随着年龄的增大,每个人的生活压力逐渐变大,每个人的宣泄方式也都不一样,有人喜欢听音乐、有人喜欢跑步,也有人喜欢一个人独处放松,这都是正确的方法,但是无论做什么都要有限度。
赵先生,43岁, 平常就喜欢晚上一个人在外面喝点酒、抽两根烟再回家,随着工作越来越多,于是每天抽烟、饮酒更多了。
这个月,赵先生发现自己刷牙的时候 牙龈经常出血,虽然出血量不多,但是每次刷牙都有 ,而且之前只有一两个牙龈出血,现在已经有四五个了,导致每天刷牙都得小心翼翼。

回想起自己半年前在单位安排*体下**检的时候,医院医生已经告诉自己有牙结石了,但是由于工作太忙,并且认为一点小小的牙结石应该没多大问题,也就没放在心上。
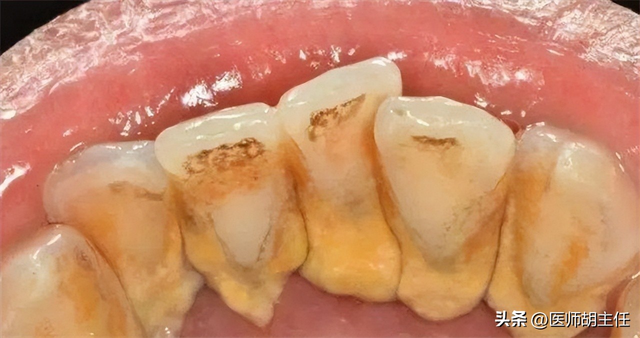
现在赵先生已经开始担忧起来,生怕是什么其他的疾病,于是赵先生前往我院口腔科进行诊治,待赵先生一张开嘴巴, 医生戴着口罩也闻到了一阵阵臭味传出来, 仔细一番检查,发现赵先生舌面、唇面和两侧结石都有很厚的牙石,诊断为 牙周炎、重度牙结石和牙龈萎缩 。

询问了赵先生的意见后,医生就开始进行洗牙和牙周清洁。治疗完成后医生告诫他,你这牙结石很大程度上是因为吸烟和饮酒导致不良口腔环境所引起的,虽然平时压力大,但饮酒和吸烟也要适当,维护好口腔卫生。看到这里大家,可能有疑问牙结石到底是个啥,怎么又?我们一起来看看。
一.什么是牙结石
- 牙结石,又称牙石,是在牙齿或修补材料表面上沉积的牙菌斑和沉积物质。

常常是由唾液中的矿物质和食物残渣加上钙,然后在口腔内部细菌的作用下形成的。 一般情况下,口腔环境好,牙结石就越少,所以绝大多数饮食习惯糟糕的患者牙齿上都可以发现牙石,只是根据严重程度,牙石的大小、数量和覆盖面积不一样。所以牙石的严重程度据此又分为轻、中和重度。
轻度就是整个口腔只有一点点牙石,需要去寻找;中度就是口腔有牙结石,但没有超过附近牙齿的三分之一;重度就是在中度的基础上,超过了附近牙齿的三分之一; 像赵先生这种,已经是达到重度了。
但是从没有牙结石发展到重度牙结石还是需要很长时间的,但是一旦像赵先生这样,过度吸烟、饮酒很容易使牙结石的形成速度加快。那吸烟和饮酒为什么会加快牙结石的形成呢,牙结石是怎么形成的呢?往下看下去吧!

二.牙结石怎么形成的
上面说到牙结石其实是不良口腔环境中牙齿上的牙菌斑和沉积物。就可以这样说:牙结石的形成就是 牙菌斑和矿物质沉积 两步,而牙菌斑的形成又分为 获得性薄膜和菌斑成熟 两步。 获得性薄膜其实就是牙齿表面的一层蛋白质膜 ,但不是天生就有,所以称为获得性薄膜。

它是牙齿表面的牙釉质经过长时间消耗过后,在细菌和唾液的共同作用下所形成的蛋白质薄膜,对于牙釉质受损的牙齿还具有保护作用,防止细菌侵入到牙齿内部。
但是细菌和一些特别细小的食物残渣同样也可以附着在获得性薄膜表面。
在获得性薄膜出现的时候如果我们改掉自己的不良饮食习惯,还是可以终止牙菌斑的形成; 但如果不良饮食习惯没有明显改善,口腔的细菌和食物残渣就会沉积在获得性薄膜上,也就达到了菌斑成熟的过程,虽然此时可以用一些医学手段去清除,但是还有可能反复形成。
在菌斑成熟后的1-14天内,口腔中的一些晶体物质也就可以在菌斑上面钙化,此时无论是否钙化完成,都可以认为有牙结石。

在我国,有97%的成年人都有口腔问题,其中超过八成是牙周病,而牙石就是牙周病的一种致病因素。 赵先生因为长期的吸烟和饮酒,导致口腔环境逐渐恶化,形成大量牙结石,促进了牙周病的形成,对人体口腔危害重大,甚至还有可能导致全身疾病。 那么牙结石常见的危害有哪些呢?让我们接着往下走。
三.牙结石的危害有哪些
牙结石,首当其冲,就是牙 菌斑和沉积物质 对牙齿及附近的正常组织的危害;接着通过血液或者消化道从而对其他全身性疾病产生影响,但非常少见。而一般牙结石的危害主要有以下三种。

1)牙龈出血 :
牙龈出血一般生活中多见于刷牙、咬坚硬食物的时候,并且口腔科进行口腔检查时,如果有牙结石,会使牙龈出血的概率增加。在这里想说的是, 牙龈出血并不是由牙石自身引起的,牙石本身是不会对牙龈造成伤害的 。
引起牙龈出血主要是由于牙菌斑长期附着在牙齿表面,引起牙龈出现炎症,发炎的牙龈和正常牙龈比较起来更加脆弱,受到一些微弱的刺激就会破裂出血。像赵先生就是因为长期的牙结石导致牙周炎,所以在刷牙时候经常出血。

2)牙齿松动 :
牙齿松动主要是 横向和纵向两个方向上牙齿的移动度超过了0.02mm, 牙齿在正常情况下是很难移动。
在牙菌斑导致的牙周围组织炎症,长期下去炎症细胞对骨组织破坏增多, 牙槽骨就会缩小导致和牙龈之间出现了一些小空隙,这时牙石就随着这小空隙沉积下去,导致被破坏的骨组织难以恢复,并且这些空隙内的牙石难以让牙齿保持稳定,牙齿就出现松动了。
虽然在平常0.02mm我们很难判断自己牙齿松动是否达到这个界限。但是一般感觉到有轻微松动时,都及早去医院去检测一下才是最好的。

3)口腔异味 :
口腔异味也就是口臭,一般是指 从口腔中呼出引起其他人厌恶的气味 。主要是由于牙结石内部牙菌斑上过多的细菌在口腔内进行代谢, 产生的一些垃圾物质,这些垃圾物质具有明显的异味,就称为口臭 。
其实正常人也会出现口臭,一般常见于早上或者未进食的时候,口腔细菌产生的大量代谢废物所引起的,但是在刷牙或者进食之后都会有减弱或消失。

牙结石对人的危害主要是以上三种,但远远不止这些,牙结石中牙菌斑导致的细菌炎症如不进行控制,还会导致其他口腔疾病, 比如说:龋齿(蛀牙)、牙齿敏感等, 对我们的日常生活产生了不可忽略的影响。
那我又该如何对付牙结石,还自己一个安宁的生活呢?接下来我就给大家讲讲如何清除牙结石,一起去学习一下。
四.清除牙结石,以下三个方法是不少人的选择

现在生活中,许多人都患有牙结石,可能有一部分人治疗过,也有一部分人没有治疗过,但大多数人对清除牙结石都有一部分的了解,但科学清除牙结石方法可能大家了解的不太全面。让我给大家一个系统性的介绍吧。
方法一:控制牙菌斑
上面说到过,牙菌斑是牙结石形成过程中重要的一步,也是对我们口腔健康危害最大的。想要清除牙结石必须控制好牙菌斑,而清除牙菌斑主要是用机械性的方法,给大家做了一个详细的分类,一定要好好牢记。
1. 刷牙 :
在口腔科中,刷牙并不是一个简单的活,分有很多细节和步骤。刷牙的细节主要就在牙刷、刷牙方法上。

①牙刷的挑选:
牙刷主要选择软硬适中、不损伤牙龈的牙刷为主;还可以选择市面上具有声波震动效果的电动牙刷。
②刷牙方法:
主要有巴氏刷牙法、罗氏刷牙法两种,在刷牙过程中两者结合使用对去除牙菌斑,清除牙结石有良好的效果。一个良好的刷牙习惯,对于去除牙结石有着明显的效果,大家一定要学习这两种科学的刷牙方法。

2. 牙缝的清洁 :
使用一般的刷牙方法是无法去除牙缝的牙菌斑的,所以我们必须要选择其他的方法。而牙缝的清洁方法主要有以下两种:

①使用牙线:
牙线一般是通过在进食后使用,去除牙缝的食物残渣,减少细菌滋生,从而减少牙菌斑和牙结石的产生。
②家用冲牙器:
市场上的冲牙器一般是通过有规律的控制水压对牙齿的每一面都具有清洁效果,还可以清洁牙龈深部的牙菌斑和牙结石,对于保持良好口腔环境有着积极的作用。

方法二:洗牙
当牙结石积累到一定程度时,控制牙菌斑就不能消除牙结石了,这时需要我们前往医院口腔科让专业的牙科医师进行洗牙。
洗牙是去除牙菌斑和牙结石最有效的方法。无论是否有牙结石都建议每半年或一年洗一次牙 ,对于维持口腔卫生,预防和清除牙结石都有良好的作用。

方法三:刷牙的时候可以加点“料”
去除牙菌斑和牙结石,除了牙刷和正确的刷牙方法,牙膏的选择非常重要的,但是大家可能已经换了很多种牙膏,牙结石也并没有什么改善。
在这里推荐大家在 刷牙时加上一点小苏打、白醋去配合牙膏进行刷牙 ,可以减少口腔内有害细菌,对于去除牙菌斑和牙结石效果会更明显。同时 改掉不良的饮食习惯,释放生活压力要选择一个适当的宣泄口 。
上面的赵先生就是因为长期吸烟和饮酒导致恶劣的口腔环境,细菌在这种环境长期作用下去,形成了大量的牙结石。我们要从赵先生那里吸取教训,不要过度饮酒和吸烟去伤害口腔,以免伤害了自己的身心。

生活中几乎每个人都有牙结石,但程度也都不一样。像赵先生这种情况已经到达比较严重的程度了。但牙结石并不可怕, 选择科学且适合自己的方法去清除 即可,大家也无需过度担心。同时也要 注意自己的饮食习惯,少吃一些垃圾食品,保持一个正常的口腔环境 。发现自己身体有一些异常时,及时去医院就诊无论有病还是没病,都能给自己一份心安。
- 参考文献:
- [1] 邢秀莲. "牙结石的防治." 新农村 10(2005):1.
- [2] 佚名. "清除牙菌斑的常见方法." 牙膏工业 2(2006):31-31.