一、解剖
颈动脉间隙(carotid space,CS)是由颈动脉鞘包绕的颈部间隙,左右各一,由颈深筋膜的浅层、中层和深层构成。


颈动脉间隙上至颅底颈静脉孔,下至主动脉弓,由舌骨分为舌骨上区及舌骨下区。

舌骨上区-颈动脉间隙前方由咀嚼肌和咽旁间隙包围,外侧面被腮腺间隙包围,内侧面被咽后间隙包围,后面被椎前间隙包围。
结构包括:
1、颈内动脉
2、颈内静脉
3、9-12 对颅神经
4、交感神经丛
5、颈深淋巴结

舌骨下区-颈动脉间隙前方由颈前间隙包围,外侧面由胸锁乳突肌,内侧面由脏器和咽后间隙包围,后面由椎前和椎后间隙包围。
结构包括:
1、颈总动脉
2、颈内静脉
3、第 10 对颅神经
颈内动脉是颈动脉间隙的中心,颈内静脉位于颈内动脉的后外侧。第 10 对颅神经(迷走神经)位于颈内动脉及颈内静脉之间的后方,而第 9/11/12 颅神经在舌骨上方水平穿出颈动脉鞘。
颈动脉间隙疾病可发生于上述任何一种结构,影像学检查对诊断有价值。

二、疾病
1.副神经节瘤:一种罕见的神经内分泌肿瘤,可发生在身体任何存在副神经节的区域,多为良性富血供占位。大多数副神经节瘤为非功能性,临床症状多表现为无痛性颈部肿块。虽然功能性副节瘤少见,但是临床症状却常常致命。由于副节瘤血供丰富,活检具有很大的风险,因此影像学诊断是关键。MRI 典型表现为「胡椒盐征」。胡椒:T1WI、T2WI 血管流空信号;盐:T1WI 高信号(出血或慢血流)。增强扫描明显强化,肿瘤较大可出现坏死。
(1).颈动脉体瘤:约占颈部副节瘤的 60%,45-60 岁多见,无明显性别差异。多位于颈总动脉分叉处内侧,往往生长缓慢和无痛,由于病灶靠近 10-12 颅神经,因此患者可以出现吞咽困难、声音嘶哑等。

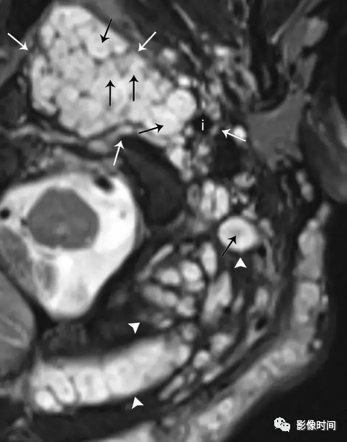
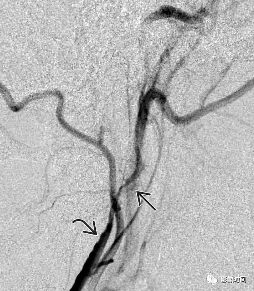
模式图显示颈动脉体瘤富含血管,并导致颈内动脉及颈外动脉距离增宽,包绕颅神经。增强 CT 显示右侧动脉间隙中心的边界清晰肿块,导致颈内动脉 (i) 和颈外动脉 (e) 分离。颈内静脉向外后移位(j)。左颈动脉间隙 (虚线圆) 显示颈动脉与颈内静脉的正常关系。T2WI 显示边界清晰的信号肿块 (白色箭头),多个内部流动信号 (黑色箭头)。DSA 显示颈动脉分叉处有富血管团块 (箭头)。
(2).颈静脉球瘤:可发生于舌咽神经鼓室支或迷走神经耳支,50-60 岁男性多见,临床症状多为耳鸣、听力损失或眩晕,和其他与颈静脉孔内的颅神经有关的症状。

模式图显示颈静脉球瘤富含血管,包绕颅神经伴「虫噬状骨质破坏」。CT 显示颈静脉孔区「蛀虫」的骨质破坏。增强 MRI 显示颈静脉孔区增强肿块 (白色箭头),注意流空信号 (黑色箭头)。
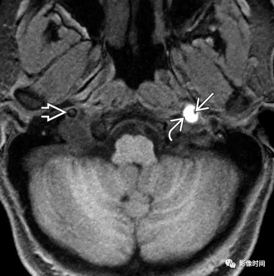
(3).迷走神经球瘤:约占颈部副节瘤的 2.5%,40-60 岁女性稍多见,最常发生迷走神经节(约平 C1)。临床表现为下颌角后方无症状肿块,后期可能出现迷走神经功能障碍如吞咽困难、声带麻痹等症状。迷走神经位于颈动脉间隙的后侧,因此,迷走神经球瘤向前推挤颈内或颈外动脉。

模式图显示迷走神经球瘤位于约颈 1 水平,富含血管,颈内动脉受压向前内移位。T2WI 显示一个边界清晰高信号肿块 (白色箭头) 与流空血管 (黑色箭头)。注意右颈内动脉 (i) 和颈外动脉 (e) 的前移位,右颈内静脉外移位(j)。DSA 显示颈动脉分叉处上方高血管团块 (白箭头)。
2.神经鞘瘤与神经纤维瘤:大多数为良性,少数恶性。两者具有相似的影像学表现,在 CT 上,相对于肌肉呈低密度,较明显强化。在 MRI 上,T1WI 稍低信号,T2WI 稍高信号,可见囊变区,实性明显强化。但是,两者可以通过受累神经的形态进行区别。

a.神经鞘瘤偏心分布 ;b.神经纤维瘤纵向棱形分布于纤维束中
(1)神经鞘瘤:好发于 20-60 岁男性患者,除了来源于第 9-12 对颅神经,颈动脉间隙神经鞘瘤还可来源于交感神经丛。颈动脉间隙神经鞘瘤通常沿受累神经长轴走行,呈梭形或卵圆形,单发多见,部分合并囊性、非强化区,颈内动脉通常受压向前或外侧移位。

模式图显示神经鞘瘤位于颈内静脉前内侧和颈内动脉后外侧之间。T1WI 显示病灶呈稍低信号,T2WI 稍高信号,明显强化。
(2)神经纤维瘤:20-30 岁青年患者多见,10% 神经纤维瘤与发生于神经纤维瘤病,根据形态分为弥漫型、丛状、局灶型,纵向及梭形生长,特征性表现为「靶征」或「鱼眼征」,是指病灶中心的 T2WI 低信号。


T1WI 显示病灶相对于肌肉呈低信号,T2WI 病灶呈高信号,病灶包绕左侧颈内动脉 (i)。注意此病变的特征「鱼眼」或「靶」外观(黑色箭头)。
3、脑膜瘤:脑膜瘤是中枢神经系统最常见的脑外颅内肿瘤,大多数脑膜瘤发生在颅内。颈静脉孔区的脑膜瘤可向下延伸至颈动脉间隙。大多数脑膜瘤 CT 表现为等或者高密度,20% 钙化,邻近骨质表现为反应性骨质增生。在 MRI 上,脑膜瘤通常表现为 T1WI 等或稍低信号,T2WI 等或稍高信号,明显强化,可见脑膜尾征。



轴位 CT 显示病灶相邻的骨质增生(白色箭头),正常左乳突骨皮质 (黑箭头)。轴位 T2WI 病灶呈等信号 (白色箭头),向前推移颈内动脉 (i)。左侧颈内动脉的正常位置也被观察到。
矢状位 T1WI+C 病灶明显强化 (白色箭头) 从后窝延通过颈静脉孔 (黑色箭头) 延伸至右颈动脉间隙,见硬膜尾征(无尾箭头)。
4、颈内动脉/颈总动脉夹层:颈动脉内膜撕裂,血液进入中膜并形成血肿。内膜撕裂可以自发,也可能与外伤或医源性有关。不管是什么原因,通常会导致真正血管腔的狭窄。颈动脉夹层约占 45 岁以下患者脑卒中原因的 20%。典型症状包括疼痛、同侧霍纳综合征和脑缺血症状。DSA 被认为是诊断的金标准,但是侵入性的,只评估管腔直径,而不是观察动脉壁厚度或形态。CTA 提供了更高的空间分辨率来评估管腔和管壁。T1WI 脂肪抑制序列对壁间血肿高度敏感。





模式图显示了颈内动脉夹层,内膜撕裂,血肿位于中膜,真腔狭窄。DSA 显示真腔狭窄 (黑色箭头)。轴位 CTA、超声下显示右颈总动脉有内膜瓣 (黑色箭头) 和「双腔」征 (白色箭头)。轴位 T1WI-压脂显示右侧颈内动脉高信号新月形壁间血肿,真腔明显狭窄,右侧颈内动脉显示正常流空信号。
5、颈内动脉/颈总动脉假性动脉瘤:假性动脉瘤发生在内膜和中膜受到损伤时,导致仅由外膜层所包含的血肿。通常是无症状,而且是偶然发现的;然而,却有很大的破裂风险,死亡率很高。假性动脉瘤可由于创伤、血管炎、感染或为医源性。CTA 显示血管壁不规则外凸影。T1WI 脂肪抑制序列能够评估腔内血栓和假性动脉瘤的大小。DSA 仍是评价假性动脉瘤的金标准。



模式图显示内膜及中膜撕裂,外膜包裹血肿,CTA 显示动脉壁不规则状外凸影。a. CTA 显示刺伤后左侧颈总动脉(箭头)的不规则外凸影。左颈内静脉也受伤(黑色箭头)。左侧声带麻痹 (白色箭头),因伴有迷走神经损伤。b. 矢状曲面重建 CTA 更好地显示局灶性假性动脉瘤位于左颈总动脉分叉近端。
6.纤维肌性发育不良:颈动脉纤维肌性发育不良是一种罕见且无症状的疾病,因此往往是偶然发现的。然而,有症状的病人可以出现脑梗死、短暂缺血、或蛛网膜下腔出血。虽然纤维肌性发育不良可发生在三层动脉壁中的任何一层,但中膜受累是最常见的表现。超过 90% 的病例动脉壁由于纤维增厚和弹性层的破坏而而导致多灶性狭窄和扩张。值得注意的是管腔扩张往往大于正常血管直径,从而有助于区分纤维肌性发育不良和动脉粥样硬化。「串珠」外观在 80% -90% 的病例中都能看到。CTA 和 MRA 是首选检查。




模式图显示纤维肌性发育不良的主要亚型:1 型表现为收缩和扩张的交替;2 型表现为管状狭窄,3 型表现为局灶性波纹+憩室。MRA 显示双侧颈内动脉「串珠」外观(箭头)。CTA 和 DSA 亦显示颈内动脉「串珠」外观。
7.短暂颈动脉周围炎症:也称为 Fay 综合征,患者多表现为单侧颈总动脉分叉区域持续性搏动疼痛,具有自限性,往往 1-2 周缓解,首选激素治疗。虽然目前发病机制存在争议,但是大多数认为与颈总动脉分叉区域的特发性炎症有关,因此,又被称为短暂颈动脉周围炎症。CT、MRI 显示颈动脉周围软组织异常、劲动脉壁增厚,特别是分叉处,管腔一般不受影响,CT 一般为低密度,T1WI 压脂序列呈稍低信号(区别于夹层高信号),增强扫描呈明显强化,激素治疗随访后消失。




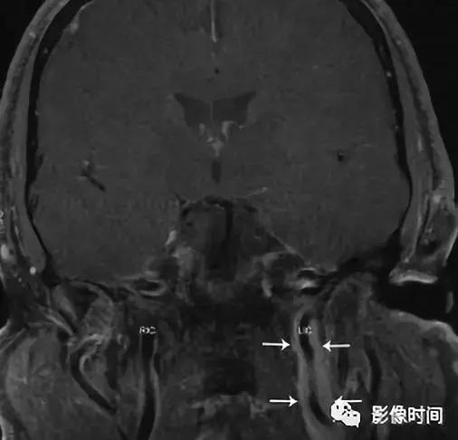
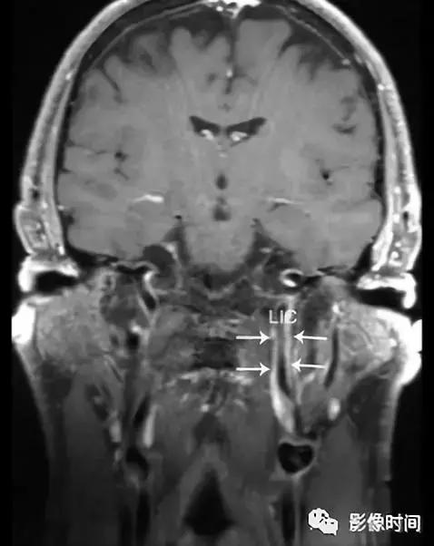
CTA 显示轴向左侧颈总动脉分叉区周围软组织增厚(无尾箭头),管腔未见狭窄,可见软斑块(长箭头)。TOFMRA 显示左颈内动脉周围软组织增厚,注意右颈内动脉的正常外观。冠状 T1WI+C 显示左侧颈内动脉周围明显强化 (长箭头),注意右颈内动脉的正常外观。激素治疗随访约 4 个月后,冠状 T1WI+C 显示颈内动脉周围厚度减轻。
8.颈内静脉血栓:颈内静脉作为硬膜窦在颈部的延伸,血栓形成有多种原因,包括外在压迫、慢性留置导管、近期手术、头颈部感染 (Lemierre 综合征)、自发性血栓形成、高凝状态等。CT 增强或者 CTA、MRV 能够显示腔内血栓,血管壁的强化亦可显示。MRI 可以评价颈内静脉周围软组织的炎性改变。




颈部 CT 增强显示右侧 PICC 术后,右侧颈内静脉血栓形成,另可见静脉壁强化和左颈内静脉未闭时管腔造影剂填充。MRV 原始图像显示另一患者右侧乙状窦向颈内静脉延续的血栓,MRV 显示右侧颈内静脉闭塞,周围多发迂曲纤细静脉影,提示慢性代偿。
9.颈深淋巴结化脓性感染:头颈部感染可导致颈深淋巴结炎性改变,受影响的淋巴结通常扩大 (短径大于 1 cm)。患者常表现为发热、咽喉痛、咳嗽和可触及的颈部肿块。在化脓性感染中,淋巴结会发生液化坏死,如果不治疗,化脓性淋巴结可能破裂,扩散到颈部的深间隙。化脓性腺炎最常见的致病菌是金黄色葡萄球菌和 A 组链球菌。颈部 CT 增强扫描是首选检查方法。



增强 CT 显示左侧颈深淋巴结环形强化 (白色箭头),伴液化性坏死 (星形),左颈内动脉 (IC) 受压后内移位。3 天后显示化脓性淋巴结破裂 (箭头),注意正常的右侧颈动脉间隙保留的脂肪间隙 (圆圈)。化脓性淋巴结破裂,液体渗入到颈动脉间隙 (箭头)。
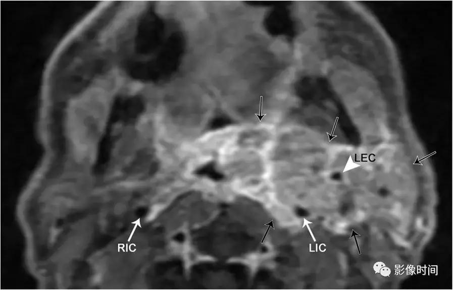
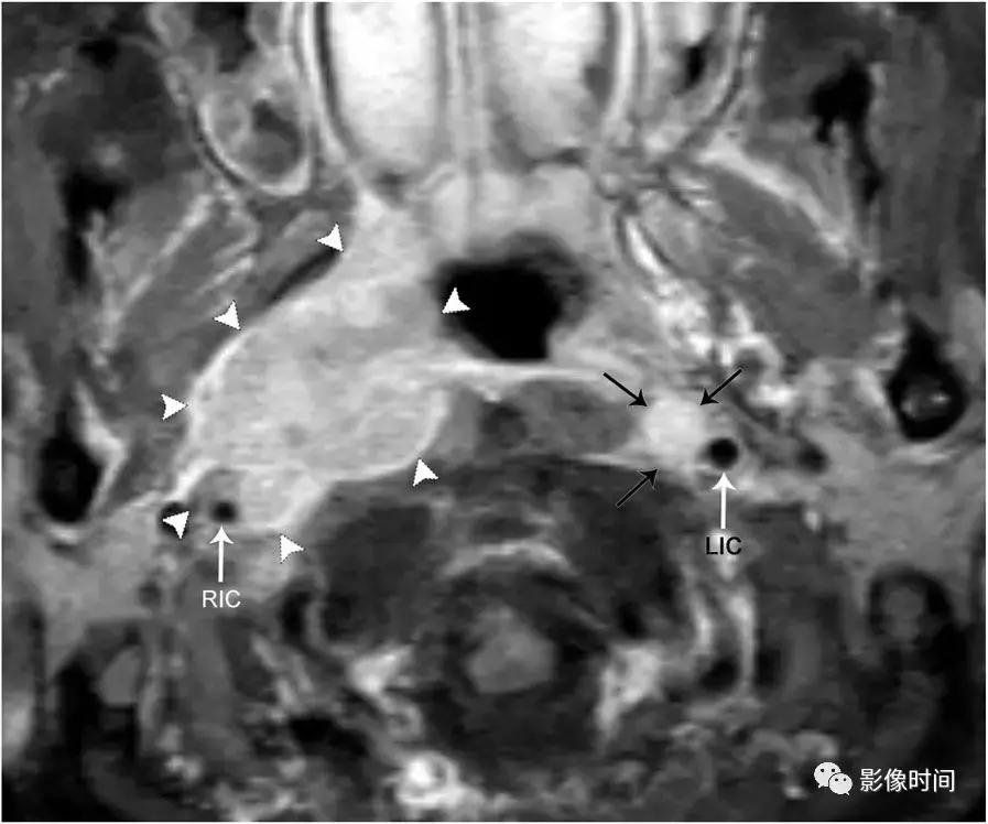
10.淋巴瘤:霍奇金淋巴瘤和非霍奇金淋巴瘤常累及头颈部,影像检查无法将两者区分开。非霍奇金淋巴瘤多见,80-85% 为弥漫大 B 细胞淋巴瘤。患者一般出现无痛性头颈部肿块,伴发烧,体重减轻,盗汗要想到淋巴瘤的可能性。CT 或 MRI 上,淋巴瘤可以单发或多发,多发病灶可见相互融合,常常推挤或包饶周围结构,增强扫描呈不同程度的强化,重要一点:淋巴瘤包饶血管,但不会导致血管管腔狭窄,这种特征有助于和其他疾病区分。虽然 CT 是淋巴瘤初步评估和分期的主要标准,但它只提供结构信息,正电子发射断层显像 (PET) 在淋巴瘤中的作用越来越大,因为可以反映其功能。PET 是评估淋巴瘤治疗的反应以及在治疗后发现残余或复发的关键。



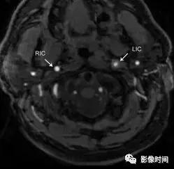
轴位 T1WI+C 显示不均匀强化肿块,完全包裹左侧颈内 (LIC) 和颈外动脉 (LEC)。注意左侧颈内动脉的管腔与右侧颈内动脉 (RIC) 的管径一致。
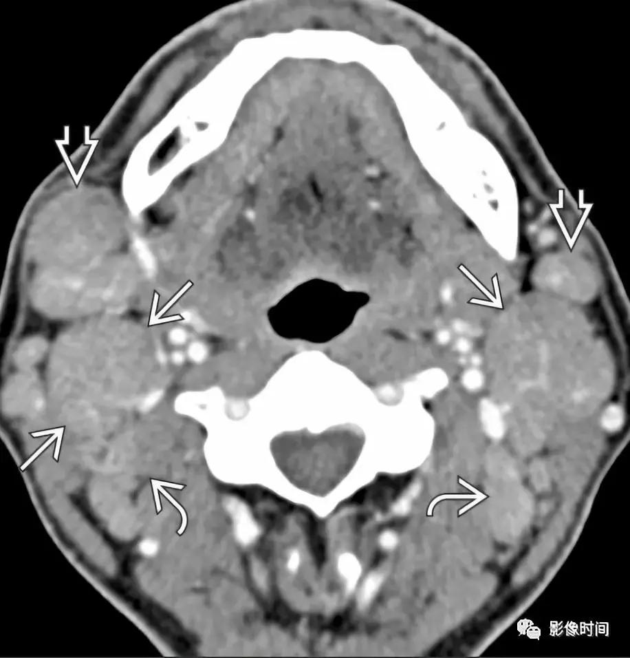
轴位增强 CT 显示双侧舌骨上颈部多发淋巴瘤,不均匀强化,没有坏死。
FDG-PET 冠状图像显示右侧颈部和纵隔霍奇金淋巴瘤有明显的活动。
11、转移瘤:鳞癌淋巴结转移最常见,约占 90%,比如鼻咽癌、舌癌、喉癌等,其他恶性肿瘤包括甲状腺癌,乳腺癌,黑色素瘤,甚至肺癌也能转移到颈部淋巴结。在 CT 和 MRI 上,鳞癌和甲状腺癌淋巴结转移容易囊变,实性部分明显强化。当发现老年人发现颈部囊性或囊实性肿块时,一定要连续层面观察头颈部其他部位的恶性肿瘤。

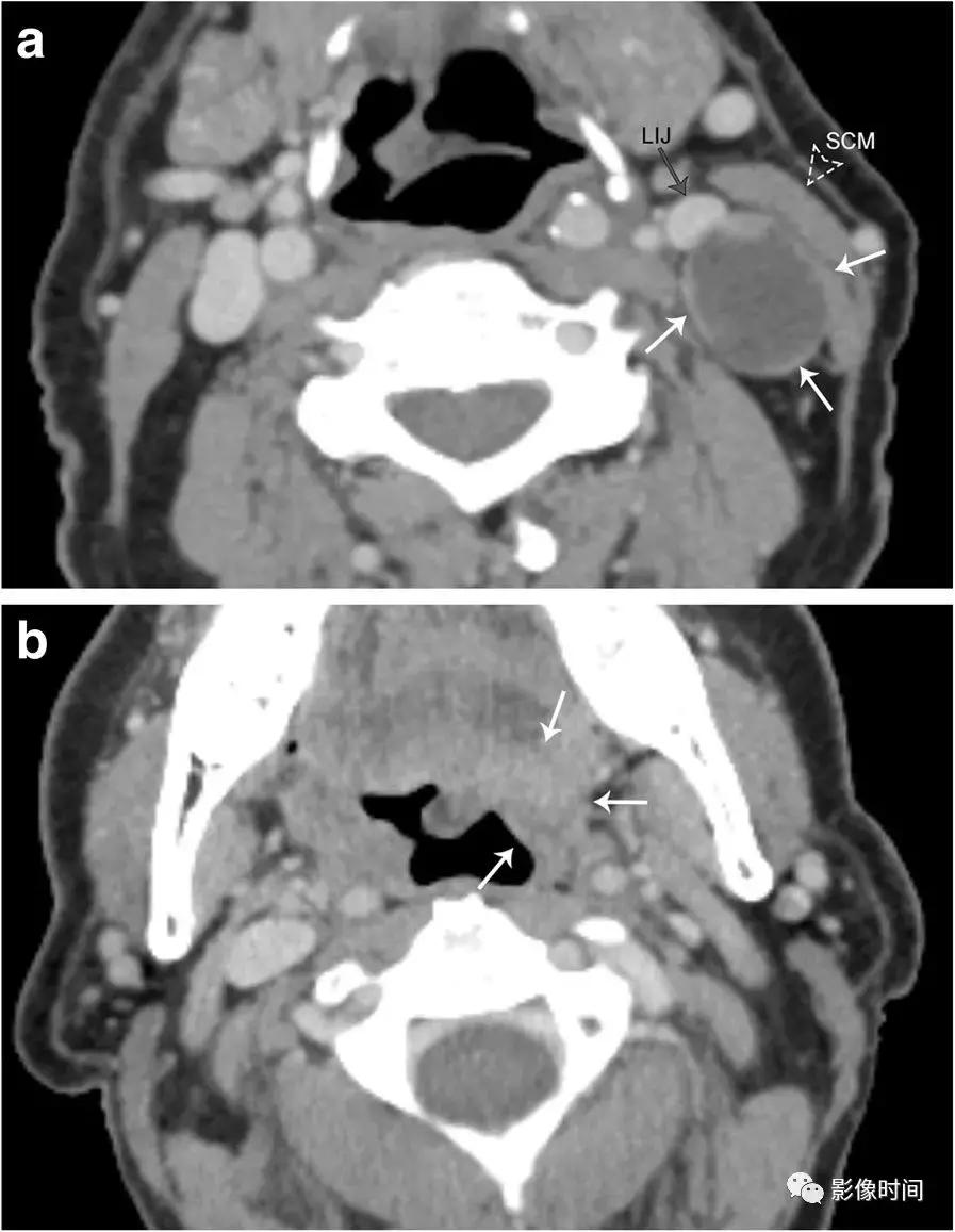
a. 患者表现为明显的左颈部肿块。增强 CT 显示左侧颈动脉间隙淋巴结边界清晰、稍低密度,伴壁结节 (白色箭头),导致左颈内静脉 (LIJ) 前内移位和胸锁乳突肌 (SCM) 向外移位。b. 同一患者舌根水平增强 CT 图像显示左舌底部 (箭头) 有一个不明确的肿块,活组织检查为鳞状细胞癌。
12、鳞癌:少数情况下,头颈部原发性恶性肿瘤,比如鳞癌有可能直接侵犯颈动脉间隙,这最终具有分期和治疗的意义。

轴位 T1WI+C 显示鳞状细胞癌直接侵犯到颈动脉间隙。与左颈内动脉(LIC)相比,右颈内动脉(RIC)被包裹、变窄和横向移位。还有一个左侧咽后淋巴结 (黑色箭头)。
小结
颈动脉间隙是头颈部间隙中一个狭小空间,但是其解剖结构复杂,充分掌握这个空间内的解剖知识能够使放射科医生正确识别常见疾病。
如果怀疑有累及颈动脉间隙的病变,必须从颅底的颈静脉孔观察至纵隔水平,涉及或发生在第 9-12 对颅神经、颈总动脉或颈内动脉、颈内静脉、颈深淋巴结均需考虑。
来源:影像时间
【版权声明】本平台属公益学习平台,转载系出于传递更多学习信息之目的,且已标明作者和出处,如不希望被传播的老师可与我们联系删除