大家好,我是一名从业多年的临床医生,最近有好几位粉丝后台留言,说在早上起来后或者刷牙时容易出血,时好时坏,反反复复,查血常规血小板也还好,凝血功能也没啥问题,为什么会出现这种情况呢?会不会是什么大病的征兆或者异常信号?我相信有这类问题的人也是不在少数的,为了解决大家的疑惑,今天我就以此为主题来为大家做一篇科普讲解。

牙龈出血是怎么回事?
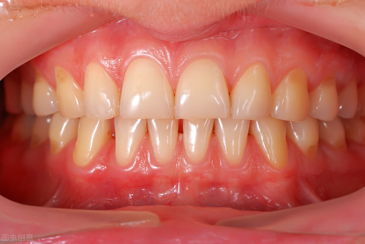
●所谓的牙龈出血,其实是指牙龈自发性或受到轻微刺激引起的出血。我们在临床上可将其分为自限性牙龈出血和非自限性牙龈出血两大种。我先简单地概括一下,前者常多是由牙龈炎 或牙周炎等因素引起,是可自行停止的;而后者多由牙周疾病引起,但请注意,还有少数是因罹患有某些全身性疾病所致,是无自限性的,这点大家要注意区分。像症状轻者多表现为仅刷牙、咀嚼粗硬食物时唾液中带血丝,重者牙龈受轻微刺激时即出血较多甚至是自发性出血(如半夜睡觉时),血流不止。下面我就从这两大主因来为大家进行深入的解读。
●自限性牙龈出血:像这种类型的话上面我也讲到,多见于口腔局部因素如牙周炎、不良修复体等造成牙龈充血水肿或者锐利边缘刺激等均可引起牙龈出血,此外拔牙或其他口腔手术因为小血管的破裂也可引起急性牙龈出血。这类牙龈出血通常范围局限,出血量较小,有自限性。但在这里我重点要讲的就是“牙龈炎症”引发,由于龈缘出现充血、肿胀,毛细血管高度扩张,变脆,严重者龈缘可出现糜烂及肉芽组织增生,这种出血部位多位于牙龈乳头及龈沟处,原因可能与牙龈乳头及龈沟两处组织易受细菌感染及机械刺激,与毛细血管容易破裂出血有关。而且牙龈炎的人在其龈沟处牙面上往往存在有牙结石及菌斑,所以治疗牙龈炎是关键。

●非自限性牙龈出血:当一个人出现牙龈出血时我们往往先考虑常见原因,排除一下是不是牙髓炎、牙周炎等等,如果都还好,那我们就得看看是不是全身因素所引起的局部症状。像血液系统的疾病(血小板减少性紫癜、 再生障碍性贫血、急性白血病等);肝、肾功能衰竭、高血压、血友病、服用某些抗凝药物、抗血小板药物、血液透析病人、某些药物毒物中毒如误服老鼠药等等。像这类牙龈出血通常范围广泛,出血量较大而且多为非自限性,一定要及时就医逐一排查。

牙龈出血有何对策及什么注意事项?
●如果是义齿压迫引起出血者,去除义齿后可以用无菌纱布压迫止血;对牙龈炎患者,待局部止血后用棉签蘸3%医用过氧化氢溶液涂搽牙龈缘,温水漱口后,再予2%碘甘油涂擦龈缘,3次/d,直至炎症痊愈;对牙龈缘有结石及菌斑者,先用超声波洁牙机进行龈上、龈下彻底地洁治牙齿,清除牙石及菌斑,再用3%过氧化氢溶液冲洗龈沟,2%碘甘油涂擦龈缘;对炎症严重、肉芽组织增生的深牙周袋,则经3%过氧化氢溶液冲洗后,在牙周袋内局部放置抗菌药物如甲硝唑、四环素等抗感染治疗。
●如果是全身因素引起的牙龈出血,则根据病因不同对症支持治疗,控制好全身疾病,要注意营养平衡、提高机体抵抗力。就有相关的调查研究显示,吸烟习惯、碳酸饮料摄入及口腔疾病为牙龈出血的消极因素,而刷牙习惯、牙具选择、定期洁治、新鲜蔬果摄人为积极因素。所以我们应尽力减少消极因素,如积极戒烟、拒绝二手烟、拒绝碳酸饮料、防治口腔和相关系统疾病等,同时提倡积极因素,如学习口腔卫生知识、养成良好的刷牙习惯、定期进行口腔检查和洁治(如牙结石)、增加新鲜蔬果摄入等。

作者寄语:本文是笔者综合数小时时间综合总结而成,不加入专栏收费,无偿、免费地让大家阅读。愿对那些受到谣言误导、没有医学知识、没有健康保健观念的群体有所帮助。头条是一个开放的平台,每个人都可以互相学习,互相探讨,如有不同观点可在评论区谈谈自己的看法。如果觉得学到了有帮助,不要吝啬,献个爱心,点个赞,转发一下帮助更多的人。#健康科普大赛##长城心血管健康周#