
主动脉夹层是心血管疾病中的危重急症,其中只有4%~6%的主动脉夹层心电图可表现为病理性Q波或ST段抬高。继发于主动脉夹层的急性心肌梗死(AMI)患者,主动脉夹层的漏诊率高达30%,死亡率高达36%。
主动脉夹层一旦逆行性进展,累及冠状动脉开口或分支而合并AMI,多预后不良。下面通过两则主动脉夹层致ST段抬高型心肌梗死(STEMI)的病例,一起来看它与STEMI 的区别及初步处理。
一 病例1
患者,女性,51岁,无明显诱因突发胸背痛1小时余,伴大汗淋漓,头晕,四肢乏力,持续不能缓解,无“高血压、糖尿病”史。
体格检查
血压:左上肢121/58 mmHg,右上肢121/58 mmHg;左下肢142/66 mmHg,右下肢177/50 mmHg。
实验室检查
床旁肌钙蛋白<50 ng/mL,D-二聚体>10000 µg/L。
辅助检查
发病1小时急诊心电图如下,显示单纯右室梗死。

冠脉造影,如下图所示。

主动脉CTA造影,如下图所示。

诊断
1. 主动脉夹层动脉瘤(Stanford A型)
2. 继发性右冠状动脉夹层致右室梗死
治疗:外科手术
行急诊外科手术,术中发现,冠脉呈左优势型,右冠脉全段撕裂。在全麻低温体外循环下行主动脉根部置换(Bentall)+升主动脉置换+半弓置换+冠状动脉旁路移植术(CABG)。手术持续5小时余,创面出血持续15小时余,整个手术时长20多小时,最后患者转危为安,脱离生命危险。
二 病例2
患者,女性,58岁,2小时前无明显诱因出现胸前区闷痛,疼痛剧烈,无放射,伴大汗,伴晕厥及大小便*禁失**。高血压病史10年,收缩压最高达200 mmHg。
查体
血压86/52 mmHg,心率116次/分,心脏听诊胸骨左缘3~4肋间舒张期杂音。
实验室检查
床旁D-二聚体:3.45 ng/mL;NT-proBNP:272 pg/mL;肌钙蛋白T:96 ng/L。
辅助检查 急诊心电图,如下图所示。

双绕行急诊冠脉造影
冠脉造影中左冠状动脉顺利到位,左前降支(LAD)中段中度狭窄,右冠状动脉未能顺利到位,可见右冠窦造影剂滞留。

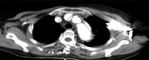
主动脉CTA造影
患者回重症监护室(CCU)后立即行主动脉CTA造影,显示主动脉夹层(Standford A 型),破口位于升主动脉起始部,宽约7 mm;夹层范围为升主动脉至主动脉弓,累及头臂干起始部,右颈总动脉开口。双侧冠状动脉充盈不均匀,内可见低密度阴影。

根据造影结果,诊断考虑主动脉夹层累及双侧冠状动脉,右侧明显,1小时后病人不幸去世。
三 有关主动脉夹层
1. 主动脉夹层诊断风险评分
主动脉夹层诊断风险评分表(ADD-Rs),如下所示。

存在以上每一高危因素类别,得1分,总分:0~3分。低危组:评分0分;中危组:评分1分;高危组:评分≥2分。评分≥1分诊断为主动脉夹层的敏感度高达95.7%。
2. 主动脉夹层分型
急性Standford A型:未手术者发病24小时内病死率每小时增加1%~2%,1周死亡率超过70%。
急性Standford B型:发病2周内的病死率为6.4%。

主动脉夹层分型示意图。
3. STEMI 和主动脉夹层引起的STEMI 比较
STEMI 与主动脉夹层引起的STEMI 有不少区别,如下表所示。出现下面这些特征,可以考虑由主动脉夹层引起的STMI。
• 胸痛与心电图分离 :胸痛先出现,后出现心电图ST段抬高;
• 病情与心电图分离:病情重,如低血压、休克,但心电图ST段抬高的范围和幅度不明显,尤其是下壁STEMI;
• 肌钙蛋白与心电图分离:肌钙蛋白升高不太明显,而D-二聚体升高明显;
• 杂音:STEMI 合并胸骨左缘3~4肋间舒张期叹气样杂音。
表1. STEMI 与主动脉夹层引起的STEMI 区别

4. 主动脉夹层合并STEMI 的初步处理
• 禁止给予双联抗血小板药物、抗凝药;
• 双上肢血压测量、听诊心脏杂音;
• 查心电图、肌钙蛋白、D-二聚体、NT-proBNP;
• 有条件且病情允许,立即行CTA检查;
• 病情危重时,首先行床旁超声心动图检查;
• 确诊后立即联系心外科/血管外科会诊,或转诊。
四
小结
• 主动脉夹层合并STEMI 的患者中,最高风险的极少数急诊胸痛病人,需要外科手术干预;
• 主动脉夹层合并STEMI 患者极易误诊为单纯STEMI,而给予双联抗血小板、抗凝治疗、冠脉造影;
• 在胸痛中心要求最快实施再灌注治疗时代,早期识别主动脉夹层合并STEMI 极其重要;
• 需结合临床症状、心电图及实验室检查,方可做出初步判断。
来源
王斌. 主动脉夹层致ST段抬高型心肌梗死的早期识别和治疗. 长城会2019.
