪影怎么办呢?通常需要跟临床医生沟通,看看伪影是否影响诊治,真的影响了,就得想别的办法了,比如CT(通常也有伪影)或者,必要的时候,拔掉假牙。
其实除了假牙,在磁共振的检查中,还有很多!如最常见的腰椎或者颈椎椎间盘手术,应用钛合金材料进行支撑或固定。由于其材质较好,图像伪影基本不影响诊断。(前提是得明确的知道这些植入物是能进磁场的,这很重要!)

从上图中可以发现,在颈椎及腰椎的固定术中,其所用材质较好,相对于假牙的不同材质,其对材质的要求比较严格,所产生的伪影较小,能够满足临床的诊断与鉴别诊断。
在此提醒大家,进行假牙的安装时请去正规医院,防止假冒材料,危害身体健康!