卵巢巧克力囊肿会导致ca125高多少 (怎么辨别是不是卵巢巧克力囊肿)

【知识要点】

1. 概述

卵巢巧克力囊肿是子宫内膜异位症的一种病变,卵巢内的异位内膜随卵巢激素的变化而发生周期性出血形成囊肿,囊内呈暗褐色黏糊状陈旧血,状似巧克力液体。

2.发病原因

巧克力囊肿病发机制与以下因素相关:内分泌失调、*生活性**频繁、输卵管阻塞、压力过大等。

卵巢巧克力囊肿的分型不正确的,怎么辨别是不是卵巢巧克力囊肿 3.临床表现

临床多见于育龄妇女卵巢功能旺盛之际,主要症状表现为经期腹痛及不孕,多数有经期持续性盆腔或腰骶部疼痛。囊肿破裂时可引起急腹症。

【超声影像学表现】

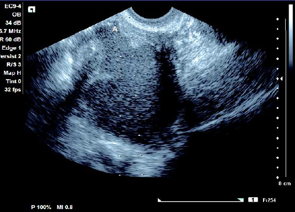
1.单纯囊肿型

(1)单侧或双侧卵巢内呈现椭圆形或圆形无回声暗区,其内充满弱回声光点,囊肿直径一般为5~6 cm,大于10 cm 的较少见。

(2)壁较厚,囊内充满细小均匀点状回声,后方回声增强。

(3)常与周围组织有粘连,边界清晰。

(4)CDFI 探测:囊壁及囊腔内无血流信号。

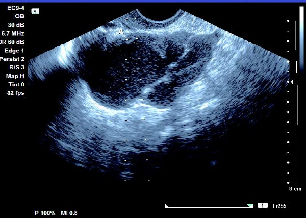
卵巢巧克力囊肿的分型不正确的,怎么辨别是不是卵巢巧克力囊肿 2.多囊型:呈现多个圆形或不规则无回声区,无回声区中有散在细小光点,其内有单个或多个光带回声,囊壁增厚,内壁欠光滑。CDFI 检测:囊壁和分隔可见条状血流信号。

卵巢巧克力囊肿的分型不正确的,怎么辨别是不是卵巢巧克力囊肿 3.囊内团块型:呈无回声区,囊内有散在细小光点及单个或多个高回声光团,形态规则。CDFI 检测:囊壁可见条状血流信号,高回声光团无血流信号。

卵巢巧克力囊肿的分型不正确的,怎么辨别是不是卵巢巧克力囊肿 4.混合型 肿块为囊实相间的杂乱回声,囊腔内充满细小强回声光点、光班、光团或光带分隔,后壁界线较模糊。CDFI 检测:囊壁或光带有条状血流信号。

卵巢巧克力囊肿的分型不正确的,怎么辨别是不是卵巢巧克力囊肿 【鉴别诊断】

1.卵巢恶性肿瘤:超声呈边界模糊、回声杂乱包块,但无痛经,有乳头样突起,囊间隔厚薄不一。可有腹水、恶液质表现。

2.异位妊娠:陈旧性宫外孕的主要特点是附件区回声不均、边界模糊不清的混合包块。结合病史,即停经、不规则阴道出血,伴血HCG升高,可鉴别。

3.炎性包块:表现为盆腔粘连性包块,体征及回声与巧克力囊肿相似,可结合行经期肿块不增大、无痛经病史及白细胞计数增高予以区别。

【检查技巧】

1.腹超声检查时需要中等度膀胱充盈,有利于清晰显示囊肿大小、囊壁厚度、囊内回声。

2.经腹超声扫查时注意探头移动手法,从同侧正面探测卵巢不易显示,往往从对侧探测,探头由下往上移动至髂窝处常能清晰显示卵巢。

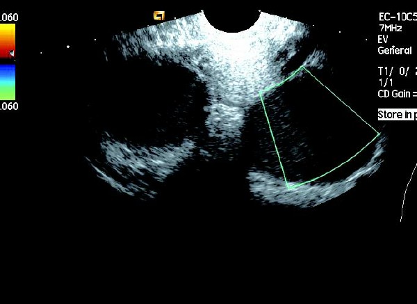
【经典病例】

患者,女,35岁。每次月经量少,痛经,近来行经期延长、疼痛加重来院诊治。超声报告显示子宫前倾位,子宫体大小为:5.9cm×5.1cm×4.8cm,形态规则,边界清晰,宫避回声匀称,宫腔线居中,内膜厚度0.6cm,宫内未见异常回声。右侧卵巢内可见大小约5.2 cm×4.9cm的无回声区暗区,壁厚,内壁欠光滑,内见密集细光点,边界清晰。CDFI探测囊壁及囊腔内无血流信号。

超声提示:右侧卵巢巧克力囊肿

更多专业知识!请关注微信公众号 超声掌中宝