今天,有位老同事受人所托找到我,说一个间接熟人的小孩,在外院做锁骨骨折手术,术后感染了,问我能不能接收进一步治疗。骨折术后感染是常见并发症。一般发现后应及早尽快处理。

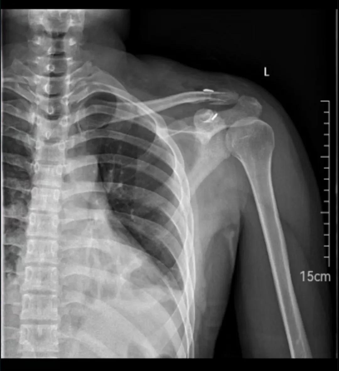
锁骨远端骨折

锁骨远端骨折切开复位袢钢板内固定
患者是个高三学生,还有40多天就要高考了,锁骨远端骨折,做了切开复位袢钢板内固定术,术后伤口出现了感染。现已术后第十天,伤口已开裂,深部有渗出。感染再发展下去可能就要耽误高考了。当前主要矛盾是控制感染,尽可能地让患者早日回归教室,参加高考。

伤口已经裂开,渗出
为了尽快控制感染,我们决定尽快扩创,视情取出内固定,以期让孩子早日返校。
为什么一个小的闭合骨折也能出现感染?骨折术后感染是骨科常见并发症。不同类型的骨折感染率有所不同,开放性骨折感染率达到4%以上,闭合骨折手术感染率在1%左右。
骨折术后感染的影响因素有很多:
一是患者自身因素:患者骨折严重程度,创口污染程度,损伤越重,越易感染。患者其他部位带菌,自身免疫功能低下,有易感染倾向,比如合并糖尿病等基础疾病等,都易导致感染。
另一重要因素就是医护人员因素:术前有无及时调整患者内环境稳态,手术操作无菌技术,手术操作者技术水平,术后药物应用及换药等等细节,都会影响感染率。
手术类别:伤口类别,手术操作的复杂程度,手术时间,手术器械与内植入物因素等。
环境因素:急救现场条件,手术室环境等。
骨折术后感染很多时候是多因一果,可能某一因素占主导。作为医务人员,应在术前、术中、术后规范操作,及时处置,努力将感染率降到最低。
#奇妙知识季#