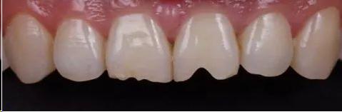
有一部分人发现自己的上牙门牙出现了"v"形的牙体缺损,既影响了口腔美观,也会出现吹风酸痛的症状,在一定程度上影响了患者的正常生活。而这种前牙的部分磨损的成因,经常会出现在喜爱嗑瓜子、用牙开酒瓶盖、以及习惯性咬钉子的手艺人身上,一般可以称之为"瓜子牙"。

而从医学角度来讲,"瓜子牙"就是前牙牙体出现的慢性磨损,主要是患者的不正确的用牙习惯所导致的。牙齿是用来咀嚼的工具,有一定的硬度,但是过硬的物质也会伤害到牙齿。如果给前牙施加了过大的外力,长此以往,很容易使得牙釉质受到过度磨损,从而出现肉眼可见的"v"形缺损。

出现"瓜子牙",患者所经受的负面影响可不少:
1,影响牙齿美观。微笑可以直接展现一个人的精神风貌,而前牙出现明显的牙体缺损,首先影响到的是患者的面部美观。
2,牙釉质磨损,牙体缺失。这样是很容易让细菌积累且侵入的。一旦侵入过多的细菌,如果吹冷风,患者可能会出现牙齿酸痛,过冷、过热、过酸、过甜的食物可能都无法进食,这会影响患者的用牙体验。
3,容易引发牙齿内部炎症病变。如果患者的牙体缺损部分过多,有可能会将牙体内部暴露出来,致使细菌感染进髓腔内部,患牙髓炎的几率就会大大增加,而如果细菌深入到患者的根尖周,那么就会引发根尖周病,这样对患者的牙神经会造成很严重的损伤。
4,可能会引发牙齿隐裂、龋齿。牙体如果受到强烈的外力,可能不止会导致牙体形成缺损,也有可能在牙齿内部形成隐裂,这样牙齿就会面临着更为严重的缺损甚至是掉落。就算牙齿隐裂不会引发牙齿脱落,但是细菌就更容易侵入至牙体的内部,积累下来就会造成龋坏,如果龋坏逐渐深入达到牙体深层,也会造成牙齿脱落。


"瓜子牙"看起来是小问题,但是会留下大隐患。针对"瓜子牙",我们会建议患者这样进行补救:
1,及时纠正不正确的用牙习惯。尽量不要长时间嗑瓜子,咬开瓶盖也不可取、更不要说咬钉子了,给牙齿施加太多的外力都是不正确的。
2,发现牙体缺损缺损及时进行修补。如果出现肉眼可见的"瓜子牙",那就及时到医院进行补牙,用复合树脂的填补材料及时将缺损部位填补完整。

3,如果缺损部分过多,检查牙齿内部是否病变。如果破损部位深入到牙体髓腔或者是根尖部位,要先确诊是否感染炎症,如果感染了牙髓炎或者是根尖周炎,需要先治疗炎症,之后再进行牙体的填补修复。
4,如果缺损部位过大,可以考虑进行烤瓷冠修复。如果及时到医院进行修复,发现缺损的部位过大,而牙齿内部未感染炎症,患者可以考虑采用烤瓷冠技术来修复缺损的牙体。

"瓜子牙"是可以避免也是容易治疗的口腔问题,最好的是养成良好的日常用牙习惯,不要用牙齿嗑硬物,如果出现牙体缺损,一定要及时到医院诊治,避免引发其他的口腔疾病。
