来源:影像时间 作者:haitao1230
1992 年的 Atlanta 急性胰腺炎分类已经不能适应现在临床要求,2012 急性胰腺炎分类委员会对原有分类方法重新修订出版。修订版的分类方法中对影像医师尤为重要的是:对胰腺炎相关的异常物质进行了细分命名(表 1)。
以前的专用术语如急性假性囊肿、胰腺脓肿不能准确反映病理状况,已经不能满足临床需求。因此,需要用更精确的专用术语来表达病变是否含有坏死物质。
表 1 胰腺和胰周病灶

ANC = acute necrotic collection,APFC = acute peripancreatic fluid collection,IEP = interstitial necrotizing pancreatitis,WON = walled-off necrosis
本文主要内容包括三方面:
- 结合影像图像对修订版的 Atlanta 分类进行全面介绍,以便影像医师能够将新的专用术语更好地运用到临床工作中;
- 结合病例重点介绍不同异常物质的影像鉴别;
- 此外,还介绍了便于准确交流的影像报告模板。
概述和新的诊断标准
急性胰腺炎是一种急性炎症,严重程度各异,并可有一系列不同的局部和系统并发症。胆石症和酗酒分别是急性胰腺炎的第一、第二常见的病因,急性胰腺炎病因跟性别也有一定关系。
修订版 Atlanta 分类要求诊断急性胰腺炎需满足以下诊断标准两项及以上:
- 腹部疼痛提示胰腺炎;
- 血清淀粉酶和脂肪酶高于正常上限的 3 倍;
- 典型的影像学表现。
增强 CT 是最常用的影像学手段,MR 也可用于急性胰腺炎的诊断。
许多患者仅根据临床症状和实验室检查就可以诊断急性胰腺炎,早期影像学检查可用于明确病因,如胆石症、胰腺癌等。
在病变后期,如果实验室指标没有超过临界值,影像学检查可以用于腹痛患者的胰腺炎诊断。
急性胰腺炎的病程应从腹痛的第 1 天算起,而不是从就诊或入院的时间算起。
急性胰腺炎分期
分为早期和晚期:
- 早期:指患病 1 周以内,此时急性胰腺炎表现为系统炎性反应,主要临床严重性分级和治疗方法都依靠器官衰竭的类型和分级。
- 晚期:指患病 2 周及以后,可持续数周至数月,仅见于中重度胰腺炎患者。
急性胰腺炎严重程度分级
修订版 Atlanta 分类对胰腺炎的严重程度进行了重新分级。以前急性胰腺炎根据有无器官衰竭分为轻度、重度胰腺炎。
但是越来越多的证据表明大量有局部并发症的患者致死率并不高。因此,修订版 Atlanta 分类又加入了一个新的等级:中度急性胰腺炎,以代表该类患者。
1. 轻度急性胰腺炎
轻度急性胰腺炎患者不会出现器官衰竭和局部并发症,病灶多在 1 周内吸收,致死率极低,该类患者的影像学检查多用于寻找病因(即超声或磁共振胰胆管照影检查胆石症)。
2. 中度急性胰腺炎
中度急性胰腺炎患者可有短暂性器官衰竭(持续时间小于 48 小时)或出现并发症。系统性并发症多为胰腺炎加重原有疾病,比如原有慢性肾衰的急性胰腺炎患者会出现急性肾衰。
局部并发症包括胰腺实质及胰周病变。该类病变多出现在发病后 2 周,临床上表现为持续性疼痛或疼痛复现、胰腺淀粉酶 2 次升高、进行性加重的器官功能失调或败血症。
出现这些症状应进行影像学检查,比如增强 CT、增强 MR 或平扫 MR。
3. 重度急性胰腺炎
重度急性胰腺炎指器官衰竭超过 48 小时。器官衰竭是决定患者严重程度的重要依据,准确评估对于临床治疗至关重要。
修订版 Atlanta 分类引入了修订版 Marshall 评分系统(表 2)来评估器官衰竭的程度。
修订版 Marshall 评分系统的评估标准包括呼吸系统、心血管系统及肾脏功能,每个系统的评分为 2 分及以上代表器官衰竭。
表 2 修订版 Marshall 评分系统

注意:大于等于 2 分提示器官衰竭,持续时间小于 48 小时指短暂衰竭,超过 48 小时指持续衰竭
在胰腺炎发病的第 1 周内,影像学征象和临床严重程度的相关性较差,而且影像学在第 1 周对坏死性胰腺炎的敏感性不高。
除此之外,发病 1 周内,治疗方案主要是支持疗法和处理器官衰竭,而不会去干预局部并发症。
入院后 5~7 天后局部并发症开始出现,坏死组织易于辨认,此时影像学检查更有意义。
间质水肿性胰腺炎(IEP)和坏死性胰腺炎
修订版 Atlanta 分类将急性胰腺炎分为 2 类:IEP 和坏死性胰腺炎。
1. IEP
IEP 更常见,指胰腺炎为非坏死性炎症。IEP 在增强 CT 或 MR 扫描时,因为水肿原因可较正常胰腺强化程度低,但不会出现无强化区。
IEP 多表现为胰腺体积局限或弥漫性增大,周围可见条状胰周炎症或少量液性密度(图 1)。

图 1 一名 28 岁男性酗酒引起的 IEP 患者。轴位增强 CT 显示束状胰周炎症(箭头)、胰腺密度正常
* 特别需要注意的是,胰周可有液性密度,但不会有坏死物质(图 2)。

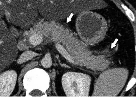
图 2 一名 43 岁男性 IEP 患者。轴位增强 CT 图像显示胰周炎症(黑箭头)和左肾前间隙积液(白箭头),诊断为 APFC
2. 坏死性胰腺炎
坏死性胰腺炎占急性胰腺炎的 5%~10%。坏死可发生于胰腺实质或胰周,也可同时发生。
根据坏死累及范围将坏死性胰腺炎分为三种亚型:
- 仅累及胰腺;
- 仅累及胰周;
- 胰腺和胰周同时受累。
同时受累的亚型:表现为胰腺及胰周无强化坏死物,多累及小网膜囊和肾前间隙(图 3a)。
胰周型:表现为胰腺强化正常,而胰周坏死,坏死物可包括不等量的液体和和非液性成分,约占坏死性胰腺炎的 20%(图 3b)。
胰腺型:仅占 5%,没有胰周坏死物。在发病的前几天胰腺可仅表现为水肿,局限或弥漫性低强化,可能很难与 IEP 相鉴别,在这些病例中,在发病 5~7 天后再次行 CT 增强扫描可以提高诊断坏死性胰腺炎的准确率。
通常,常规 CT 增强扫描可以满足诊断,没有必要多时相扫描。如果患者有肾衰而不能行 CT 增强扫描,可以行 MR 平扫。



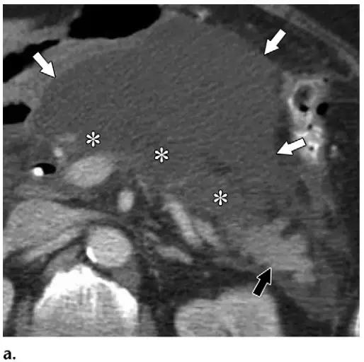
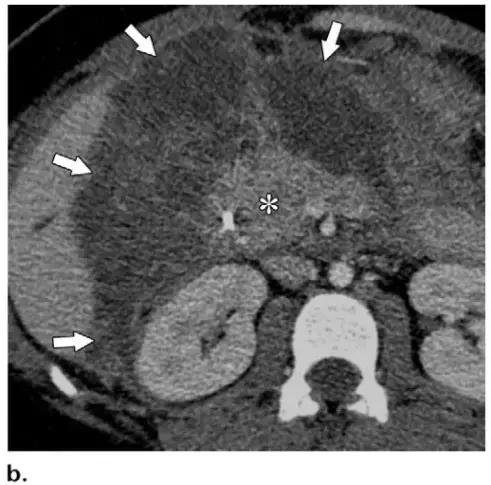
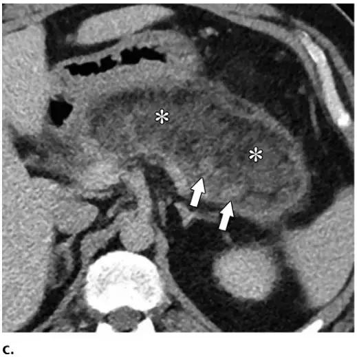
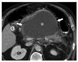
图 3 坏死性胰腺炎亚型在增强轴位 CT 的表现。a 胰腺和胰周同时受累的 58 岁女性患者,胰体无强化(*),正常强化的胰尾(黑箭头),小网膜囊内 ANC(白箭头)。b 仅胰周受累的 18 岁男性患者,可见一周为大片不均质密度(箭头),和 ANC 相符。胰腺实质密度正常(*)。c 仅胰腺实质受累的 33 岁男性患者,可见大片局限无强化的胰腺实质和脂肪密度(*),诊断为 WON。仅周边可见少量残余强化的胰腺实质(箭头)
胰腺和胰周病变内容物
修订版 Atlanta 分类对病变内容物是仅含液体还是含有坏死物做出了明确的分界。已经弃用急性假性囊肿、胰腺脓肿这些名词术语。
同样影像报告中的假性囊肿如果包含所有胰腺炎相关的病变将会误导临床医生,因为假性囊肿仅代表纯液体,而不包含坏死物。
修订版 Atlanta 分类将病变内容物分为 4 类(具体分类标准见表 1):
- 急性胰周积液(APFC)
- 假性囊肿
- 急性坏死物(ANC)
- 囊壁内坏死(WON)
1. APFC 和假性囊肿
APFCs 发生于发病 4 周内,仅见于 IEP 患者。因为没有坏死物,APFCs 表现为胰周无壁均质液性密度(图 4)。
APFCs 仅见于胰周,如果胰腺实质内有相似表现的病灶为 ANC,诊断就不再是 IEP 而是坏死性胰腺炎。多数 APFCs 能够自发吸收,而且引流有继发感染的可能,所以不建议引流治疗。
患病早期有些病例 IEP 和坏死性胰腺炎在增强 CT 上难以鉴别,相应 APFC 和 ANC 也鉴别困难。通常,在患病第 2 周增强 CT 检查可以更好的显示 ANC 内部不均质的表现。

图 4 合并 APFCs 的 49 岁男性 IEP 患者。a 腹痛第一天,可见肾脏左前方少量均质液性密度(箭头)。胰腺强化正常。b~d 腹痛发生后 10 天,小网膜囊(b)、胰周(c)、双侧肾前间隙(d)可见大量均质液性密度,征象和 APFCs 相符。图 c 中的箭头指正常强化的胰尾

图 5 一名 36 岁男性假性囊肿患者。胆石症引起的胰腺炎发病后 6 周的轴位 CT 图像显示小网膜囊(*)内无强化液性密度,周围可见有强化的壁(箭头)

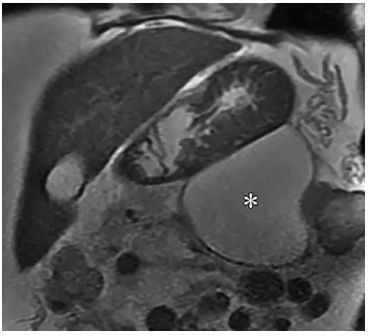
图 6 一名 48 岁女性假性囊肿患者。患病后 8 周冠状位 T2WI MR 图像示小网膜囊内(*)均质液性高信号,没有坏死物

图 7 一名 55 岁伴有胰管分离综合征的假性囊肿女性患者。冠状位 MRCP 示胰周和胰腺内假性囊肿(*)和胰尾部轻度扩张的胰管(箭头)相通。需要注意的是胰尾部胰管因为胰体坏死与壶腹部不相通
如果 APFC 4 周内没有吸收,会形成局限、有强化的囊壁,此时 APFC 演变为假性囊肿(图 5),也没有坏死物质,如果其内含有脂肪或软组织密度,则应诊断为 WON。
在 MR 成像中,假性囊肿表现为均匀高 T2 信号(图 6)。MRCP 具有高组织分辨率,可以显示部分假性囊肿与胰管相通(图 7)。
低于 10% 的 IEP 患者的假性囊肿会进展。典型假性囊肿位于胰周,极少数情况下,坏死组织清除术后胰管内胰液流入手术部位形成胰腺内假性囊肿。
在这些病例中,坏死组织清除术后或胰体坏死,而胰尾仍有功能,分泌胰液并从胰管内漏出形成假性囊肿(图 7)。
2. ANC 和 WON
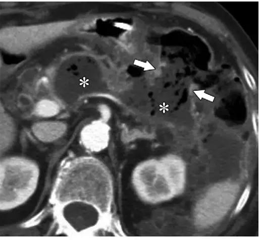
ANCs 发生于发病 4 周内的坏死性胰腺炎,其内含有坏死物,多见于小网膜囊和肾周,也可发生于胰腺实质内。他们可为多灶性,有分隔,可延伸至盆腔。
ANCs 也含有大量液体,和 APFCs 的鉴别是 ANCs 含有非液性成分,比如实性成分或脂滴。如果有碘对比剂禁忌证,平扫 CT 如果能发现脂性密度对确定坏死及诊断 ANCs 具有重要帮助(图 9)。
在胰腺炎早期,APFC 和 ANC 的鉴别比较困难。发病后 2 周的影像学检查对鉴别两者具有重要意义。所有与坏死胰腺实质相通的胰周异常病灶即使看不到非液性碎片也应诊断为 ANC。
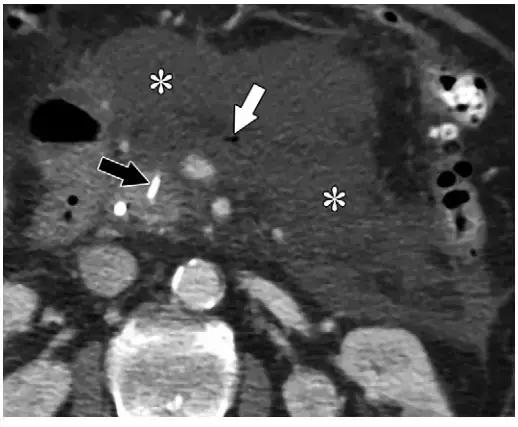
4 周以后,ANC 逐渐形成成熟的壁,进展为 WON。同假性囊肿相似,WON 包括液性物质和可明显强化的厚壁。但与假性囊肿不同的是,WON 含有坏死脂肪或胰腺组织,在增强 CT 和 MR 图像中表现为液体内含有非液性成分(图 3c,10)。
WON 可存在于胰腺实质,但更常见于胰周,也可同时累及胰腺和胰周(图 10)。有研究表明,对于病程超过 4 周胰腺炎,MR 的评估能力高于 CT。
MR 成像可以显示坏死物的数量,因此在制作手术计划时,MR 成像可作为增强 CT 的替代方法(图 11)。


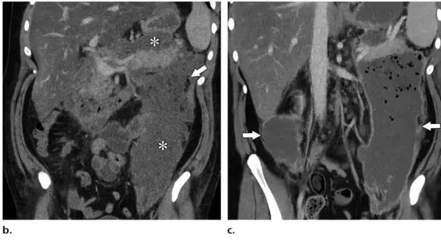
图 8 一名 25 岁男性自发性胰腺炎患者增强冠状位图像示感染性 WON。a 发病 7 天,双侧肾周间隙可见明显 ANCs。ANCs 扩散至盆腔(*),为不均质液性密度,含有实性坏死成分,其中包括脂滴(箭头)。b 发病 15 天,坏死物(*)更容易辨认,坏死脂肪也更易辨认(箭头)。 c 发病 43 天患者因败血症再次入院,肾周可见不均质含气密度,周围可见增强的厚壁(箭头),符合感染性 WON 的诊断

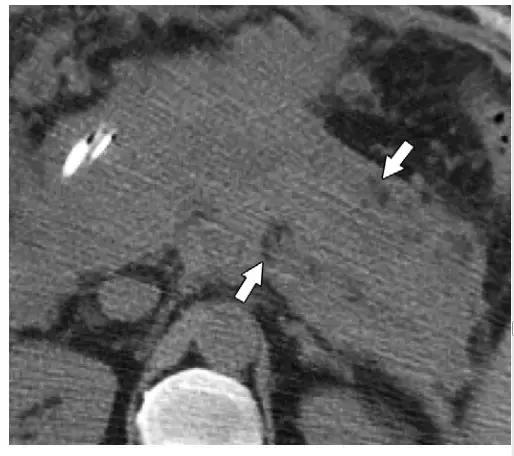
图 9 41 岁急性胰腺炎女性患者合并 ANC。发病 9 天后的 CT 平扫图像示胰腺和胰周密度对比度下降,因此难以确定胰腺实质坏死部位。但小脂滴(箭头)的出现和整体不均质密度均提示该患者为坏死性胰腺炎伴 ANC

图 10 48 岁坏死性胰腺炎女性患者 2 个月内的演变过程。 a 1 周:轴位增强 CT 示胰颈坏死(*)。 b 2 周:轴位增强 CT 示新发胰颈(*)坏死相连的胰周(箭头)坏死,征象符合 ANC。 c 3 周:周围 T2WI MR 图像更清晰的显示了 ANC(*)的内容物,包括液性高信号和非液性坏死物,后者又包括胰颈和胰体的坏死(箭头)。注意局部壁形成。 d 5 周:轴位增强 CT 示成熟壁形成,符合 WON(*)的诊断。 e 囊肿胃引流术和清创术中内镜可见 WON 排出的坏死物(箭头)。 f 7 周:术后增强轴位 CT 图像可见 WON 已成功清除,可见双尾支架影

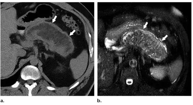
图 11 发病 16 周的 47 岁男性坏死性胰腺炎患者。 a 轴位平扫 CT 图像示几乎累及整个胰腺的 WON(箭头),约有一半为液性密度。 b 随后轴位脂肪抑制 T2WI MR 图像示 WON(箭头)大部分为非液性坏死物和胰腺坏死,仅有少量液体信号。这样的病灶经皮或内镜引流效果差,需要创伤性更大的治疗方法
感染和局部并发症
任何病变都可以是无菌的也可以是受感染的,但在坏死物中感染的发生率较高。临床上,病情稳定的患者出现代谢失调的表现应该考虑感染可能,在影像学上表现为:病灶中出现气体。
囊壁增强可出现于假性囊肿和 WON,不是感染的可靠征象。假性囊肿即使感染也不会出现实性成分,如果出现应诊断为感染的 WON。
感染所产生的气体多表现为病灶内弥漫多发的小气泡(图 8,12)。
如果坏死物侵袭肠管,致使出现胰肠管瘘,感染的内容物里的气体也可来自肠道,多见于结肠和十二指肠(图 13)。
急性胰腺炎入院的患者中约 4% 会出现胰肠管瘘。胰管内气体多见于内镜胰管照影或胰管支架术后(图 14)。
除了感染,血管并发症也非常常见,约占急性胰腺炎患者的四分之一,而且致病率和致死率都很高。
引发血管并发症的病理生理过程有两种:
- 第一种:最常见,炎性反应引起脾静脉血栓形成。
- 第二种:胰酶侵蚀血管,引起血管出血或假性动脉瘤形成。

图 12 37 岁女性坏死性胰腺炎患者。 a 发病 3 周轴位增强 CT 示胰尾(*)和胰周 ANC 含有脂滴(箭头)。 b 发病 6 周患者因呼吸困难再次入院,轴位增强 CT 图像可见新发少量气体影,提示 WON 感染

图 13 74 岁女性坏死性胰腺炎患者。发病 5 周增强轴位 CT 可见多发气体影(*)。可见横结肠远端与病变形成瘘管,含有气体和液体(箭头),可以解释 WON 含有气体的原因

图 14 59 岁男性坏死性胰腺炎患者,发病 3 周增强 CT 轴位图像可见胰颈、胰体、胰尾(*)和胰周坏死。近期导管内支架植入术(黑箭头)引起胰管内少量气体影(白箭头),这并不代表 ANC 感染
并发症的处理
处理局部并发症的主要有创性处理方法包括经皮引流、内镜囊肿胃引流术、内镜清创术(图 10)、坏死物清除术。
比较新的处理方式还有多步骤法,经皮引流后放置导管,如果 72 小时内症状不改善,进一步沿导管进行微创清创。尽管微创技术已经取代了开放手术,但有研究表明开放手术的死亡率比微创手术低。尽管每个医院的手术方式不同,但多用于有持续症状、营养吸收差、有感染征象的患者。
随着 Atlanta 分类的推广,影像医师根据病灶内容物的类型可以帮助制定治疗方案。
比如,小网膜囊内的假性囊肿需要引流,消化科医师用超声内镜行囊肿胃引流术会取得良好的效果。但是如果病灶是 WON,用内镜囊肿胃引流术不能充分引流实性成分,因此,创伤更大的清创术应作为治疗首选术式。
报告注意事项
- 询问病史时,腹痛症状的起始时间非常重要,发病时间涉及到局部并发症的分类。
- 影像描述应包括病灶是否有坏死组织,坏死的部位(胰腺、胰周、同时累及)、体积(<30% 或>30%)。
- 应描述局部并发症的部位、大小、形态、是否有壁,特别是其内容物是否为均匀液性密度(APFC 或假性囊肿),还是含有实性坏死物(ANC 或 WON)。
- 最后根据 Atlanta 分类命名。建议影像诊断部分应应用 Atlanta 分类的专用术语简洁总结,以利于多学科交流。
结论
将修订版 Atlanta 分类运用到临床实践中有利于准确记录急性胰腺炎的影像征象。
认识到胰腺炎相关的异常病灶不全是积液至关重要,鉴别病灶内是仅含液体(APFCs 和假性囊肿)还是含有坏死物(ANCs 和 WON)最基本的是要评估内容物是否有非液性成分。
通常,影像征象联合发病时间可以鉴别病灶内容物,并对不同治疗方案提供病变分级信息,使影像医师可以参与到多学科联合诊治急性胰腺炎。
参考文献
Revised Atlanta Classification for Acute
Pancreatitis: A Pictorial Essay. Radiographics. 2016 May-Jun;36(3):675-87.
【版权声明】本平台属公益学习平台,转载系出于传递更多学习信息之目的,且已标明作者和出处,如不希望被传播的老师可与我们联系删除