昨天小张在朋友圈发了这样一个心情:只要牙齿好,每天都是艳阳天。可见小张和牙齿之间是有故事的。短短一句话也足以说明一口健康的牙齿对人的生活、工作、精神状态影响有多大。
后来了解到小张从小牙齿都有些问题,牙齿排列不太好,牙龈容易出血,随便吃点什么东西牙齿都塞得紧梆梆的,每次吃完饭必做的一件事就是剔牙。好麻烦而又尴尬的惯例。30岁之后,她的牙齿门牙缝隙是一年比一年大。“这样下去可如何是好,我这么年轻,怎么可以这么快就老化了呢?”小张觉得很无奈。

的确,随着年龄增长,牙缝越来越大,这是很多人都在面临的问题。究竟凶手是谁呢?分析一下大多数情况有以下原因:
1、拔除牙齿后未及时修复。
该补的牙齿没有及时补上,很可能会造成相邻的牙齿移动倾斜,原本排列整齐的牙齿就会出现缝隙。如果有某颗牙齿拔掉未作修复,就会导致相邻的牙齿向缺牙处移动(这个可以参照第五条“病理性移位”进一步了解),对颌牙也会逐渐增长,甚至会咬到对颌牙龈上。

2、牙周病、咬合创伤等问题,最常见的原因就是牙周破坏。
典型症状为长期牙龈出血、牙石、牙齿松动或口臭等。临床上此原因所造成的牙缝现象较为多见。有些女性因为缝隙变大,对美观造成威胁来求牙医,很多的医生会选择给患者制作烤瓷牙以关闭间隙,刚开始,会觉得很满意,但是过了两三年后,烤瓷牙之间又出现了缝隙,或者虽然将烤瓷牙连在一起,几年后牙齿都出现了更明显的松动。

究其原因,是因为未针对牙齿散开的原因进行处理,选择做烤瓷牙的治疗是对症治疗,而非对因治疗。也即治标不治本。
如何做好牙周病的预防工作:
1、如果12岁以后牙齿排列仍然不整齐,应到医院检查看是否需要进行矫正治疗。
2、长期牙龈出血、红肿,应引起重视到医院进行检查和治疗。
3、建议定期洗牙,使用牙线,正确刷牙。
4、改掉口腔不良习惯,比如避免直接用牙齿咬开榛子、啤酒盖子等硬物,这些对牙周和牙齿都很容易造成损伤。
5、如果发现牙齿局部出现移位、有缝隙、松动或咀嚼无力,及时到医院检查。
3、先天性的牙齿发育畸形,青少年时期就可能表现出牙齿排列不好。
4、牙齿龋坏,细菌腐蚀牙齿后所形成的缝隙
5、病理性移位
牙齿的所在位置是一种平衡,除了有牙槽骨的支持之外,在牙齿和牙齿之间、牙齿和舌头之间、牙齿和唇颊肌肉之间达到了互相的平衡。如果有一方处于弱势时,牙齿的位置便会出现改变。为什么牙齿原先排列很整齐,但后来却越来越大缝隙呢?

除了牙周病导致细菌破坏牙槽骨,需补的牙齿不补等使牙周支持变得较差出现移位,另一个重要的原因就是作用在牙齿上的力量平衡发生了改变(比如长期使用同侧牙齿咀嚼),很可能表现出的症状就是牙齿移位,在理论上称为”病理性移位“。病理性移位的方向并不固定,几乎所有的牙齿都会发生,但前牙的发生几率是最高的。
知乎案例:
家族遗传。妈妈下门牙左侧的牙缝大,我在同样的位置牙缝也大。我儿子干脆天生只有一颗下门牙,我妹妹的儿子也只有一颗下门牙。
我二十来岁的时候牙缝只是微大,现在四十多岁了(题主女),发现牙缝大得更明显!才想起,妈妈也是这个年纪牙缝大得不能忍,去做了“正畸”——加了一颗义齿!
1:想问这种跟着年纪同比增长的牙缝是怎么回事?2:如何解决?不想加义齿!另外,我们母女牙齿都很整齐,脸型也正常。
(想到儿子和外甥以后可能会有同样烦恼,更加烦恼了!)
知友(牙医恶霸):
拯救牙齿就是拯救吃货的命!
按你的描述。。。和遗传性牙周炎有点类似。
去口腔医院看看。
知友:
通常年纪大是因为不重视牙周所引起牙龈萎缩造成牙缝变大,建议定期洗牙,使用牙线,正确刷牙,维护牙周健康。如何解决牙缝的问题,临床上要具体让医生检查你的口腔状况具体是什么引起的,才能有针对性的提出具体解决方案。
嗯!牙缝大到底是谁的错?如果是遗传的,那可能不是你的错;如果是后天没注意口腔卫生和维护造成的,又讳疾忌医不去处理,那就是错上加错了!重视起来吧!
研究表明,人的牙齿是从40岁开始衰老的。其实如果平时不注意牙齿保护,牙齿出现问题可不管你多大年龄。时间一天天过去,牙齿畸形(牙缝变大、牙齿不整齐)的情况会越来越严重。一旦发生前牙扇形张开,出现缝隙或者缝隙增大,一定要咨询专业的牙医,做仔细的检查,找到真正的元凶做治疗。如果实在觉得影响美观和自信,可通过戴牙套进行矫正。
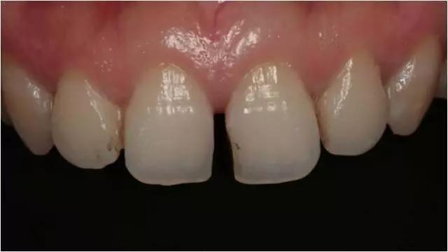
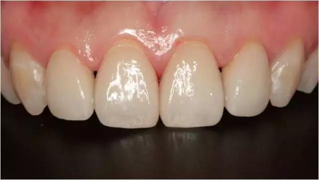
案例一:瓷贴面关闭牙缝



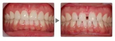
案例二:矫正关闭牙缝


如果觉得这篇文章不错,就请收藏或分享给好友吧。添加雅悦齿科为好友,学习更多爱牙护齿科学方法。公众号:yyck2001