今天,相信大家和Rossy一样等了很久,这款针对17种癌症有效,让我们期待了两年的传奇抗癌药larotrectinib(LOXO-101)终于获得FDA批准,用于治疗患有NTRK基因融合的局部晚期或转移性实体瘤的成人和儿童患者。同时,这款药物也有了自己的大名Vitrakvi!

可以说,从2016年12月18日,Loxo Oncology 公司的TRK*制剂抑**Larotrectinib(LOXO-101)初次在ESMO大会亚洲一期试验中展示对TRK融合肿瘤显示的持久抗肿瘤活性,就震惊了肿瘤界,这款不分癌症种类的广谱抗癌药开启了肿瘤治疗的新篇章,具有划时代的意义。
这一药物的批准,是癌症疗法从“基于癌症在体内的起源”转向“基于肿瘤的遗传特征”这一演变过程中的重要里程碑。
我们来回顾一下这款“神药”从研发到上市的光辉历程:
2016年12月18日Loxo Oncology TRK*制剂抑**Larotrectinib(LOXO-101)在ESMO亚洲第1阶段更新中显示穿越TRK融合癌的持久抗肿瘤活性;
2017年2月21日Loxo Oncology宣布完成Larotrectinib NDA主要疗效分析的临床试验注册;
2017年5月12日FDA宣布授予Larotrectinib孤儿药物称号,指定用于治疗NTRK融合蛋白的实体肿瘤;
2017年6月3日Loxo Oncology突破疗*L法**arotrectinib在美国临床肿瘤学会提交的TRK融合成人和儿童癌症中显示76%客观反应率!
2017年12月12日Loxo Oncology更新Larotrectinib儿童临床试验数据显示TRK融合的持续耐受性;
2017年12月20日Loxo Oncology开始向美国食品和药物管理局提交Larotrectinib新药申请用于治疗TRK融合肿瘤;
2018年2月21日Loxo Oncology宣布在新英格兰医学杂志上发表Larotrectinib临床数据:权威发布!针对17种肿瘤的传奇抗癌药LOXO-101最新研究数据公布!有效率75%!
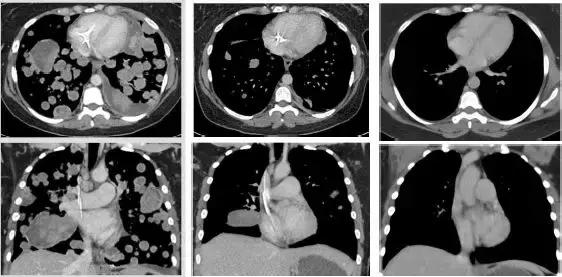
其中有一些晚期患者的病灶完全消失了:
我们可以清楚的看到,这位极晚期的肉瘤患者,肿瘤已经快要填满双肺,经过LOXO-101治疗12周期,肿瘤几乎完全消失!

治疗前 治疗3周期第1天 治疗13周期第1天
2018年3月26日Loxo Oncology完成Larotrectinib治疗TRK融合癌新药申请滚动提交;
2018年3月28日在线的权威肿瘤学杂志柳叶刀上公布了传奇抗癌药larotrectinib(LOXO-101)的最新研究数据!该药在部分儿童癌症患者达到了93%的治疗应答!重磅新数据!针对17种肿瘤的传奇抗癌药LOXO-101公布新数据,这次有效率高达93%!
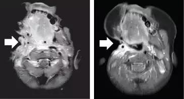
2016年,13岁的的Briana Ayala,被发现在她的腹部有一个罕见的肿瘤,包裹在她的主动脉周围。Briana参加了larotrectinib的1期临床试验,几周之内,她的腹部疼痛和肿胀消失,扫描显示她的肿瘤显着缩小。将近两年后,Briana重返学校!

德克萨斯大学西南分校的研究人员表示,larotrectinib在1期临床试验中93%的儿科患者有效。(照片由比尔布兰森/国家癌症研究所提供)

2018年5月29日FDA接受Larotrectinib新药申请并授予优先审查;
2018年10月21日Larotrectinib在109个TRK融合癌症患者的扩展数据显示81%的总体反应率;权威公布!“治愈系”抗癌明星药LOXO-101新数据:有效率81%!下个月上市(附PDF)
此次批准是基于larotrectinib在多项临床试验中的表现。根据今年10月在欧洲肿瘤内科学会(ESMO)年会上公布的最新数据,在55名可以用RECIST标准衡量的TRK融合癌患者中,larotrectinib能够达到80%的客观缓解率(ORR)。值得注意的是,larotrectinib在多种癌症类型中的表现都非常一致。

▲Larotrectinib在多种肿瘤类型中都有一致的有效性(图片来源:Loxo Oncology官网)
这是FDA第二次批准基于不同类型肿瘤的常见生物标志物的癌症治疗,而不是肿瘤起源的身体部位。PD-1的获批和TRK*制剂抑**的成功,为不区分肿瘤来源广谱抗癌药物快速发展奠定了基础,让梦想照进现实!
关于LOXO-101一定要了解的七个问题!
1
哪些癌症可以使用?
这个靶向药不仅疗效显著,还是广谱抗癌药物,对很多不同肿瘤都有效!这也这个药品这么吸引眼球的原因。
在实验中,这些患者肿瘤类型包括10种不同的软组织肉瘤,唾液腺癌,婴儿纤维肉瘤,甲状腺,肺,黑素瘤,结肠,胃肠道间质瘤(GIST),乳腺癌,骨肉瘤,胆管癌,原发性未知癌,先天性中胚层肾癌,阑尾和胰腺癌。

PD1免疫药物被批准用于MSI-H分子类型的各种肿瘤,成为第一个“广谱免疫药物”。LOXO-101很有可能后来者居上,应该会是第一个上市的“广谱靶向药物”。
因此,只要你经过基因检测,存在
NTRK1、NTRK2或者NTRK3基因融合,理论上都是适合的!
2
如何检测NTRK基因?
Rossy提醒大家,在一些罕见的癌症中,NTRK融合经常发生。这些包括婴儿纤维肉瘤,分泌型乳房癌等。这些罕见癌症通常会发现NTRK融合,这些患者可能会受益于larotrectinib等药物。
做过癌症基因组检测的晚期癌症患者可能会发现他们的肿瘤存在TRK融合,因为这种基因组事件已在许多肿瘤类型中被描述,包括:
- 急性髓性白血病
- 星形细胞瘤
- 脑低级别胶质瘤
- 乳腺癌
- 结直肠癌
- 先天性中胚层肾瘤
- 胃肠道间质瘤
- 多形性胶质母细胞瘤
- 头颈部鳞状细胞癌
- 肝内胆管细胞癌
- 肺癌
- 唾液腺来源的乳腺类似物分泌癌
- 黑色素瘤
- 肉瘤
- 分泌性乳腺癌
- 甲状腺癌
一般检查融合基因需要使用二代基因检测技术。而且一定注意是NTRK基因与其他基因融合发生的突变,而不是一个随便的点突变。
全球顶尖的基因检测公司凯瑞思和Foundation Medicine最近也研发了Foundation One CDx用于NTRK融合检测,想了解的患者可以致电全球肿瘤医生网医学部咨询(400-666-7998)。

3
关于NTRK基因
NTRK基因包含NTRK1、NTRK2和NTRK3,分别负责编码原肌凝蛋白受体激酶(TRK)家庭蛋白TRKA TRKB和TRKC的合成。

上面是NTRK基因家族,包含NTRK1、NTRK2和NTRK3,这个基因如果和其他的基因发生了融合突变,那么就导致了异常的活性,驱动了肿瘤的发生。
NTRK在多种肿瘤中都有发现,虽然在常见肿瘤肺癌、结直肠癌中的发病率低于5%,但该通路在各癌种致病*共中**享。larotrectinib是治疗TRK基因突变癌症患者的第一选择。

4
耐药后怎么办?
面对任何靶向药物,总会出现的一个问题是:会不会出现耐药现象?
很不幸,多数患者会,因为肿瘤细胞也在不断进化。
事实上,已经有一些参与LOXO-101临床试验的患者出现了耐药。
面对耐药现象,目前只能把希望寄托在是新一代靶向药物。
可喜的是,现在靶向药物开发很早期,就会考虑耐药问题和解决方案。很多时候一代药物还没上市,二代药物就准备好了。
科学家经过研究,发现LOXO-101耐药机理和EGFR情况很像,主要是靶点本身(TRK基因)产生了新的突变,比如TRKA出现G595R突变,或者TRKC出现G623R突变。
根据这个发现,第二代TRK靶向药物LOXO-195已经出炉,专门来对抗耐药新突变。
结果十分乐观!
昨天关于第二代TRK靶向药物的论文刚刚发表,最初的两位耐药患者尝试新药后,肿瘤再次快速缩小。比如下面这位,用药一个月后,耐药的肿瘤就再次几乎消失!

耐药后 使用2代药一个月后

LOXO-195上个月已经被FDA批准正式开展临床试验,耐药患者有了新希望。
在科学指导下,合理换药,把癌症变成慢性病,是我们的目标。
5
副作用有哪些?
对于肿瘤药物,一个大家很关注的问题是:毒副作用严重么?
药物的安全性和有效性同样重要,患者的生活质量和生存时间同样重要。
LOXO-101展现的疗效固然惊艳,但对于熟悉TRK基因,甚至开发过类似药物的科学家,这个药在临床展现出来的副作用十分轻微,这也给大家吃了一个定心丸。
TRK基因不仅对一些癌细胞重要,对神经的生长和功能也很重要。动物模型显示,抑制TRK功能,可能会带来明显的神经毒性,比如引起运动失调(共济失调),感觉异常,行为异常等。
正因为如此,虽然TRK基因对肿瘤的重要性很多人都清楚,很多大药厂却不愿意做。除了担心患者太少,主要就是担心毒副作用会让患者无法承受。考虑到很多适用TRK*制剂抑**的患者是儿童,后果很难预料。
LOXO-101带来了惊喜。这次的临床试验中,至少短期内,没有发现任何明显的严重毒副作用。
这很可能不是纯粹的运气,因在开发LOXO-101过程中,科学家就针对性地做了大量优化,希望保持对肿瘤疗效的同时,减少对神经的毒副作用。比如,他们让LOXO-101通过血脑屏障的能力减弱,这样对大脑影响小一些。
到底是优化起了主要作用,还是人和动物模型有本质区别,现在很难说清楚。
重要的是,现在LOXO-101看起来是个有效而且安全的好药!
6
国内患者如何接受治疗
由于这款“抗癌神药”还未在国内上市,对于走投无路的癌症患者来说,临床试验是一种很好的选择,Rossy找到了几项患者可申请的临床试验,但是入组的首要条件是先进行基因检测,确认存在NTRK基因突变!所以先去看看你的基因检测报告吧,
1、NTRK融合阳性实体瘤患者LOXO-101(Larotrectinib)的研究
这是一项针对携带NTRK1,NTRK2或NTRK3融合基因的晚期实体瘤患者的II期多中心开放标记研究。LOXO-101将以100mg每日两次(BID)口服给药,连续给药28天为1周期。
该研究将分析8个患有NTRK融合肿瘤患者的队列,包括非小细胞肺癌,甲状腺癌,肉瘤,结肠直肠癌,唾液腺癌,胆管癌和原发性CNS肿瘤。
实验地点:
1、加州大学洛杉矶分校
2、麻省总医院
3、斯坦福大学等
2、口服TRK*制剂抑**LOXO-101(Larotrectinib)用于治疗晚期小儿实体或原发性中枢神经系统肿瘤
这是一项多中心,开放标签,1/2期研究,用于晚期实体或原发性CNS肿瘤的儿科患者。LOXO-101(larotrectinib)将每日两次口服(PO)(BID),剂量通过体表面积(BSA)调整。
实验地点:1、波士顿儿童医院
2、纪念斯隆凯特林中心
3、辛辛那提儿童医院医疗中心等
7
不区分癌症种类的广谱抗癌药还有哪些?
以下是美国癌症研究协会列出的除keytruda外,6种值得期待的不区分组织来源的重磅抗癌药物及研发进展,详情点击:美国癌症研究协会公布六种值得期待的癌症重磅新药!

详细了解这款药物的使用及购买方式,可致电全球肿瘤医生网医学部400-666-7998
梦想终将照进现实!
Larotrectinib的批准反映了使用生物标志物指导药物研发和靶向递送药物领域的重大进展。越来越多的医生将有能力让合适的患者在正确的时间获得匹配药物的治疗!
我们处在一个充满奇迹的时代,快速发展科技给人类带来了新的希望。曾经,癌症是不治之症。但随着抗癌手段的不断更新,尤其分子靶向药物等新一代的治疗方法的出现,人类全面战胜癌症的那天不再遥不可及。让我们一起见证这一天的来临!
参考资料:
https://www.fda.gov/NewsEvents/Newsroom/PressAnnouncements/ucm626710.htm
https://www.loxooncology.com/docs/presentations/Lassen_Laro_ESMO2018.pdf(PDF*载下**链接)
https://ir.loxooncology.com/press-releases/2372560-Loxo-oncology-announces-larotrectinib-clinical-update-in-patients-with-trk-fusion-cancers-at-the-european-society-for-medical-oncology-2018-congress
详细了解这款药物的使用及购买方式,可致电全球肿瘤医生网医学部400-666-7998
来源: 全球肿瘤医生网