小葉子 葉子口腔科普
“我们家宝宝即使天天刷牙,但还是有黄黄的牙菌斑怎么办?”
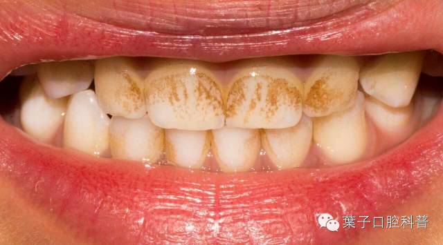
“我家宝宝也是,不仅是黄色的牙菌斑,还会这样黑漆漆的,很难看,怎么办?”

刷牙,作为日常清洁牙齿的常规手段,虽说能清除牙菌斑,但是,是否能完全清除牙菌斑呢,这个就不一定了。因为,这需要考虑到:刷牙的方法、刷牙的时间、牙刷、孩子是否配合等问题。
因此,我们不能单靠刷牙一个方法进行牙菌斑的清除,定期的洁牙也非常重要。

孩子也需要洁牙吗?
需要!但一般孩子的洁牙方式与成年人不一样。

手工洁治工具
如果孩子每3-6个月洁牙一次,牙石不多的话,手工洁牙是首选。
而对于要不要使用超声波洗牙,就需要看孩子牙齿的具体情况,医生再来做决定。

超声波洁治工具

孩子为什么要洁牙?
即使孩子每天都有刷牙,但是牙齿上难免还是会积聚色素、沉积的牙垢、甚至是牙结石。尤其是家长刷牙操作不正确、孩子不合作刷牙时,牙齿上积聚的“脏东西”就更多。

by @济南牙医正好妈
要彻底把“脏东西”清除干净,就需要牙医出手了。

@济南牙医正好妈

孩子能配合洁牙吗?
当孩子尝试过洗牙后,配合医生和家长的正确引导,一般都会愿意接受洁牙,因为他们知道洗牙不疼,洁牙很享受,洁牙后牙齿会漂亮。


孩子是怎么洁牙的?
给孩子洁牙的基本流程是:
(1)用手工洁牙工具,清除牙齿上的牙垢、牙结石


(2)当医生给牙齿的“脏东西”清洗干净后,就会用橡皮轮杯加磨砂膏进行牙面抛光。

家长不用担心在这过程中孩子的口水往哪里吐,因为旁边都会有助手用工具帮助孩子吸去多余的口水。

洁牙不是成人的专利,孩子也值得拥有。
猜你喜欢:
洗牙很疼?洗牙伤牙?孩子不能洗牙?你对洗牙的误解都在这里解开
图片 | www.google.com
参考资料 | 《儿童洗牙》(葉子张野)
编审&排版 | 牙医麻麻Debbie
分享 让更多的孩子有一口小白牙
投稿、合作、加入:yzkqkp@qq.com