急性胰腺炎是多种病因导致胰酶在胰腺内被激活后引起胰腺组织自身消化、水肿、出血甚至坏死的炎症反应。临床以急性上腹痛、恶心、呕吐、发热和血胰酶增高等为特点。病变程度轻重不等,轻者以胰腺水肿为主,临床多见,病情常呈自限性,预后良好,又称为轻症急性胰腺炎。少数重者的胰腺出血坏死,常继发感染、腹膜炎和休克等,病死率高,称为重症急性胰腺炎。临床病理常把急性胰腺炎分为水肿型和出血坏死型两种。
急性胰腺炎病因
1.梗阻因素
由于胆道蛔虫、乏特壶腹部结石嵌顿、十二指肠乳头缩窄等导致胆汁反流。如胆管下端明显梗阻,胆道内压力甚高,高压的胆汁逆流胰管,造成胰腺腺泡破裂,胰酶进入胰腺间质而发生胰腺炎。
2.酒精因素
长期饮酒者容易发生胰腺炎,在此基础上,当某次大量饮酒和暴食的情况下,促进胰酶的大量分泌,致使胰腺管内压力骤然上升,引起胰腺泡破裂,胰酶进入腺泡之间的间质而促发急性胰腺炎。酒精与高蛋白高脂肪食物同时摄入,不仅胰酶分泌增加,同时又可引起高脂蛋白血症。这时胰脂肪酶分解甘油三酯释出游离脂肪酸而损害胰腺。
3.血管因素
胰腺的小动、静脉急性栓塞、梗阻,发生胰腺急性血循环障碍而导致急性胰腺炎;另一个因素是建立在胰管梗阻的基础上,当胰管梗阻后,胰管内高压,则将胰酶被动性的“渗入”间质。由于胰酶的刺激则引起间质中的淋巴管、静脉、动脉栓塞,继而胰腺发生缺血坏死。
4.外伤
胰腺外伤使胰腺管破裂、胰腺液外溢以及外伤后血液供应不足,导致发生急性重型胰腺炎。
5.感染因素
急性胰腺炎可以发生各种细菌感染和病毒感染,病毒或细菌是通过血液或淋巴进入胰腺组织,而引起胰腺炎。一般情况下这种感染均为单纯水肿性胰腺炎,发生出血坏死性胰腺炎者较少。
6.代谢性疾病
可与高钙血症、高脂血症等病症有关。
7.其他因素
如药物过敏、血色沉着症、遗传等。

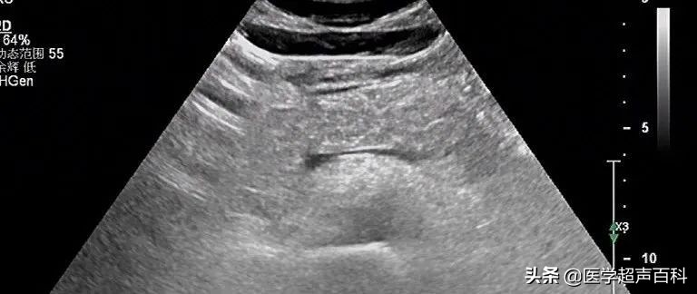
水肿型胰腺炎:胰腺稍大, 边缘规整,胰头、体部回声减低,分布前均质

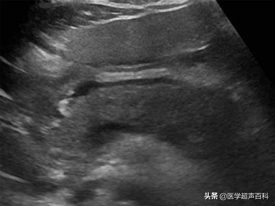
水肿型胰腺炎:胰腺弥漫性增大,边缘形态规整,内部回声减低,胰腺后方血管受压迫显示不清
急性胰腺炎的诊断标准
1.典型的腹痛症状(上腹、左上腹疼痛,可放射至背部胸部或两侧)
2.淀粉酶或脂肪酶高于正常值上限的三倍
3.B超、CT或MRI等影像学检查提示有胰腺炎表现
急性胰腺炎分水肿型和坏死型
水肿型急性胰腺炎主要病理表现为胰腺间质充血、水肿,病变较轻,较常见。坏死型急性胰腺炎病理表现为大量胰腺腺泡、脂肪、血管坏死,伴周围大量血性渗出液,死亡率高,较少见。慢性胰腺炎主要病理改变为纤维增生。
急性胰腺炎声像图表现
(1)胰腺弥漫性或局限性增大,可失去正常形态,轮廓不清。
(2)内回声减低,呈弥漫分布的弱点状,中间有强弱不均、形态不整、边界不清的片状回声。严重水肿时呈透声暗区,似囊肿声像图。
(3)多伴胰腺区胃肠气体增多,以胰头区更甚,使探查更为困难。

急性胰腺炎的治疗
1.非手术治疗
防治休克,改善微循环、解痉、止痛,抑制胰酶分泌,抗感染,营养支持,预防并发症的发生,加强重症监护的一些措施等。
(1)防治休克改善微循环 应积极补充液体、电解质和热量,以维持循环的稳定和水电解质平衡。
(2)抑制胰腺分泌 ①H2受体阻断剂;②抑肽酶;③5-氟尿嘧啶;④禁食和胃肠减压。
(3)解痉止痛 应定时给以止痛剂,传统方法是静脉内滴注0.1%的普鲁卡因用以静脉封闭。并可定时将杜冷丁与阿托品配合使用,既止痛又可解除Oddi括约肌痉挛,禁用*啡吗**,以免引起Oddi括约肌痉挛。另外,亚硝酸异戊酯、亚硝酸甘油等在剧痛时使用,特别是年龄大的病人使用,既可一定程度地解除Oddi括约肌的痉挛,同时对冠状动脉供血也大有好处。
(4)营养支持 急性重型胰腺炎时,机体的分解代谢高、炎性渗出、长期禁食、高热等,病人处于负氮平衡及低血蛋白症,故需营养支持,而在给予营养支持的同时,又要使胰腺不分泌或少分泌。
(5)抗生素的应用 抗生素对急性胰腺炎的应用,是综合性治疗中不可缺少的内容之一。急性出血坏死性胰腺炎时应用抗生素是无可非议的。急性水肿性胰腺炎,作为预防继发感染,应合理的使用一定量的抗生素。
(6)腹膜腔灌洗 对腹腔内有大量渗出者,可做腹腔灌洗,使腹腔内含有大量胰酶和毒素物质的液体稀释并排除体外。
(7)加强监护。
(8)间接降温疗法。
2.手术治疗
虽有局限性区域性胰腺坏死、渗出,若无感染而全身中毒症状不十分严重的患者,不需急于手术。若有感染则应予以相应的手术治疗。