
前言
2020年3月11日, WHO正式宣布新型冠状病毒进入全球大流行状态。此时也正是已知病毒流行季节,甄别导致病毒性肺炎的病原学至关重要。本文报道1例确诊社区获得性腺病毒肺炎继发链球菌感染,ARDS,通过小剂量激素和奥司他韦、目标抗菌治疗后明显好转的病例。
病例摘要
患者男性,62岁,以「一过性意识不清,呼吸困难2小时」为主诉于2020年3月14日22.45抬入我院急诊室。患者下班晚饭后休息家人发现意识不清,经120急救送人我院急诊,经积极抢救4小时后患者清醒。
立即查脑部CT显示:脑内腔隙性梗塞及缺血性改变。右侧顶部硬膜下积液,蛛网膜囊肿。
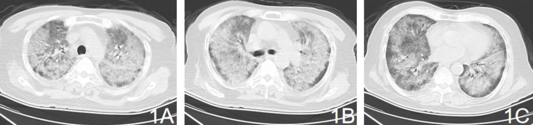
胸部CT:双肺弥漫性磨玻璃影及新旧不一的实变影,可见支气管气相【图1ABC】。

【图1】2020.3.14双肺弥漫性磨玻璃影及新旧不一的实变影
血常规:白细胞7.1x10^9/l,中性粒细胞82.6%,淋巴细胞绝对值0.79*10^9/l。C反应蛋白>200mg/L。肌钙蛋白T<40ng/L,血糖8.30mmol/L,血钾3.10 mmol/L。血气分析示:pH 7.51,PO2 18mmHg,PCO2 28mmHg,PaO2/FiO2 72mmHg。
启动院内新冠肺炎(COVID-19)救治专家组会诊,排除COVID-19疑似病例,收入RICU。
既往史:高血压病病史20年,血压控制可。从事打磨工作,接触大量粉尘2年。否认国家卫健委发布新冠肺炎诊疗方案(第七版)流行病学史。
入院检查:T:39.2℃,P:120次/分,R:30次/分,BP:156/65mmHg。神志清楚,查体合作,急性面容,呼吸急促,皮肤粘膜无破溃,浅表淋巴结无肿大,鼻部见单纯疱疹,口唇发绀,咽部充血,扁桃体无肿大,颈静脉无怒张,双肺底可闻及细小水泡音类Velcro啰音,心界不大,心律齐,未闻及杂音。腹部(-),双下肢无水肿。
入院初步诊断:
社区获得性肺炎(重症);病毒性肺炎可能性大;I型呼吸衰竭;高血压2级;腔隙性脑梗塞伴右侧顶部硬膜下积液。
入院后予高流量吸氧(50L/min,吸氧浓度50%),维持氧饱和度大于90%。2小时后复查血气分析:pH 7.49,PO2 49mmHg,PCO2 31mmHg,PaO2/FiO2 98mmHg,与入院时的血气分析对比血氧没有纠正。同时药物治疗给与抗病毒药物奥司他韦75mg Bid 口服,莫西沙星0.4 g静脉 qd,甲强龙40mg bid 。
入院次日实验室检查结果汇报:血常规:WBC:8.7*10^9/L,NE%:86.6%,LY%:8.8%, PLT:231*10^9/L。CRP:215.85 mg/L。PCT:0.16 ng/ml。血沉:130mm/h。呼吸道病毒谱(2020年3月16日):腺病毒IgM:阳性,抗呼吸道合包病毒抗体IgM:阴性,抗甲型流感病毒抗体IgM:阴性,抗副流感病毒抗体IgM:阴性,抗埃可病毒抗体IgM:阴性,抗腮腺病毒抗体IgM:阴性。肝功:TBIL:6.6umol/l,DBIL:4.7 umol/l,IBIL:1.91 umol/l,GGT:81U/L,ALP:95U/L,TP:52.2g/L,ALB:25.6g/L,GLB:26.6g/L,ALT:33U.L,AST:47U/L。心酶:CK:32 U/L,CK-MB:14 U/L,LDH:717:U/L,HBDH:529 U/L。肾功、离子均正常。支原体、衣原体(IgG、IgM):均阴性。N端脑钠肽前体:569pg/ml。抗核抗体谱:阴性。ANCA均阴性,类风湿三项均阴性。HIV:阴性。T淋巴细胞亚群:CD3+CD4+A :293个/u1(410--1590)其他正常。血气分析:PH:7.52,PaCO2:31mmHg,PaO2:68mmHg,HCO3-25.3mmol/L。
结合上述检查,修正诊断:
社区获得性腺病毒肺炎继发细菌感染可能性大(重症);ARDS;高血压2级;腔隙性脑梗塞伴右侧顶部硬膜下积液。
继续原治疗,3天后甲强龙40mg 由bid变为qd,3月18日复查肺CT肺部影像有吸收【图2】,呼吸困难缓解,动脉血氧恢复正常。血气分析:pH7.49 ,PO2 86mmHg,PCO2 35mmHg。停用甲强龙(共用6天),其他治疗不变,奥司他韦用药第7天停用。于3月23日复查肺CT,较入院时肺CT影像明显吸收【图3ABC】。

【图2】2020.3.18肺部CT吸收,距图1间隔4天;

【图3】2020.3.23肺部CT较入院时缓解明显,距离图1间隔9天
但于治疗第10天,体温再度上升为38.5℃,血氧饱和度均在95%以上。复查相关的实验室检查:WBC:12.9*10^9/L较入院后升高,CRP:86.22mg/L较前下降,PCT:<0.05ng/ml。无明显变化、肝功略升高较强变化不大:GGT:93U/L,ALP:91U/L,TP:57.29g/L,ALB:29.4g/L,GLB:28.5g/L,ALT:78U/L,AST:47U/L。
考虑存在院内获得性感染的可能性,更换以抗革兰氏阴性杆菌为菌谱的抗菌素:头孢哌酮舒巴坦3.0g Q8h静点。为进一步明确病原菌行支气管肺泡灌洗术,支气管镜下见慢性炎性改变,气管正常,隆突锐利。双侧主支气管及各叶、段支气管黏膜均略充血、水肿,管腔通畅无狭窄,未见新生物【图4】。于右下叶基底支行灌洗,留痰,行抗酸杆菌相关培养、普通菌培养及药敏、真菌培养及药敏、NGS等检查。

【图4】支气管镜下改变
头孢哌酮舒巴坦治3天后,患者的体温仍波动在38-39℃,此时NGS【图5】结果回报(2020年3月27日):肺炎链球菌,未见病毒。再次检测血呼吸道病毒谱(2020年3月30日):腺病毒IgM:阳性,抗呼吸道合包病毒抗体IgM:阴性,抗甲型流感病毒抗体IgM:阴性,抗副流感病毒抗体IgM:阴性,抗埃可病毒抗体IgM:阴性,抗腮腺病毒抗体IgM:阴性。(入院两次呼吸道病毒抗体检测均为腺病毒IgM:阳性,相隔14天)。立即更换抗菌素为厄他培南1.0 qd 静滴5天后,患者体温恢复正常,于静滴7天后出院。

【图5】NGS检验结果
出院诊断:
社区获得性腺病毒肺炎继发肺炎链球菌感染;ARDS;高血压2级;腔隙性脑梗塞伴右侧顶部硬膜下积液
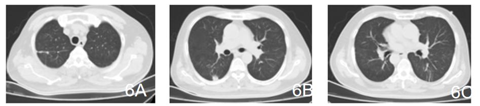
出院随访:

【图6】5月7日CT
讨论
2020年3月11日, WHO正式宣布新型冠状病毒进入全球大流行状态。此时也正是已知病毒流行季节,如何在已知和未知病毒疫情下,避免头重脚轻,因重视「新欢」,而忽略「旧爱」的厚此薄彼的现象,降低次生疾病的死亡率,甄别病毒性肺炎的病原学至关重要。
此患者发病时并没有主诉发热而是以意识不清、呼吸困难起病,极易造成误诊。但发病时肺部影像出现双肺弥漫分布的磨玻璃影,氧合指数小于100 mmHg,符合由肺源性引发的急性呼吸窘迫综合征(ARDS),其死亡率高达45% [4]。寻找肺炎的病因是本例患者关键所在。除外大量粉尘接触史所致此次发病,是新冠病毒还是流行季节如流感病毒或常见病毒?
经血抗体检测明确为腺病毒,两次腺病毒IgM阳性,符合腺病毒肺炎的诊断 [5]。Clark等人对21例社区获得性腺病毒肺炎患者的总结表明 [6],腺病毒肺炎通常表现为发热(90%)、咳嗽(80%)和气短(70%),可在数小数至数天内即发展为呼吸衰竭,高达67%的患者需要机械通气支持。死亡率高达24%。实验室检查通常发现白细胞减少、淋巴细胞减少、血小板减少和转氨酶升高。腺病毒肺炎在胸部CT上通常表现广泛间质病变、磨玻璃影、实变影或胸腔积液。部分患者在影像上可表现为肺叶实变,因此很难与细菌性肺炎相鉴别 [7,8]。
抗病毒治疗在腺病毒感染中的作用尚未得到确切证实。目前可试用于治疗腺病毒肺炎的药物包括更昔洛韦、西多福韦以及利巴韦林 [9-11]。本例患者虽未使用针对腺病毒的抗病毒药物,但病情亦得到控制,提示腺病毒感染本身具有一定自限性。对于中重度ARDS,目前指南推荐早期静脉给予1-2mg/kg/天的甲泼尼龙,并在6-14天内逐渐减停 [12]。此例患者在给予足量激素治疗后肺部弥漫病变明显吸收,LDH恢复正常,亦提示激素治疗有效。
病毒感染可改变呼吸道内细菌定植形式,增加细菌粘附于呼吸道上皮的能力,并降低粘膜纤毛清除及吞噬的能力,从而导致继发细菌感染。另外,近些年研究表明,继发细菌感染可能还与病毒感染后呼吸道和胃肠道微生物群的生态失调相关 [13]。此例患者存在的严重腺病毒肺炎可继发细菌感染,而激素的使用亦可增加细菌感染的风险,根据二代测序结果考虑为肺炎链球菌感染,经厄他培南治疗痊愈出院。莫西沙星一般可覆盖肺炎链球菌,但此患者却疗效不佳,因此考虑存在耐药可能。此外,目前二代测序技术正处于快速临床转化阶段,其可靠性尚待进一步证实 [14],不排除此患者还存在其他继发细菌感染。
总之,本病例在新冠肺炎疫情下,确诊社区获得性腺病毒肺炎继发肺炎链球感染,ARDS。通过小剂量激素和奥司他韦、目标抗菌治疗后明显好转。对于社区获得性腺病毒肺炎引发ARDS,应及早给予激素和支持治疗,奥司他韦对腺病毒疗效不明。需警惕腺病毒继发肺炎链球菌的感染可能。
* 基金支持:沈阳市科技局防治新冠肺炎科研攻关应急专项(YJ2020-9-019),项目负责人:夏书月
参考文献:
[1]《新型冠状病毒肺炎诊疗方案(试行第七版)》国家卫生健康委员会 [J]. 实用中医内科杂志. 2020;34(03):3
[2] Huang C, Wang Y, Li X, et al. Clinical features of patients infected with 2019 novel coronavirus in Wuhan, China[J]. Lancet. 2020;395(10223):497-506.DOI:10.1016/s0140-6736(20)30183-5
[3] Zhou F, Yu T, Du R, et al. Clinical course and risk factors for mortality of adult inpatients with COVID-19 in Wuhan, China: a retrospective cohort study[J]. Lancet. 2020;395(10229):1054-1062.DOI:10.1016/s0140-6736(20)30566-3
[4] Ranieri VM, Rubenfeld GD, Thompson BT, et al. Acute respiratory distress syndrome: the Berlin Definition[J]. Jama. 2012;307(23):2526-2533.DOI:10.1001/jama.2012.5669
[5] 全军传染病专业委员会、新突发传染病中西医临床救治课题组. 腺病毒感染诊疗指南[J]. 解放军医学杂志. 2013;38(7):529-534
[6] Clark TW, Fleet DH, Wiselka MJ. Severe community-acquired adenovirus pneumonia in an immunocompetent 44-year-old woman: a case report and review of the literature[J]. J Med Case Rep. 2011;5:259.DOI:10.1186/1752-1947-5-259
[7] Chong S, Lee KS, Kim TS, Chung MJ, Chung MP, Han J. Adenovirus pneumonia in adults: radiographic and high-resolution CT findings in five patients[J]. AJR Am J Roentgenol. 2006;186(5):1288-1293.DOI:10.2214/AJR.05.0128
[8] Tan D, Fu Y, Xu J, et al. Severe adenovirus community-acquired pneumonia in immunocompetent adults: chest radiographic and CT findings[J]. J Thorac Dis. 2016;8(5):848-854.DOI:10.21037/jtd.2016.03.38
[9] Ljungman P, Ribaud P, Eyrich M, et al. Cidofovir for adenovirus infections after allogeneic hematopoietic stem cell transplantation: a survey by the Infectious Diseases Working Party of the European Group for Blood and Marrow Transplantation[J]. Bone Marrow Transplant. 2003;31(6):481-486.DOI:10.1038/sj.bmt.1703798
[10] Leruez-Ville M, Minard V, Lacaille F, et al. Real-time blood plasma polymerase chain reaction for management of disseminated adenovirus infection[J]. Clin Infect Dis. 2004;38(1):45-52.DOI:10.1086/380450
[11] Cassano WF. Intravenous ribavirin therapy for adenovirus cystitis after allogeneic bone marrow transplantation[J]. Bone Marrow Transplant. 1991;7(3):247-248
[12] Annane D, Pastores SM, Rochwerg B, et al. Guidelines for the Diagnosis and Management of Critical Illness-Related Corticosteroid Insufficiency (CIRCI) in Critically Ill Patients (Part I): Society of Critical Care Medicine (SCCM) and European Society of Intensive Care Medicine (ESICM) 2017[J]. Crit Care Med. 2017;45(12):2078-2088.DOI:10.1097/CCM.0000000000002737
[13] Hanada S, Pirzadeh M, Carver KY, Deng JC. Respiratory Viral Infection-Induced Microbiome Alterations and Secondary Bacterial Pneumonia[J]. Front Immunol. 2018;9:2640.DOI:10.3389/fimmu.2018.02640
[14] Matthijs G, Souche E, Alders M, et al. Guidelines for diagnostic next-generation sequencing[J]. European journal of human genetics : EJHG. 2016;24(1):2-5.DOI:10.1038/ejhg.2015.226
作者介绍

夏书月
沈阳医学院附属中心医院 副院长 呼吸与危重症学科主任,学科带头人,二级教授,医学博士,博士生导师,中华医学会呼吸分会肺血管组 委员,辽宁省医学信息与健康工程学会 副理事,辽宁省医学会呼吸分会 常委,辽宁省医学会呼吸分会危重症学组组长,辽宁省预防医学会微生态学专业委员会 常务,辽宁省抗癌协会肺癌专业委员会 常委。

李响
沈阳医学院附属中心医院呼吸与危重症学科,主治医师,中国医科大学博士在读。辽宁省免疫学会青年委员会委员,沈阳市最佳青年医生。沈阳医学院教学标兵。沈阳医学院教学督导,第一作者主持沈阳市卫计委课题一项,沈阳医学院课题一项。
本文完
编辑:Jerry