■ 文|赵小刀
我是赵小刀,我是一名眼科医生。
近来,总有家长拿着一些视频担心的问我,这个人说脉络膜增厚了不好,会有中浆、新生血管增生等风险,是真的吗?
之前我有一篇科普文章谈到医学进步的认知问题,尤其是针对哺光仪的8个阶段(文章传送门),其实您对号入座一下,就可以很明显的看到,说这种话的人,基本上都没超过第2阶段。
不近视的儿童,或者生活在完全健康用眼环境下的儿童,脉络膜本应是厚实的,给巩膜提供丰富的营养,眼轴自然增长缓慢。但现代城市生活中,户外活动减少,伏案工作增加,导致孩子们的脉络膜发生缺失薄变,巩膜随之薄变,眼轴迅速增长。我们现在采取的一切防控手段,包括大户外,哺光仪,雾视训练,OK镜,功能镜等等,都是在帮助孩子找回失去的脉络膜,所谓的“增厚”只是把孩子失去的还给它而已。望文生义、离开剂量谈毒性的纸上谈兵实在是没有必要,要深入学习和实践,至少到第5阶段再发言不迟。
之前我们科普过,近视的发展与脉络膜的厚度和血流量密切关联(《近视防控的方法,其实不外乎这两种……》),近期,又有一篇相关的文献发表,我们再来一起学习一下,脉络膜与近视的关系。
先说文章结论: 脉络膜的厚度和儿童近视发展的速度呈线性相关。
|
研究 背景 |
|
_ |
正如我们此前科普的,研究显示, 脉络膜血流减少导致的巩膜缺血、缺氧可能参与近视的发生发展 。
以往研究发现, 正视儿童的脉络膜厚度随年龄增长而增厚, 随眼轴长度增长而变薄。
多数动物模型或人群的研究发现,近视者视网膜、脉络膜血流灌注量减少。
基于光学相干断层扫描成像技术的研究显示, 脉络膜厚度随近视程度的加深而明显变薄。

本次研究的主要目的,是探讨儿童近视进展过程中眼底血流及脉络膜厚度的变化,评估近视进展对眼底血流及脉络膜厚度的潜在影响,为近视进展的可能机制提供依据。
《儿童近视进展与眼底血流及脉络膜厚度的关系》
中华眼视光学与视觉科学杂志 2021.11
作者:李疏凤 李雪 黄莹莹 徐菁菁 陈浩 保金华
作者单位:温州医科大学附属眼视光医院 温州医科大学-依视路联合研究中心
↓研究是这样进行的↓
这次的研究对象,选取的是2018 年7-9月就诊于温州医科大学附属眼视光医院的近视儿童,选取的标准是年龄在8岁~13 岁之间;等效球镜度数(近视度数+1/2散光度数)在75度-475度之间,屈光参差小于100度,双眼矫正视力和双眼视觉功能正常。

这些儿童,根据度数及眼轴的变化评估随访1年近视进展, 同期观察其脉络膜厚度及眼底血流密度的变化,并根据受检儿童近视进展度数分为 近视进展较慢组 和 近视进展较快组 。
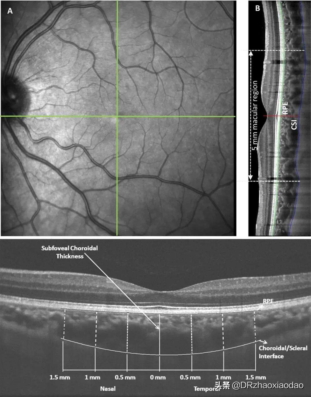
受检儿童除行常规眼科及屈光检查外,在睫状肌麻痹下分别在基线(初始)及1 年后随访时完成 屈光度数测量、眼轴测量、眼底血流测量、脉络膜厚度等测量。
研究纳入了50例受检儿童,最终47例儿童的右眼数据纳入分析。
1年后随访数据
(1)视网膜、脉络膜血流密度变化
随着近视度的增加,1 年后视网膜浅层总血流密度及各分区(除中心区外)均出现降低;视网膜深层总血流密度、中央区和颞侧区出现降低;脉络膜毛细血管层总血流密度降低。

(2)脉络膜变化
1 年后受检眼整体脉络膜厚度明显变薄,由238微米(±54微米)减薄至231微米(±55微米)。各分区厚度变薄明显。

血流量与近视发展速度的关系
研究分析视网膜浅层、深层血流密度的变化发现, 随着近视度数增加,近视儿童的视网膜浅层、深层血流密度均明显降低;且视网膜各层血流密度的变化与近视度数增加之间存在线性关系 ,即表现为:
近视度数每增加100度,视网膜浅层血流密度降低约0.35%,视网膜深层血流密度降低约0.33%;此外,视网膜浅层血流密度与脉络膜厚度也存在相关性,随着脉络膜厚度变薄,视网膜浅层血流密度减少。

脉络膜 是位于视网膜和巩膜之间的高度血管化的组织结构, 除了能够 为外层视网膜提供氧气及营养物质、调控眼部温度、分泌生长因子外, 还可以参与调控视觉信号对眼屈光发育的影响, 在正视化或近视进展过程中起重要作用 。
已有研究发现, 脉络膜层缺血、缺氧会导致脉络膜新生血管的生成风险增加 。此外,有研究提出,脉络膜血流密度降低引发的巩膜缺血、缺氧可能是导致近视进展的关键因素,针对巩膜缺氧的治疗或可作为近视防控的靶点。
本研究分析脉络膜数据发现, 近视进展较快儿童的脉络膜厚度明显变薄。整体而言, 随着近视度数增加, 脉络膜变薄主要表现在黄斑中心区、鼻侧、 颞侧及黄斑下方区域。

左边为健康的眼底,右边为超高度近视的眼底
这项研究,进一步证实了 脉络膜的厚度和近视发展的速度密切相关。这也是为什么,目前所有近视防控的有效手段,归根结底都在为了增厚脉络膜,这是近视防控的一个关键战场。

例如我们提倡多望远,少看近,也是因为望远可以增厚脉络膜,看近会使脉络膜变薄。
记住,增厚脉络膜不是水肿! 而是在帮助孩子把脉络膜的厚度恢复到生活在大草原上的水平!有个别人可能对近视发展的机制缺乏了解,会说 脉络膜增厚了是“水肿”了,这是误导。 其实我们进行近视防控工作中所增厚的脉络膜,只是帮助孩子找回丢失的脉络膜而已,这不仅无害还有益。 如果脉络膜增厚会“刺激”到一些眼底科医生的天然警觉,我们以后换个说法,改为“恢复”脉络膜厚度,这样可能听起来更好,但其实都是一回事,如果不太了解这些机理,至少不要望文生义、纸上谈兵就好。
要知道,身穿白大衣的发言,在家长眼中是自带权威性的,我们 要珍惜和维护这种权威性,不能脱离群众,脱离事实, 一定要确保自己是充分学习过,实践过,有深入的了解, 知道自己是否真的知道, 再发表言论。 没有时间自己查文献,至少把公众号上总结的文献看完,否则在官媒上出现明显的错误表达,最终被时间打脸的时候,会损伤所有医生们的公信力。有些人会拿着事实跟家长说,看,眼科医生说的不对,他们根本不懂,别听他们的,听我的才对。医生再怎么权威,也没有事实权威,在事实面前,家长们会用脚投票的。
好了,今天的分享就到这里了。对待近视防控,一定保持积极学习的心态,时代在发展,医学在进步,千万不要坐井观天。
我是赵小刀
我是一名眼科医生