新冠肺炎目前仍在全球范围内流行。近期,发表在《Stem Cell Research & Therapy》的一篇文章报道了一组病例研究结果[1], 证实了来自胎盘和脐带的大剂量间充质干细胞多次输注治疗新冠肺炎急性呼吸窘迫综合征危重患者的安全性、可行性和耐受性。

共有11名新冠肺炎所致急性呼吸窘迫综合征的患者被纳入这项研究。患者病情危重,有严重低氧血症,需要机械通气。患者每隔1天静脉输注200 × 10⋀6个人脐带间充质干细胞(UC-MSCs,6例)或胎盘间充质干细胞(PL-MSCs,5例)。
01临床症状显著改善
5名患者在输液后2至7天病情显著改善并出院,在出院后60天随访时情况良好,没有出现休息或劳累时呼吸困难、呼吸急促或发热。 大多数患者描述自己的呼吸困难明显缓解,在第一次细胞输注后48-96小时内呼吸频率下降,血氧饱和度上升。 此外,在静脉注射期间没有与急性输注相关的严重不良事件。

02血清细胞因子水平显著改善
输注间充质干细胞前后的血清学分析显示,6名存活者的促炎标志物包括白细胞介素-8(IL-8)、肿瘤坏死因子-α(TNF-α)和C反应蛋白(CRP)均显著降低。5例恢复期患者血清IL-6水平降低(P<0.05),4例恢复期患者干扰素-γ( IFN-ɣ)水平降低。4例患者IL-4、IL-10等抗炎细胞因子水平升高。

图片来自文献[1]
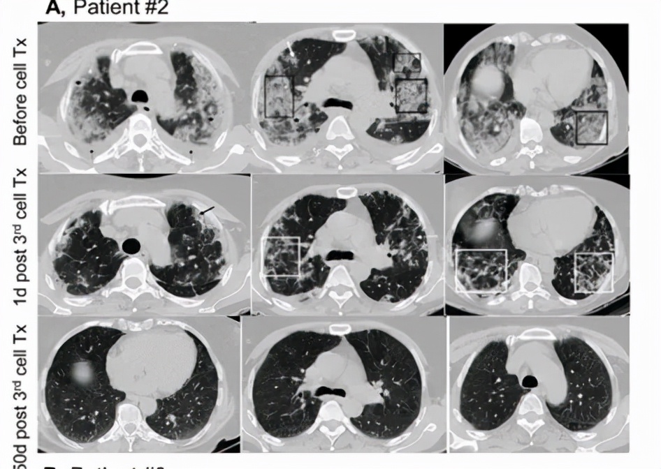
03影像学评估显著改善
输注间充质干细胞前进行了肺部CT扫描,所有病例均有明显的肺部受累,3例存活患者经治疗后行肺部CT检查,其中两名患者的肺部CT扫描显示, 在完成间充质干细胞治疗后,肺部阴影明显消退,胸膜下病灶完全消退。

图片来自文献[1]
围产组织间充质干细胞治疗新冠肺炎
急性呼吸窘迫综合征(ARDS)是新冠肺炎的致命并发症之一,是一种失控炎症过程中的破坏性肺损伤,可导致严重的肺泡损伤和毛细血管基底膜渗漏,从而导致进行性呼吸衰竭。到目前为止,还没有有效的ARDS治疗方法。基于上述病理生理机制,毛细血管内皮细胞和肺泡细胞的成功修复和再生以及过度炎症反应的调节,可能是治疗ARDS的关键步骤[1]。
间充质干细胞不仅可以分化为多种细胞以进行组织修复,还具有调节免疫和炎症抑制反应的能力,能降低损伤严重程度。 此外,由于其表面缺乏MHC II类的表达,它们具有低免疫原性,这有利于它们用于同种异体移植[2-3]。静脉注射间充质干细胞后可以使大多数细胞在几分钟内到达肺的毛细血管床[4]。 对于移植的间充质干细胞,静脉途径可以有效地将大量的间充质干细胞输送到肺部,而肺部是ARDS的主要受累器官,这也是其发挥功效的机制之一。
围产组织作为间充质干细胞的丰富且理想来源,自疫情爆发之后,采用围产组织来源间充质干细胞治疗新冠重症患者的成功案例逐渐被报道。

2020年,美国首例接受胎盘干细胞治疗的新冠肺炎患者摘掉呼吸机的案例广受关注。49岁的百老汇布景设计师爱德华.皮尔斯在新冠病毒感染后由于器官衰竭病情逐渐恶化,住院4天后就戴上了呼吸机。后来使用了美国FDA“同情使用”(compassionate use)计划中的试验性胎盘干细胞疗法进行治疗,成为了第一个接受胎盘干细胞的美国新冠病毒感染患者。根据外媒Daily Mail的报道,皮尔斯在治疗后10天内就拔掉了呼吸机,之后就可以依靠自主呼吸了。
围产组织间充质干细胞治疗其他疾病
胎盘和脐带来源的间充质干细胞与其他来源的比较,具有容易获得、无伦理争议、细胞分化潜力更强、组织中干细胞丰富以及高增殖能力等。
近年来,胎盘和脐带中的间充质干细胞被广泛应用到各种疾病的治疗研究中。在Pubmed网站上搜索围产组织间充质干细胞相关研究,可发现其研究热度逐年增加,这也表明了围产组织干细胞所展示出的巨大前景。(下图为围产组织间充质干细胞相关研究热度统计图)

在治疗肝硬化方面, 脐带间充质干细胞治疗慢乙肝肝功能失代偿期能改善患者临床症状、肝脏合成功能、降低Child - Pugh 评分,且具有良好的安全性[5]。
在治疗卵巢功能不全方面 ,胎盘间充质干细胞能促进卵巢血管形成和卵泡发育,为其在不孕症和更年期等妇产科疾病中的应用提供了理论基础[6]。

在创面愈合、自闭症、骨质疏松......疾病中,围产组织间充质干细胞均开展了大量的临床研究。
未来在更深入地了解围产组织间充质干细胞的特征、特性和功能以及开展更大规模的临床试验之后,相信围产组织间充质干细胞的临床价值将被得到更多的佐证,并帮助更多的疾病患者恢复健康。
参考文献:
[1] Hashemian SR, Aliannejad R, Hosseini SE, Keshel SH, Nouri M, Sorouri M, Kashani L, Madani H, Aghdami N . Mesenchymal stem cells derived from perinatal tissues for treatment of critically ill COVID-19-induced ARDS patients: a case series. Stem Cell Res Ther. 2021 Jan 29;12(1):91.
https://pubmed.ncbi.nlm.nih.gov/33514427/
[2] Zhu H, Xiong Y, Xia Y, Zhang R, Tian D, Wang T, Dai J, Wang L, Yao H, Jiang H, Yang K, Liu E, Shi Y, Fu Z, Gao L, Zou L. Therapeutic Effects of Human Umbilical Cord-Derived Mesenchymal Stem Cells in Acute Lung Injury Mice. Sci Rep. 2017 Jan 4;7:39889.
https://pubmed.ncbi.nlm.nih.gov/28051154/
[3] Lee DK, Song SU. Immunomodulatory mechanisms of mesenchymal stem cells and their therapeutic applications. Cell Immunol. 2018 Apr;326:68-76.
https://pubmed.ncbi.nlm.nih.gov/28919171/
[4] Fu X, Liu G, Halim A, Ju Y, Luo Q, Song AG. Mesenchymal Stem Cell Migration and Tissue Repair. Cells. 2019 Jul 28;8(8):784.
https://pubmed.ncbi.nlm.nih.gov/31357692/
[5] 江小柯,李修岭,白阳秋,丁辉,伍玥,王菲,李俊,张炳勇.脐带间充质干细胞治疗慢乙肝肝硬化长期疗效分析[J].医药论坛杂志,2018,39(02):30-34.
https://kns.cnki.net/kns8/defaultresult/index
Cho J, Kim TH, Seok J, Jun JH, Park H, Kweon M, Lim JY, Kim GJ. Vascular remodeling by placenta-derived mesenchymal stem cells restores ovarian function in ovariectomized rat model via the VEGF pathway. Lab Invest. 2021 Mar;101(3):304-317.
https://pubmed.ncbi.nlm.nih.gov/33303971/