
“本文为糖果妈妈原创,欢迎个人转发分享”
孩子拥有一口洁白、结实的牙齿,能为自己的颜值增色不少,而且牙齿健康也很重要,这关系到孩子的进食,进而会影响到发育。

有的孩子有两颗小*牙虎**,看上去非常萌,家长也觉得活泼可爱,可是这位“鲨鱼牙”的小朋友,却着实让父母感到忧心,如何正确护牙呢?

宝妈亮出孩子的“鲨鱼牙”求助
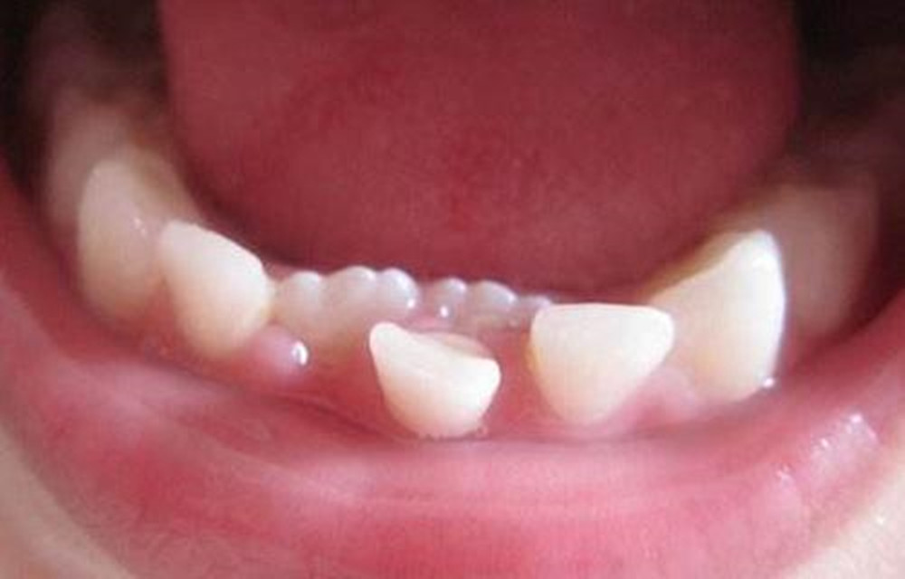
一位宝妈在社交平台式上上传了自己宝宝的牙齿照片,孩子的牙有什么可晒的?这个宝宝还真是有点与众不同。
只见他的牙齿都是呈锯齿形状的,看上去尖尖的,牙齿之间的缝隙也很大,就连其他小朋友“一家独大”的门牙,在他这里也未能幸免,也是很尖锐的。

乍一看就像是“鲨鱼牙”一样,有点酷,却也有点苦涩,因为父母也不知道孩子为啥会长出这种牙齿,又该怎么办呢?

分析: “鲨鱼牙”其实是双排牙,由乳牙滞留造成的
鲨鱼牙又称双排牙,是乳牙滞留造成的,也就是说,宝宝新的恒牙已经萌出,但是乳牙仍未“退位”,导致口腔内长了两排牙齿。
在这种情况下,恒牙就会出现错位生长现象,很容易形成“鲨鱼牙”。这种牙齿十分不美观,宝宝可能会因此遭受来自别人的嘲笑和异样的目光。

而且错位的萌牙,还会造成孩子咬合不正,进而影响进食速度和食欲。

什么原因导致孩子出现“鲨鱼牙”呢?
1)饮食过于精细
牙齿是用来咀嚼食物的,恒牙和乳牙的交替也是在这种磨合中进行的。如果家长对孩子的喂养过于精细,比如将青菜切得碎碎的,坚果都磨成粉末。
宝宝的牙齿得不到充分的锻炼和生理性刺激,乳牙就会“坚守岗位”,而恒牙只能“另寻出路”,于是就形成了双排牙,牙齿错位,排列不齐。

2)龋齿
很多家长会错误地认为,乳牙迟早要换,是否为龋齿都不重要。殊不知恒牙也是沿着乳牙的轨迹生长出来的,乳牙坏掉,恒牙萌出也会受影响,如恒牙胚发育错位。

宝宝牙齿护理这样做
① 从小给宝宝“刷牙”
从宝宝萌出第一颗牙齿开始,父母就要留心宝宝的口腔清洁了。可用纱布蘸温水给宝宝擦拭牙齿、牙龈和舌头,既能清洁牙齿,又能刺激乳牙萌出。
② 饮食均衡,粗细搭配
给宝宝的辅食应根据月龄,从菜泥、果泥、肉泥到菜末、肉末,再到成块的食物,锻炼孩子的牙齿。尤其是在换牙期间,多给宝宝吃一些固体食物,能促进换牙。

③ 戒掉奶瓶,避免奶睡
美国儿科研究院建议:从婴儿1岁开始,应逐渐减少宝宝使用奶瓶的次数,最晚不应超过1岁半。 长期使用奶瓶喝水,尤其是喝果汁之类的,容易诱发宝宝龋齿。此外要避免奶睡,无论是含着妈妈的乳头还是叼着奶瓶,都会加大患上龋齿的风险。
④ 定期做口腔检查
每隔半年到一年,领着宝宝做一次正规的牙齿检查,发现问题及时解决。

【糖果妈妈寄语】
在动漫中很多反面角色都会露出尖尖的鲨鱼牙,邪魅一笑,这表示反面人物要登场了。
现实中可别让孩子在这点上去扮酷,因为这一点也不酷,反而是家长护理不当,才导致的孩子牙齿“乱长”。提早认识到危害,才能防患于未然哦!
【今日话题】
你家宝宝的牙齿怎么样?