
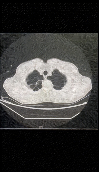
双侧肺部空泡化
肺功能受损严重
突发凶险的大范围主动脉夹层
伴随右颈总动脉闭塞
面对这一“天花板”级别难度的
主动脉夹层病例
看协和心外医生如何完美*局破**

肺功能几乎丧失!难上加难的挑战
52岁的老刘是一名煤矿工人,几天前他突然晕厥在家中,被紧急送至当地医院,医生考虑为凶险的主动脉夹层。由于病情严重,他随即被转到福建医科大学附属协和医院心外科,医院立即开通绿色通道,通过进一步的检查发现,老刘被确诊为A型主动脉夹层,而且撕裂范围很大,从主动脉根部向下一直撕裂到双侧髂动脉,并且他的右颈总动脉被夹层撕裂导致闭塞,左侧肢体无力。同时,医生惊讶的发现,由于长期的挖煤工作,老刘两侧的肺部空泡化十分严重,肺功能因此严重受损。

▲老刘的肺部空泡化严重
主动脉夹层是心外科的最危急重症。主动脉作为身体的主干血管,直接承受来自心脏跳动的压力,血流量巨大,一旦出现夹层破裂,病人会在几分钟内死亡,必须进行置换主动脉的手术。由于该手术需要心脏停跳以及体外循环,甚至还存在一段时间的深低温停循环,手术操作复杂,技术难度高。
“肺部功能这么差的病人,术中很容易出现危险,而且很难挺过术后出现的肺部感染从而导致死亡。” 老刘的主治医生卢衡副主任说道。
尽管协和心外科已经成功救治多名主动脉夹层的患者,团队具有高超精细的手术技能及丰富的手术经验,但老刘的病情属实复杂,每一步操作都会变得非常困难,手术过程中也随时会有危险,即使是完成手术,老刘还需要闯过术后种种的难关。如果说普通主动脉夹层手术的难度级别是高难度,那么老刘的主动脉夹层手术就是“天花板”级别的难度。
信任,让医生义无反顾挑战高风险
面对如此复杂的病情,协和医院心外科陈良万教授团队推心置腹的向老刘的亲属告知他目前的情况——主动脉夹层情况危急,毫无疑问最好的治疗方式就是立刻进行手术,但是患者本身肺功能差,而且手术时间长、创伤大,对患者的心肺功能要求更高,这意味着患者手术中、手术后面临的风险要比平常大得多。患者的亲属在得知这些情况后,充满了茫然和焦虑,经过抉择,他们毫无保留地选择信任陈良万教授团队。
陈良万教授介绍
要想老刘能顺利过关,需要手术做得又好又快,尽量减少出血,避免术中的输血导致肺部炎症加重。只有做好术中良好的脑保护和肺保护,防止每个环节出现差错,才能让病人术后顺利清醒,早期脱离呼吸机,避免肺部感染。
步步为营,三分支支架显威力
在陈良万教授的指导下,卢衡副主任团队为老刘施行了主动脉窦部成形+升主动脉替换+主动脉弓三分支支架植入术。手术需要患者在18-20℃低温下暂停心肺功能的状态下进行,这意味着手术要在极短的时间内完成,否则脊柱、肝脏、大脑等会缺血性损伤。这不仅对医生技术能力要求极高,也是对团队配合默契度的检验。经过5个多小时的艰苦奋战,老刘顺利完成手术并转入重症监护病房。
虽然手术很成功,但老刘术后的恢复仍然面临诸多挑战。经过陈良万教授团队严密观察和精心护理,老刘顺利度过术后的种种难关,转危为安,最后顺利从重症监护室转入普通病房,老刘终于“闯关”成功。

▲卢衡副主任医师与老刘合影
“这个患者能够顺利过关,三分支血管支架是实现生死逆袭的必要条件之一。” 卢衡副主任介绍。
2011年,以陈良万教授为首的协和心外科临床科研团队完成世界首例自适应三分支支架血管治疗手术。新技术的应用极大地简化了手术程序,让主动脉夹层手术死亡率从60%以上降低至5%以下,手术时间也缩短了一半(将传统手术10个小时左右缩短至5小时以内)。三分支血管支架为陈良万教授自主研发,可治疗A型急性主动脉夹层,拥有6项专利,属世界首创,开启了急性主动脉夹层外科治疗新纪元,手术效果达国际先进水平。
END
撰稿:院 办 林欣恺