俗话说人老腿先老,说的就是膝关节的问题。
日常生活中,一些中老年人在上下楼梯时经常会觉得腿发软,如果不赶紧用手扶着支撑物,好像不由自主地要跪下去,并且感到膝关节疼痛,尤其在半蹲位时疼痛难以忍受。
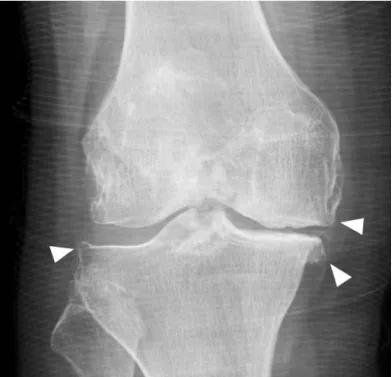
有的长时间下蹲后不能站立,有的走平路时也出现疼痛,去医院一拍片,膝关节长骨刺了,这究竟是怎么回事呢?

一、什么是骨刺?为什么长骨刺?
骨刺的称呼有很多,例如“骨赘”、“骨质增生”等。
骨刺的形成是膝关节衰老到一定阶段的必然结果,也是膝关节骨性关节炎的特征性表现。
此外,骨性关节炎还会引起关节软骨破坏,关节囊增厚等变化。“骨刺”这个名字听起来似乎很可怕,但是,实际上呢,这是错的,因为:

① 随着年龄的增加,关节表面的软骨渐渐承受不住体重带来的压力,我们的膝盖通过骨质增生的办法来加大关节接触面积。
这是人体的一种自我适应和自我保护机制,这会导致关节软骨承担的压力变小,减缓了软骨的磨损和衰退。同时关节接触面积变得更大更稳定。
② 关节韧带的劳损和松弛,造成了关节在活动的过程中变得不稳定,这种不稳定会刺激血液钙质在关节周围沉积,加强加固关节的稳定性。
久而久之,就形成了X片上可以看到的骨刺。

总之,骨质增生是长期慢性形成的,是我们身体在抵抗关节衰老和退变时所作出的适应性变化。
骨质增生发生在关节周围,增生一点来分担压力以及稳定性,从某种意义上来说,是一件好事。
另外,增生就提示着我们的关节出现问题了,我们要好好爱护关节了,爱护自己的身体了。
但是,不是所有的增生都是有利的, 当增生的骨赘过多,影响到您关节的活动,压迫到周围的神经、血管产生疼痛、麻木等症状时候,增生就不是好事情了。这时候你可能就要找医生诊治了。

二、膝盖有了骨刺怎么办?
一般而言,疼痛是膝关节病变最早发出的信息。如果疼痛较轻,可采取保守治疗。
此时,患者应适当休息,尽量减少关节负重,避免关节大幅度活动,上下楼梯应扶楼梯扶手,行走时可用拐杖或手杖。
肥胖者应减轻体重以减少对关节的负荷。

在急性发作期患者可口服消炎镇痛药,慢性期可进行局部理疗和关节、肌肉训练,还可行关节腔内注射透明质酸钠等方法治疗。

若保守治疗无效,膝关节已有轻、中度破坏者宜考虑关节镜手术治疗。
对于严重的膝骨关节炎,尤其是晚期患者,选择人工全膝关节置换术改善膝关节功能,缓解疼痛,矫正畸形,提高患者的生活质量。