很多人都这样觉得:看大病拍片我还能理解,看个牙齿也要拍啊?
没必要吧,而且有辐射,对身体也不好!


通常,我们肉眼只能看到外层的一点牙釉质,如果牙齿里面出了问题,是无法观察到的。

牙医不长透视眼当然不能透过现象看到牙齿本质。因此,为了对牙齿进行全面的了解,拍个牙片还是很有必要的。
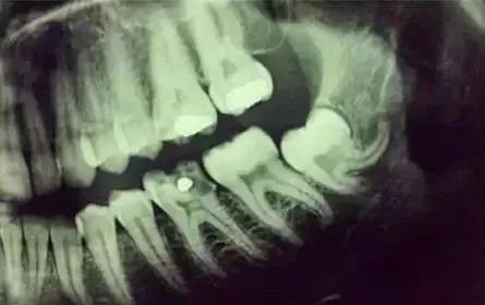
先放几张图,让你们涨涨姿势,不拍片根本不知道你的牙齿长得会有多奇葩!



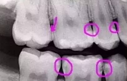
下图圈出来的地方或多或少都有点龋齿,但是有些你并不能看见。这些龋齿还浅不会让你有什么感觉,顶多吃东西塞牙,和冷水敏感而已。

每颗牙都有所龋坏

暗的部位说明龋齿已经非常严重了!

龋坏接近牙髓了
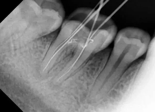
牙齿的牙根是埋在牙槽骨中的,医生没有透视眼,为了解患牙的牙根的形态、走向、长度及根尖周有无病变及病变大小,或者怀疑有肉眼无法确认的其它牙科问题,都会建议患者去牙科的X光,甚至,口腔CT来全面性地确认问题,以订定合适的治疗计划。

电离辐射的测量单位是西弗(Sieverts),医生需要关心的是,如果有人一次性受到的辐射超过2西弗,就可能立马归天了… …
2西弗是什么概念呢?为了帮助大家更容易理解,我们用单位面积内的香蕉数量表达辐射强度。
1根香蕉=0.1微西弗,致命强度的辐射约两千万只香蕉
每吃一根香蕉,就受到约0.1微西弗的辐射,这是1西弗的千万分之一。也就是说,想要一次达到2西弗的致命强度的辐射,要一次性吃下去两千万只香蕉。

拍一张根尖片(小牙片)的辐射剂量等于一次吃下10根香蕉

拍一张小牙片=吃10根香蕉
拿我们坐飞机来比喻的话,
飞行一小时等于拍3张小牙片,
等于一次吃30根香蕉。

飞行一小时=吃30根香蕉
以此类推... ...
拍一次全口曲面断层
=22微西弗
=22张小牙片
=220根香蕉
等于坐飞机5.4小时

拍一次全口曲面断层=吃220根香蕉
拍一次小视野CBCT
=50微西弗
=50张小牙片
=500根香蕉
等于坐飞机12.5小时
拍一次小视野CBCT=吃500根香蕉
值得说明的是,我们牙科所用的锥形束CT(CBCT),由于与大医疗所用的CT(螺旋CT)投照原理不同,产生的放射剂量有极大的差别,大医疗所用的CT是牙科CBCT的40倍。
总之,拍牙片的辐射量其实是较小,大家不用担心。
牙片对于口腔疾病的诊断尤为重要,且辐射量很小,所以只要有必要,大家不要排斥拍片诊断。

在某些口腔疾病治疗的紧急状况下,孕妇可能不得不在宝宝出生前拍牙片,因为未经治疗的牙科感染会构成胎儿的潜在威胁。

一般不主张孕妇在怀孕初期(前三月)拍牙片,毕竟胎儿比正常人更娇嫩更敏感。孕期三个月过后,如孕妇必须接受X光拍摄时,可以穿防护服(铅衣)以防放射线危害孕妇及胎儿。
只要不是直接对准腹部或其附近部位的高剂量辐射,对胎儿的影响几乎微不足道,准妈妈们不必过于担心。
此外,儿童在拍牙片时都会采用低剂量、以最优化的剂量达到临床要求,同时进行必要的防护,大人们也可以不必再纠结于孩子的辐射伤害。

牙片(牙科X光)有助于牙医直接观察到普通口腔检查难以发现的牙齿和牙周组织问题,是早发现早治疗口腔问题的关键。
希望大家一定要认识到牙片的重要性,拍片医生不是为了讹你钱,拍片没有很大的风险,大家不要担心!

- END -
*部分图片来源于网络,涉及版权请私信联系删除。