我的门诊病历:髋关节疼痛,小腿肚发胀,抽筋,折腾了5年,没效果,骨密度正常,弥漫性特发性骨肥厚症,能用阿仑膦酸钠治疗吗?
患者为我们科一个护士的叔叔,59岁,男性。
2021年6月23日,发病过程自述 (第一次找我看病后,我让患者写的):
2016年, 突发左右髋关节疼痛, 小腿肚发胀, 抽筋等, 行动不便。治疗: 针灸, 拔罐, 服用: 万通筋骨片, 止痛膏药贴, 止痛药。
2017年, 左髋关节至膝关节疼痛, 能行动。服用: 万通筋骨片, 万通筋骨贴, 止痛药。
2018年, 左髋关节至膝关节疼痛, 能行动。服用万通筋骨片, 舒筋活血片。
2019年, 腰椎疼痛, 左髋关节至膝关节疼痛, 行动不便, 在山西检查为腰椎间盘突出,开裂, 定位治疗。服用万通筋骨片, 治疗骨质增生的药, 追风舒筋活血止痛片,止痛膏药等。
2020年, 左髋关节至膝关节疼痛, 麻木 ,能行动, 间歇性的痉挛, 小腿肚胀疼。检查说腰间盘突出压迫神经。服用:万通筋骨片, 活血通络片, 外用止痛药, 膏药贴。
2021年, 左髋关节至膝关节疼痛, 麻木, 小腿肚胀疼, 抽筋,行动受阻。检查:骨质增生。治疗: 针灸, 按摩, 拔罐。用药: 止痛药, 祛风止痛胶囊, 仙灵骨葆胶囊, 塞来昔布胶囊, 中药。
折腾了5年,没效果,而且症状有加重趋势。
2021年6月22日,通过我们科护士找我看病,我诊断为弥漫性特发性骨肥厚症(DISH), 虽然骨密度正常,但我还是建议服用阿仑膦酸钠和依托考昔片,3个月后病人自诉疼痛缓解了三分之二,之后原本计划门诊复查,咨询是否接着口服阿仑磷酸钠还是用地舒单抗或者使用唑来膦酸,但一直没来复查就诊。
2022年3月2日,患者终于来复查就诊。就诊时,患者症状明显缓解,症状基本消失,现在行走已无限制,生活恢复正常,可满足正常生活家务劳动。
然后建议其将口服阿仑膦酸钠改为静脉输液用的唑来膦酸注射液5mg x 100ml,每年一次,以增加患者的依从性和规范用药。

图1. 20210621西京医院腰椎正侧位X线片

图2. 20210621西京医院骨盆平片

图3. 20210621西京医院腰椎MRI01

图4. 20210621西京医院腰椎MRI02

图5. 20210621西京医院腰椎MRI03

图6. 20210621西京医院腰椎MRI04

图7. 20210621西京医院腰椎MRI05

图8. 20210621西京医院腰椎MRI报告

图9. 20210622骨密度

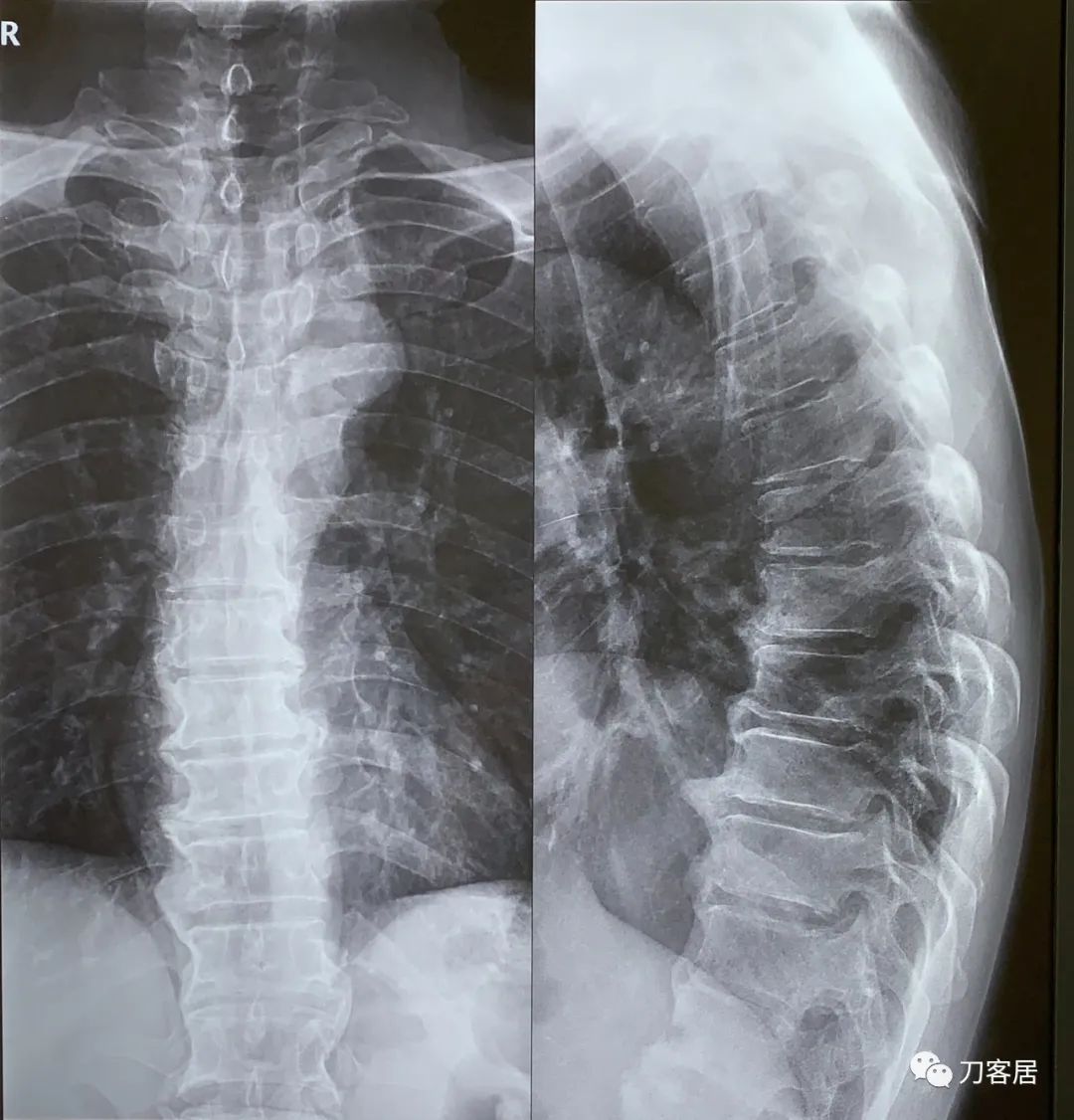
图10. 20210622西京医院胸椎正侧位X线片

图11. 20220622西京医院双膝关节正侧位X线片

图12. 20220622西京医院双膝关节正侧位X线片报告

图13. 20210623患者记录的疾病诊疗过程

图14. 20220302我的门诊病历