是不是很多人听到“洗牙”就会面露难色直摇头,也有很多人则是一脸茫然,洗牙是什么?
活这么多年你有洗过牙么?你体会过洗牙的酸爽么?为什么很多人害怕洗牙,拒绝洗牙呢,今天给大家讲讲洗牙的小知识。
Q
什么是洗牙?
A:
洗牙,也叫洁牙,专业术语上称为 龈上洁治术 ,是指用洁治器械去除牙齿表面的牙结石、菌斑和色素,并通过抛光技术,使牙面(根面)更加光洁,以延迟菌斑和牙结石的再沉积。 牙菌斑和牙结石是牙周病最主要的局部刺激因素,洁治术是去除龈上菌斑和牙石最有效的方法,消除局部刺激,使牙龈炎症完全消退或明显减轻。 临床上最常用的是 超声波震荡洁治 的方法。


Q
每天坚持早晚刷牙,为什么还有牙结石?
A:
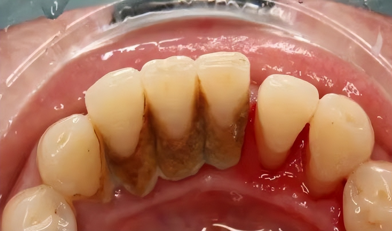
就像我们的烧水壶,长时间不彻底清洁,总会日积月累的形成顽固的水垢。还有由于抽烟、喝茶、喝咖啡等习惯,牙齿上还会堆积一些色素沉着,长时间没有清除,可能引起牙龈炎、牙周炎等牙周疾病,出现牙龈出血、牙龈肿痛、咀嚼酸软不适、口臭等症状,最终引起牙齿松动,甚至造成牙齿脱落。


牙结石
这些会让你的牙齿看起来脏脏的,口腔有异味,并且会让牙龈生病!
洁牙前后对比


可是许多人对洗牙有很大的误解,觉得洗牙对牙齿有损害,拒绝洁牙,害怕洁牙,今天牙医就要为洁牙摆脱冤屈,不再背锅!
以下是我们医生在临床上遇到最多关于洁牙的问题,现在来一一详细解答!
洗牙到底痛不痛?
对于大部分正常健康的牙齿来说,规范正确的洁治一般是不会有明显的疼痛不适,只是个别牙位有可能出现轻微的酸痛敏感,但如果是牙龈炎或牙周炎比较重的患者可能会疼痛不适以及出血的症状会更加明显,不过也可以耐受。

洗牙会让牙缝变大吗?
不会!!! 让牙缝变大的其实是牙结石,它会不知不觉的附着在你的牙齿上,尤其是牙龈沟和牙缝中,久而久之使牙龈退缩,牙齿之间的缝隙变大,而当我们 去除掉牙结石之后,缝隙暴露出来,让你有了牙缝变大的错觉 。在洁牙后的一段时间内,牙龈炎症得到改善,牙龈会慢慢恢复,牙缝也会相对变小。

洗牙后牙齿会变松吗?
让牙齿松动的元凶是牙结石和牙菌斑。他们会导致牙周炎,使牙槽骨吸收,牙根逐渐暴露,所以会让牙齿变得松动,洁牙反而是在消除这些有害的因素保护你的牙齿!

洗牙可以让牙齿变白吗?
对于抽烟、喝茶、喝咖啡等长期积累的色素性沉着,洁牙是可以看到明显变白的效果,但是牙齿本身发黄发灰的状态是不能通过洁牙改变的。
什么时候需要洁牙?隔多久洗一次?
当发现你有牙结石、经常出现牙龈出血,口腔有异味时,就要及时来洁牙啦。 洁牙并不是一劳永逸,建议每年1~2次定期洁牙。


对于患有 急性炎症感染、化脓、重度系统性疾病 (如未有效控制的心血管疾病、糖尿病、血液性疾病等)的患者需在全身状况稳定后洁牙;对于有 肝炎、肺结核、艾滋病等传染性疾病者 也不宜使用超声洁牙,以免血液和病原菌随喷雾污染诊室环境; 装有心脏起搏器的患者 禁用超声洁牙机。所以大家一定要提前告知医生病史,切勿隐瞒哦。
快来洁牙!!!
我们的牙齿坚硬无比,但是也是我们使用最频繁最长久的器官之一,想要保证牙齿健康,除了看医生遵医嘱,自身的日常维护和清洁是非常重要的,我们希望大家都能提高口腔保健的意识和引起对这方面的重视,更希望看到每一位患者带着满意的笑容离开!
本文来源:武汉大学口腔医学中心
部分图片来源于网络