
聊聊口腔问题~为了牙齿美白,越来越多的朋友跑去做烤瓷牙,有一点要提醒,不能跟明星比,烤瓷牙材料不同,质量也会不一样。如果你想牙齿变好看,劝你还是别做了!
通常来说,做烤瓷牙都要经过磨牙,你想一下,健康的牙齿经过器械磨损,牙釉质被破坏,一旦牙医技术不过关,烤瓷牙处理不好,牙龈边容易出现缝隙,会造成牙龈肿痛,甚至烤瓷牙寿命缩短。

1、做烤瓷牙真的是不归路?
并!不!是!要看烤瓷牙用在哪方面,首先你要知道,烤瓷牙是作为一种修复手段,主要针对牙齿烂掉、蛀牙出现黑洞现象,如同保护套。一般在做完根管治疗后,套上烤瓷牙冠起到保护作用。
2、做烤瓷牙真的是有毒吗?
注意了!不能选镍铬合金材料!由于价格便宜,很多黑诊所利用这点来换取更大利润。另外还会引起牙龈发黑,寿命减短,影响口腔健康。而在德国和日本牙科上,这种烤瓷牙是被禁止使用的!

3、哪种烤瓷牙材料比较好?
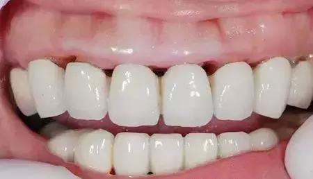
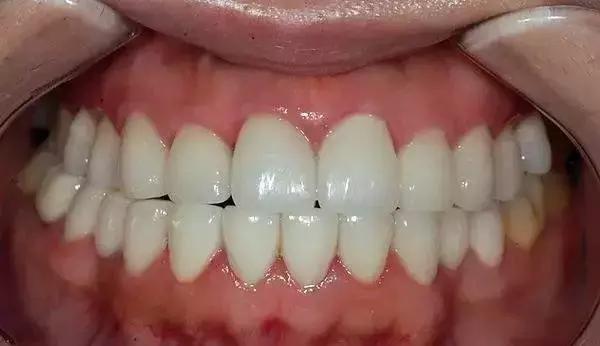
其实贵金属烤瓷牙和全瓷牙对人体没有害处,但是全瓷牙修复更美观,与原牙相似,修复后牙龈边缘表现更加自然,当然,价格也会贵一些,费用大约在4500左右。

无论是哪种材料,选择一家有资质的医疗机构才是关键!综合自身情况,选择适合你的烤瓷牙,如果你对烤瓷牙还有什么疑问?欢迎关注【齿康口腔】,我们乐意为你效劳,还不定期有惊喜哦~
