科普小知识
嘴里的痛楚--龋齿

龋齿俗称“虫牙、蛀牙”,是牙齿发生的一种慢性、进行性、破坏性疾病。它既是口腔主要的常见病,也是人类最普遍的疾病之一,世界卫生组织已将其与癌肿和心血管疾病并列为人类三大重点防治疾病。2016年《柳叶刀》研究数据显示,全球恒牙龋齿患病率居所有疾病首位。
龋齿产生的原因

目前公认 四种因素 相互作用是龋齿产生的原因。
01
细菌因素
是龋齿发生的主要因素,没有细菌不会发生龋齿。
02
宿主因素
是指个体对龋齿的易感程度,包括全身状况、牙齿形态、牙齿整齐度、唾液流量流速等。
03
食物因素
随着生活水平的提高,食物逐渐精细,碳水化合物的摄入量增加,也导致龋齿的发病机会增高。相反,粗制食物不易黏附在牙面,也更容易清洁,故不易发生龋齿。
04
时间因素
龋齿发病的每个过程都需要时间。
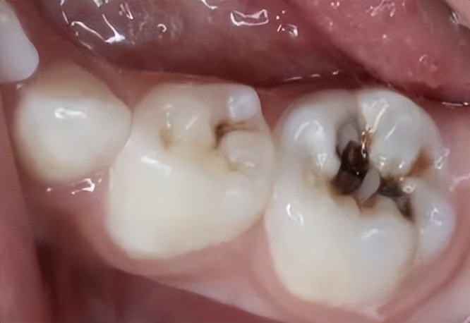
龋齿的临床表现

临床上常根据病变侵入的深度分为 浅龋、中龋、深龋 。
浅龋
病变局限牙齿浅层。一般无自觉症状,仅在检查时发现牙齿局部颜色改变。
这个阶段吃苹果基本没有感觉,口感嘎嘣脆,香甜依旧。


中龋
病变已达牙齿中层。临床检查可见牙齿表面出现窝洞,对外界刺激(如冷、热、甜、酸和食物嵌入等)可出现疼痛反应。
这个阶段吃苹果就有明显感觉了,嘎嘣脆的苹果一口咬下去,不但没有香甜,反而是又酸又软,一个苹果勉强吃完也是难受。


深龋
病变已达牙齿深层。一般表现为牙齿表面大而深的窝洞,或入口小而深层有较为广泛的破坏,疼痛反应较中龋严重。
这个阶段别说吃苹果了,冷热酸甜吃啥都刺激,吃啥都疼,这个时候你才会发现牙疼不是病,疼起来真要命!


龋齿的危害
由于进展缓慢,一般情况下不危及患者生命,因此不易受到重视,实际上龋齿危害甚大。
1
对于儿童,会影响食物咀嚼,导致营养不良,从而影响生长发育;也会造成颌面部发育障碍,降低颜值。
2
随着病变向牙齿深部发展,可引起剧烈疼痛,让人寝食难安、彻夜难眠。
3
未经治疗的龋齿是 不会自行愈合 的,会继续破坏身体组织,以致严重影响全身健康,降低生活质量。
4
影响咀嚼系统,造成一系列关节问题,让人苦不堪言。
5
破坏美观、引起口臭,让你在亲朋面前难以启齿。
6
如果不及早诊治,预后会变得更加不确定,后期治疗成本也会越来越高,费时费力。所以定期口腔检查、及时就医,远比出现症状后才去治疗更划算,最重要的是省钱啊!
龋齿的预防

1.机械清除牙齿表面污渍是 最重要 的步骤,包括刷牙、使用牙线等, 定期洁牙 是非常重要的。
2. 局部用氟 (含氟牙膏等)于牙齿表面,能抑制牙齿表面脱矿,促进再矿化,以提高牙齿防龋能力。
3.预防性 树脂充填和窝沟封闭 ,是用人工材料充填牙齿点隙窝沟等易龋坏处,保护牙体不受细菌及代谢产物侵蚀,达到预防龋齿的目的。
4. 树脂渗透术 是早期龋时,用树脂渗透到龋坏牙齿,以阻塞因脱矿而产生的微孔和晶间空隙,可治疗早期龋的白垩色病变,阻断早期龋继续发展。
5.早期诊断、早期处理,定期进行临床及X线辅助检查,发现浅龋及时充填,避免龋损的进一步发展和破坏。
参考文献
[1]Global,regional,and national incidence,
prevalence,and years lived with disability for 328 disease and injuries for 195 countries, 1990-2016:a systematic analysis for the Global Burden of Disease Study 2016.Lancet,2017.
来源:重庆市人民医院健康管理中心