
近日,麻省总医院(MGH)的研究人员通过一台超级7T核磁共振扫描仪(MRI),对一名死于病毒性肺炎的58岁女性大脑进行近5天的扫描,获得了迄今为止最为详细的完整人类大脑三维图像。
视频 | 这段视频以极高的分辨率展现了完整人脑的皮层褶皱和内部结构(来源:B.L. EDLOW ET AL/BIORXIV.ORG 2019)
研究人员对完整静止大脑标本进行 100 多个小时 7T(特斯拉,磁感应强度单位)强度的核磁共振扫描,才获得了这些高分辨率图像,展现了包括杏仁核在内的大脑结构的生动细节,为科学家们更深入地理解与创伤后应激障碍等疾病相关的解剖学细微变化提供了帮助。
研究人员表示,这些数据集提供了一个前所未有的三维人类大脑神经解剖学视图。为了优化该资源的效用,研究人员将数据集转换为标准立体定位空间,并将完整大脑图像的相关视频以及底层数据集公开发布,以促进更多研究人员对人类大脑解剖在健康和疾病方面的理解,以及在教育和临床中的应用。相关成果于 5 月 31 日在 bioRxiv.org 上以预印本的形式发表。
“我们从未见过如此完整的大脑,这绝对是史无前例的。”没有参与此项研究的西奈山伊坎医学院电气工程师 Priti Balchandani 评价道。
超级核磁共振扫描仪

以人体检查为例,先来了解一下核磁共振成像的原理。
将人体置于特殊的磁场中,用无线电射频脉冲激发人体内氢原子核,引起氢原子核共振,并吸收能量。在停止射频脉冲后,氢原子核按特定频率发出射电信号,并将吸收的能量释放出来。体外的接收器可以监测这些能量,经计算机处理获得图像,就形成了核磁共振。
核磁共振成像所获得的图像非常清晰精细,同时,核磁共振也不需要注射造影剂,对人体无电离辐射。除此之外,核磁共振还可以直接作出横断面、矢状面、冠状面和各种斜面的体层图像。
核磁共振扫描仪的磁场强度越大,获得的图像分辨率越高,但被观察组织的温度也会升高。上世纪 70 年代中期,第一台应用于人体的核磁共振扫描仪问世,当时许多科学家认为 0.5T 将是核磁共振的最大磁场强度( 相比之下,地球的磁场只有0.00005T),因为他们认为活体组织的离子导电性将阻止无线电波穿透人体。
不过,到了上世纪 80 年代,就出现了临床应用的 1.5T 核磁共振扫描仪,如今,大部分医院使用核磁共振扫描仪磁场强度为 1.5T 或 3T 。
1999 年,第一台场强高达 7T 的用于科研的核磁共振扫描仪问世,之后又有很多高强度 MRI 陆续在全球几十家大学和研究机构装机,目前,世界上最强的磁共振仪是美国国家强磁场试验室里的 21.1T 核磁共振设备,不过,这个最强设备内部空间直径只有 10.5 厘米,因此无法用于人体研究。

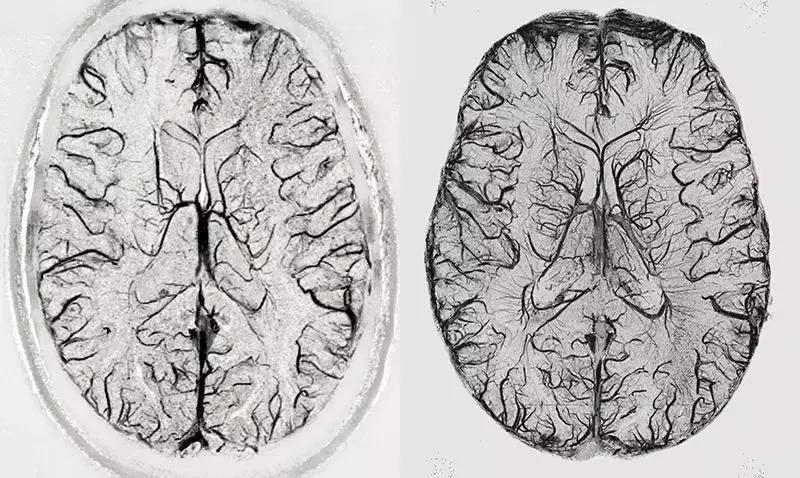
图 | 使用3T(左)和9.4T(右)核磁共振扫描仪的大脑成像对比(来源:Rolf Pohmann/Max-Planck-Institute for Biological Cybernetics)
7T 及更强的核磁共振扫描仪在进行脑成像时,分辨率可达到 0.5 毫米以下,这足以分辨人体大脑皮质区里的功能单位,甚至可以让我们有机会了解活体大脑神经元细胞之间的信息流动情况,为非侵入的精准医学奠定了基础。关于磁共振成像的发现也于 2003 年获得诺贝尔生理学或医学奖。
不过,这些超级设备,每一台都价值数千万美元甚至更高,建造和组装这么一台高场强的核磁共振设备也是一个巨大的挑战,之前几家机构光是准备使用这种核磁共振扫描仪做动物实验,就花费了数年时间。在一台超过 10T 的核磁共振扫描仪中进行人体扫描成像,相当于在一个四米长的管状机器中,周围被 110 吨的磁体和 600 吨的铁屏蔽层环绕。

图 | 一台 10.5T 核磁共振设备被运送到明尼苏达大学磁共振研究中心(来源:University of Minnesota)
2017 年,美国食品药品监督管理局(FDA)批准了首台应用于临床成像的7T核磁共振扫描仪,这也标志着 7T 核磁共振成像设备不再仅应用于科研目的,其巨大的临床应用潜力将改变神经退行性疾病如阿尔茨海默病、帕金森病等疾病的发病机理、早期诊断、治疗方案确定以及治疗效果评估上,并在神经、血管、肿瘤、骨关节等多个方面带来全新的突破性进展。
史上最详细大脑图像

想要使用 7T 及更强的核磁共振扫描仪诊断和研究大脑疾病,还面临着一些棘手的问题,包括活人无法忍受长时间的核磁共振扫描,以及活人大脑的不自觉活动。比如一个人动动脚趾头,大脑也会跟着动,甚至那些来自呼吸和血液的运动,也会造成大脑图像模糊。
为了获得一份完整且详细的大脑三维图像,波士顿麻省总医院及其它地方的研究人员,将目标锁定在一名死于病毒性肺炎的 58 岁女性大脑标本,其大脑重达 1210克(正常范围 1200 至 1500 克),死后 14 小时一直固定在 10% 的福尔马林中。

图 | 体外核磁共振成像的人脑标本,下方(a)、上方(b)、右侧(c)和左侧(d)角度(来源:B.L. EDLOW ET AL/BIORXIV.ORG 2019)
而且这个来自捐献的大脑样本被认为是健康的,因为该女性没有神经系统疾病病史,死于非神经病因。
在扫描开始之前,大脑标本已经在固定剂中保持了 35 个月,之后研究人员将大脑标本放入一个定制的球形聚氨酯盒子,以让大脑保持静止并让干扰的气泡逸出。
然后,牢固包裹的大脑进入一台7T超强核磁共振扫描仪中,进行了长达近 5 天的扫描成像,获得了体外完整人脑标本前所未有的 100 微米分辨率空间图像。

图 | 皮质下神经解剖学描述,脑干、内侧颞叶和小脑前部的放大图(来源:B.L. EDLOW ET AL/BIORXIV.ORG 2019)
研究人员使用不同的翻转角(FA15°、FA20°、FA25°、FA30°)来生成多个合成体,每个合成体提供了不同的组织对比度。扫描的执行时间超过 100 小时(每个翻转角约 25 小时),生成一个超过 8TB 的数据集(每个翻转角度约 2TB),然后通过专门的计算工具来进行离线 MRI 重建和合成体创建。
研究人员表示,在尸检标本中进一步推进这项技术“让我们知道了什么是可能的”。这些详细的大脑图像有助于增进研究人员对人类大脑解剖在健康和疾病方面的理解,帮助找出难以发现的大脑异常,包括昏迷和抑郁症等精神疾病。
-End-
参考:
https://www.biorxiv.org/content/10.1101/649822v1.full
https://www.nature.com/articles/d41586-018-07182-7
https://www.sciencenews.org/article/mri-scan-most-detailed-look-yet-whole-human-brain