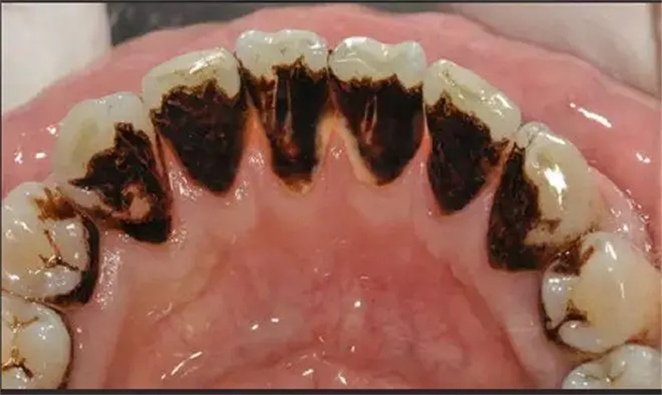
想起之前我这一口牙渍,烟渍,我真是后悔不已!虽然我现在牙齿已经刷白了,但是对于牙渍问题还是很厌恶!

我平时就爱打打麻将,喝喝茶,再抽点烟,我觉得这种日子真的好,但是没想到时间不久牙齿就开始出现牙渍,刚开始只是变色,慢慢就斑斑点点的看起来很恶心,当时我就去洗牙了,不过才2个多月的时间,牙渍又有了形状!

之后听了身边人的建议,换了很多美白牙膏,才慢慢的摆脱了“大脏牙”的名称,作为过来人,我自己觉得以下这些国货真的好用,大家可以自己试试哦!
1、欧丹锦牙粉:这个牙粉是我一个朋友让我用的,最初我也只是觉得价格贵,还不肯用,还是她给我拿了试用,我用的时候第一感觉起沫很快,不飞粉,粉质也比较细腻,刷完牙就能感觉到口腔很清凉清新!

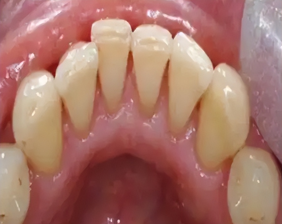
我自己差不多用了一周我感觉牙齿确实比之前刷的白净了,于是我就自己买了2盒,之后使用了半个月,发现牙齿上面的污渍小了很多,之后也是一天两次的刷牙频率,用到一个月的时间,明显看到牙缝里面的颜色都淡很多了,牙齿也白了一个度,等到用了40天才觉得牙齿彻底亮白了!之后我也经常使用牙粉,就算抽烟只要及时刷牙,牙渍也再没滋生过!

2、舒客牙膏:这个牙膏确实是我家里人一直在用的,牙粉去渍成功后,我就时常用这个牙膏,因为我觉得清新口气以及基础清洁作用都还可以。我早上用的比较多,嘴巴里面整体会比较清爽,我个人的建议就是大家牙粉和牙膏交替使用,这样可以维持良好的口腔环境。

3、高露洁漱口水:我自己觉得漱口水其实还挺方便的,吃完饭用它漱口,可以直接冲走部分食物残渣,可以避免牙垢长期在口腔堆积形成细菌,我自己觉得这个是大品牌,而且使用起来比较温和,比之前用过的刺激大的好多了,漱口水种类繁多,大家可以根据自己的需求选择!

以上算是我用过白牙效果比较好的一些国货了,个人建议大家如果存在牙渍问题,最好可以按照上述方法好好刷牙,及时解决问题是关键!