
每次去牙医门诊,医生都会说:“你的牙齿有牙石!”那么什么是牙石?除了牙医洗牙之外,有没有什么简单的方法,在家就能帮我们预防和去除牙石的方法呢?
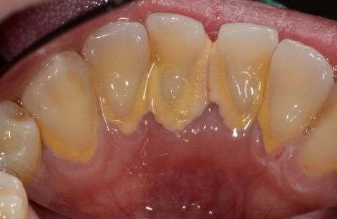
牙石是什么?
牙石是一种附着在牙齿表面的黄色钙化物。我们的口腔并不是无菌状态,口腔里有无数细菌,我们每天吃的食物如果没有及时清洁,食物残渣在口腔缝隙里超过五分钟,就会形成牙菌斑。牙菌斑粘附在牙齿表面不容易被冲走,再得不到及时的清洁,牙菌斑和食物残渣就会在唾液的浸泡下“钙化”,形成牙结石。所以我们应该在饭后12h内用牙线或牙刷清除牙菌斑。牙结石一旦形成,并越积越厚,普通刷牙就很难去除了。

牙石有什么危害?
牙结石就像我们口腔里的一个小型垃圾场,如果不及时清理,就会损伤牙釉质,造成牙龈出血,引起牙周疾病和口臭等。牙结石得不到及时的清除,还会造成骨骼退化甚至是心脏病。
经历过洗牙的人都知道,这是非常痛苦的。想要避免这个痛苦,我们就需要从日常的预防做起。
这里有几个方法,能够帮助预防和去除牙结石。
1. 正确刷牙
每餐后都认真刷牙是防止牙结石形成的最有效的方法。用软毛的牙刷,将刷毛毛尖与牙齿牙龈面成45°,轻度加压,让刷毛顶端部分进入龈沟,然后作前后向颤动6-8次,彻底清洁每一颗牙齿。

2. 使用含氟牙膏
含氟牙膏有助于增加牙齿中的氟浓度,起到坚固牙齿,防止蛀牙的作用。氟化物能够使牙釉质更强壮,增强牙齿对酸性食物和饮料腐蚀的耐受程度。使用含氟牙膏有助于防止牙垢的形成。
3. 使用有减少牙垢形成功效的牙膏
使用有减少牙垢形成功效的牙膏对牙菌斑和牙石去除很有帮助。这种牙膏中含有一些化学成分,如焦磷酸盐、柠檬酸锌、氟等,能够防止牙垢的形成。
4. 用小苏打刷牙
把一大汤匙苏打和一小撮盐混合在一起,稍微弄湿牙刷和蘸入苏打混合物来清洁牙齿,然后冲洗干净,有助于牙垢去除并美白牙齿。
5. 用芦荟胶和甘油擦洗
一杯水,加入半杯小苏打,一小匙芦荟汁,十滴柠檬精油和四茶匙植物甘油。将液体混合并储存在适当的容器中,每天用这个混合物擦洗你的牙齿来去除牙垢。
6. 使用橘子皮
去除牙石还有一个好方法,那就是用橘子皮直接到擦拭牙齿,不要冲洗。橘子皮也可以直接黏贴在牙齿上,有助于抑制口腔微生物,是一种廉价的天然的美白牙齿、去除牙垢的方法。

7. 吃水果和蔬菜
苹果、甜瓜、胡萝卜、芹菜都是去除牙结石,保护牙齿的好食物。可以在饭后一小时咀嚼这些水果或蔬菜来清洁牙齿。这不仅能够帮助去除牙齿直接的食物残渣,还能起到增强牙龈的功效。
8. 嚼芝麻
嚼芝麻也是清除牙齿牙垢的好方法。慢慢嚼一把芝麻,不要吞下去。然后一边嚼着芝麻,一边用干牙刷刷牙,能够起到清洁、抛光牙齿的作用,帮助去除牙垢。
9. 吃无花果
吃无花果是另一种清洁牙齿和加强牙龈的方法。一次吃3到4个无花果,慢慢咀嚼。
10. 使用电动牙刷
电动牙刷对牙结石的去除效果要好于普通的牙刷,还能保持保持牙齿干净和洁白。
11. 经常使用牙线
有的时候用牙刷很难清洁到牙齿之间的牙菌斑和食物残渣,使用牙线就是一个好方法。使用牙线对保持良好的口腔卫生,防止蛀牙和牙龈疾病。

本文指导专家:沈宁,沈式女科第20代传人,著名中医学家沈绍功教授嫡传弟子,BTV《养生堂》栏目重要嘉宾,著有代表作品《沈式女科600年:女人会养不会老》,一书说透健康养生的奥妙。

HAPPY营养与健康
壹号专家(微信ID:yihaojiankang)旗下大众营养与健康频道