《我不是药神》触动了很多人的神经,底层的癌症病人太艰难,各种心酸,甚至底线一退再退,所求的只有两个字:活着!
诚如片中老大娘的心声“谁能保证一直不生病呢?我还不想死,我想活着啊!”
“他才二十岁,他只是想活下去,有错吗?”
生命只有一次啊!身陷绝境,哪怕是一根稻草,都要去抓一抓的!

在山东肿瘤医院门前的菜市场旁,有一条肿瘤街,很多人搭着简易的棚子,每天去菜市场捡些半烂的菜叶子回来炖着吃,据说这样对付3天,就能节省出1天的治疗费用,这笔账,划算!
划算吗?这是一笔从嘴里抠出来的活命帐。
幸福的家庭大致相同,不幸的家庭各有各的不幸……
耽误大家一点时间,再看几个小故事,不煽情——
靶向药物是救命稻草么?
5年前,豪大夫的两个少年玩伴的母亲,先后查出肺癌。
第一位母亲,从春节后开始干咳,断断续续两个月,结果发现右侧肺癌,还不到3公分的肿瘤,已经发生胸椎两处转移,不能手术了。

不能手术,就只能选择其它 法子。这位同学从小就孝顺,除了化疗外,发了疯地到处找偏方,*蝥斑**、白花蛇、壁虎、蟾蜍、还有各种中草药方子,每尝试一个方子就兴冲冲过来跟我交流服用情况,今天又多吃了半碗饭,昨天睡觉不怎么疼了,这几天气色很不错……
真的是板着指头一天一天地帮老母亲挣命。
遗憾的是,老太太是低分化的腺癌,早期转移,对化疗和各种偏方也都不敏感,坚持了三个月去世了。
同学送走母亲后来找我,抽了半包烟,悠悠地问:“哥们,你说得了这病,真就再没有别的办法了吗?”
豪大夫也是从那时候受到触动,开始关注肺肿瘤的前沿治疗讯息,也开始尝试了解靶向药物(当时靶向药物价格不菲,还没有普及)。
而就在这之后半年,另一位同学也带着母亲过来检查,反复胸痛一个多月,结果也是肺癌,心包转移、胸水,很快晚上睡觉都躺不下了。当地医生不敢抽胸水,癌性胸水单纯抽水效果不好。
同学不死心,豪大夫就推荐他们带着老太太去上海试试,去了之后,抽胸水,灌注博来霉素,之后开始服用靶向药物吉非替尼(易瑞沙)。
很幸运!有效!回来后3个月的时候来我这里复查,胖了6斤,老太太感激地很!
那种重生的喜悦真地是很感染人。
之后3年,病情稳定,整整3年!

但用过靶向药物的人都知道,靶向治疗是有耐药期的,去年老太太复查发现肋骨出现了转移,又做了3个疗程的化疗,目前正准备尝试新的靶向药物治疗。
但新药的费用,有点吃不消了。
这方面,我们也要看到国家的努力,抗癌药正在陆续进入医保,价格也在下调,大家都在跟死神抢时间。

这里其实还有个问题——
肺癌如果不能做手术,就只有吃靶向药物这一条路么?
肺癌是发病率最高的恶性肿瘤,最好的情况是早期发现,及时手术切除。有复发风险的,可以配合术后化疗或其他综合治疗手段降低复发风险。
下图这位62岁的老爷子,发现时肿瘤已经侵犯了胸膜,但手术切除配合术后化疗,今年是第3年复查,没有复发转移征象:

这位老爷子是幸运的,但癌症的可怕之处就在于早期症状不明显,出现症状时常常就已经失去手术机会。
如果不能手术,还有那些方法可以延长生命呢?
1.常规手段,如放、化疗
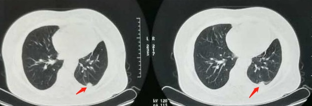
下图是一位52岁的老烟民,右侧小细胞肺癌,不能手术,也没有靶向药物可以使用,采用放化疗为主的综合治疗,第4年复查未见复发征象:


2.晚期肺癌的介入治疗:
包括消融术、放射性粒子植入、局部瘤体化疗、高频电烧灼、微波热凝等多种手段。
如下图这位42岁的女士,左侧纵隔型肺癌,没有手术条件,采用放射性粒子植入治疗,术后1年病情稳定。

此类晚期肺癌的病例中,获得较长生存期的也真不少。
3.分子靶向治疗
有人说,靶向药物是上帝赐给东方患者的礼物,因为东方人比西方人有更高的基因突变率,对靶向药物更敏感。

上图这位老太太,肺腺癌广泛转移,下过三次病危通知书,服用靶向药物治疗,第3年复查的时候,病灶显著缩小:

老太太说感谢有这么好的药,也感谢医生!当年一个病房里的7位病友只剩下她一个人了,她要坚持下去,活着就有希望!
豪大夫在头条做医学科普,结识了很多患者朋友,尤其是@老马的晚期生活和@紫蝶在行走,他们自强、互助、坚韧、理性,还建立了很多病友群互相打气互相照应!他们甚至还请到肿瘤治疗专家专门讲授靶向药物的使用方法、不良反应,和最新的肿瘤治疗讯息等。
有一位幼儿园老师的母亲,晚期肺腺癌,全身浮肿,后来吃吉非替尼多活了15个月,这位老师为了照顾母亲把工作都辞了,后来哭着给我打电话致谢,说是真没想到母亲还能多活这么久……
上天有好生之德!
最后,附一些分子靶向药物的不良反应介绍,希望对某些人有用!
靶向药物的常见不良反应和对症处理:
1.皮疹 要穿松软鞋子,经常手足按摩,可以使用润肤露或水杨酸乳膏按摩;
2.腹泻 严重者可以口服益生菌;
3.甲状腺功能异常 可出现乏力、食欲下降等,须定期检测甲状腺功能,发现异常及时药物控制;
4.尿蛋白增加 需要口服保肾药物,严重者需要减量甚至停药;
5.口腔溃疡 注意口腔卫生,不吃过硬食物。