脖子突然长痣是癌症的症状 (背上的痣长大了会变癌症吗)

身上长痣怎么查是不是癌症,背上的痣长大了会变癌症吗

几乎每个人身上都会长“痣”。除非它们长在特定部位上影响了颜值,否则我们很容易忽略痣的存在。殊不知,你肉眼看到的是“痣”,它还可能会发生恶性癌变

就有一位王女士快30岁的时候,脸上的黑痣发生了恶性癌变,差点危及性命。过去,这颗黑痣不到5毫米,大概长在右脸颊靠近耳垂的位置。虽说有些影响美观,但不痛不痒,王女士便没有怎么在意。

身上长痣怎么查是不是癌症,背上的痣长大了会变癌症吗

自从她的女儿喜欢上摸王女士脸上的那颗痣以后,不到半年的时间,这颗痣就长到接近1厘米了。之后这颗黑痣继续变大,边缘变得不规则,摸上去也像起了个小疙瘩。除了视觉和触觉发生了变化,痣的周围还时常会发痒。

王女士意识到不对劲,便赶紧到医院检查,结果确诊为恶性黑色素瘤。所幸发现得早,医生为其进行了手术切除。

其实类似痣发生癌变的报道并不罕见,这不禁让人担忧我们身上都有的痣会不会是一颗颗“不定时*弹炸**”?所以,不妨让我们来探讨一下,痣是怎样的“长”出来的、究竟是什么样的痣可能会癌变。

身上长痣怎么查是不是癌症,背上的痣长大了会变癌症吗

在医学上,痣常被称作痣细胞或黑素细胞痣,属于一种局限性的皮肤色素异常。人体之所以会长“痣”,是因为人体表皮、真皮内黑素细胞增多引起的皮肤表现。一般来说,健康*皮人**肤上平均能够有15到20颗痣。我们身上的有些痣是先天存在的,有些痣则是后天自然长出来的。大多数痣是在儿童和青少年时期出现。

如果你仔细观察,就会发现痣有五花八门的形状。它们既可以是平的,也可以是半球状、乳头状,又或者是蒂状的。一般我们会把最常见的小痣叫做“斑痣”。而痣上生有毛发或是稍微有点鼓起来的则叫做毛痣。

身上长痣怎么查是不是癌症,背上的痣长大了会变癌症吗

我们常见的痣是黑色的,但其实细胞内色素的种类、含量不同,痣的颜色深浅也有所不同。所以痣的颜色还可以呈现出蓝黑色、褐色、棕色、以及和皮肤同样的肉色等。这当中,较为常见的是红色的“朱砂痣”。它通常都是隆起的,颜色鲜红是因为黑色素细胞的聚合体中连通了毛细血管所导致的。

需要注意的是,很多人生来脸上就有很多黄色的疙瘩并不是痣,那些斑点其实就是雀斑。虽说雀斑不属于痣,却同样也是黑色素细胞造成的。不同的是,黑色素细胞并没有大量增殖,只是分泌的黑色素增多了,造成了色素沉积。

身上长痣怎么查是不是癌症,背上的痣长大了会变癌症吗

早在中学课本上,我们就知道黑色素是机体内的生物滤光器,能吸收大部分有害的紫外线。它能够保护和减轻由于日光引起的急性和慢性皮肤损伤。正是由于黑色素的存在,我们的皮肤、毛发和瞳孔才有了颜色。

而人类合成黑色素的细胞,正是会堆积成痣的黑素细胞。黑素细胞最早来源于胚胎形成早期时的神经嵴。在胚胎形成早期,原始的黑素细胞就开始向表皮方向移动了,但此时的黑素细胞并未成熟,既没有树枝突,也没有黑色素产生。

直到胚胎4到6月时,黑素细胞才形成树枝突,并能合成和输送黑素小体到表皮。成熟的黑素细胞,形态有点像一只倒立的章鱼。

身上长痣怎么查是不是癌症,背上的痣长大了会变癌症吗

黑色素细胞

正常状况下,黑素细胞位于表皮基底层,每8到10个基底细胞中就嵌有一个黑素细胞,然后它再通过树枝突与四周数十个角朊细胞相联系,构成一个表皮黑素单元。每个成熟的黑素细胞都有两个或多个树枝突,能输送黑素小体(黑素细胞内制造黑色素的细胞器)到表皮。因此,黑素细胞大多均匀分布在皮肤中。

而色素痣,则是黑素细胞数量增多,并抱成一团(痣细胞团)形成的。简单来说就是,色素痣的本质就是个良性肿瘤。

不过如果有一天,色素痣受了什么刺激想不开,细胞核开始出现异常,并且疯狂增殖,甚至想要通过淋巴管、血管扩散到全身,它就变成了一个恶性黑素瘤。

身上长痣怎么查是不是癌症,背上的痣长大了会变癌症吗

那我们应该如何分辨是良性还是恶性的呢?目前认为,良性的“痣”一般表面较为光滑,大都呈圆形或卵圆形,体积小于一块普通的橡皮擦。

而判断痣具有潜在癌变的标准是“ABCDE”法则。五个大写字母代表了痣的五大异常特征,分别是:对称性差(Asymmetry)、边缘模糊(Border)、颜色混杂(Color)、直径较大(Diameter)、动态变化(Evolving)。

具体说来,对称性差指的是痣的形状一边和另一边不太一样。边缘模糊则是痣的边缘参差不齐或有切迹、锯齿等。颜色混杂指的是痣有可能表现为黑色、褐色、棕色、蓝色甚至粉色、白色等多种不同颜色;直径较大指的是当痣的直径大于5-6mm或长大时要注意,尤其要留心直径大于5mm的痣;

动态变化指的是痣时不时出现颜色,形状上的变化。比如多年不变的“痣”短时间内发生显著增大,或是出现疼痛、瘙痒等症状。如果出现以上一到两个特征时,就有必要及时就诊,以确定是良性痣还是恶性瘤了。

身上长痣怎么查是不是癌症,背上的痣长大了会变癌症吗

ABCD规则图示:在左侧从上到下:黑色素瘤显示(A)不对称(B)边界是不均衡的,破烂的,或缺口(C)褐色,黑色或棕褐色和不同色调的色素(D)是有改变大小直径。在右侧正常痣没有异常的特征(没有不对称,平滑的边界,平滑的颜色,直径没有变化)。

对于生有“恶性”痣的人来说,如果在日常生活中稍不注意,经常摩擦痣的表面或者在太阳下曝晒,又或者觉得影响美观而用一般祛痣方式将其除掉,那么很有可能将导致“痣”迅速癌变成黑色素瘤。

黑色素瘤是皮肤癌的一种,它的转移速度是三大皮肤癌中最快、最致命的。如果发现得早,痊愈的可能性是非常大的。然而一旦发展到晚期,黑色素瘤将会有可能转移到淋巴结、肺部、肝部、肾部,甚至脑部等部位,危及人的生命。

据科学研究显示,右手臂上拥有超过11颗痣的人是黑色素瘤的高危险群。不过好在痣是色素细胞异常生长的结果,但这种生长通常受限,因此绝大多数不会癌变。

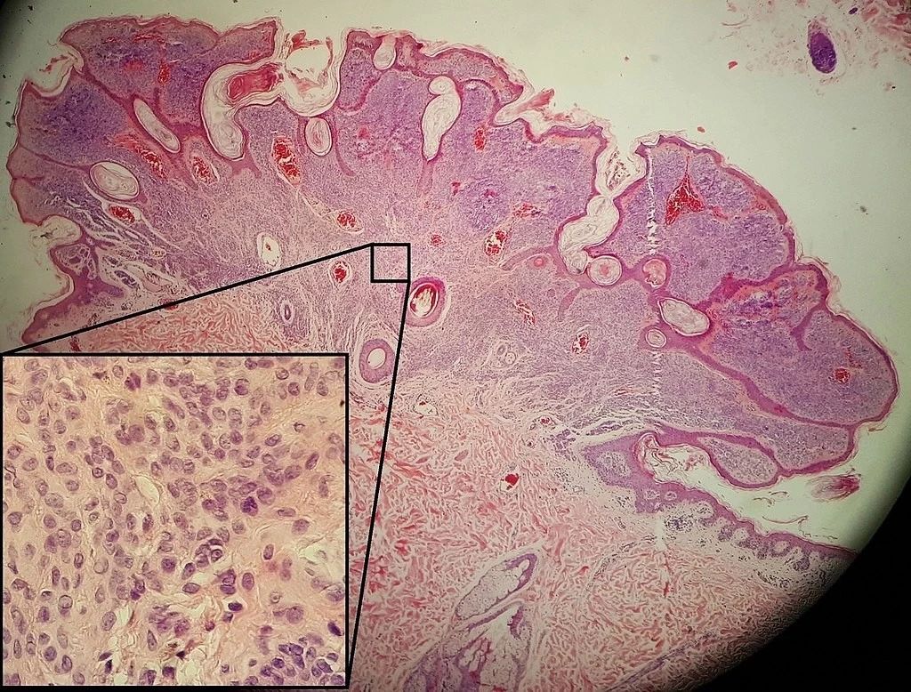
身上长痣怎么查是不是癌症,背上的痣长大了会变癌症吗

皮内黑素细胞痣的显微照片

不过在特殊情况下,如过度紫外线照射和先天性DNA损伤修复能力不足等,可导致色素细胞基因突变而引发失控性生长,最终发展为黑色素瘤。

此外,有些色素痣变成黑色素瘤的机率大。首先是位于鼻腔、口腔黏膜、手掌、足底、脚跟、肛门、生殖器等特殊部位的色素痣。由于经常摩擦容易发生恶变。其次是头部、颈部,因长期阳光暴晒,这些部位的痣也会发生病变。

如果这些部位的痣面积或体积突然增大,或近期突然颜色变深、变黑,比如褐色突然变黑或变蓝;痣上突然出血溃烂,黑痣四周出现新的小黑点,就应尽早到医院诊治。而对一些先前存在的黑痣,在某些外伤或不良刺激下,比如随意抓挖,也容易促使其恶变,常导致黑色素瘤的发生。

身上长痣怎么查是不是癌症,背上的痣长大了会变癌症吗

黑色素瘤

相对于其他恶性肿瘤,黑色素瘤其实更容易早发现,毕竟用肉眼就能看到。可由于绝大多数人身上的绝大多数痣均为良性痣,所以从中发现极少数恶变也并非易事。

那我们要如何正确预防痣的癌变?很遗憾,目前还没有从根本上避免痣的生成的方法,因此需要做好预防癌变的工作。定期皮肤自检、经常关注痣的变化是预防黑色素瘤的有效方法。

身上长痣怎么查是不是癌症,背上的痣长大了会变癌症吗

临床经验认为,女性黑色素瘤常发部位是胳膊和腿;男性黑色素瘤常发部位是背部、躯干、头部和颈部,所以对于这些部位痣的变化应格外注意。成年后,新痣的突然出现或旧痣的突然生长也需要高度关注。不过也无需过度恐慌,我国的黑色素瘤发病率是相对较低的,只是平时需要多留个心眼而已。

在中国,我们会经常听到关于痣的位置的话题,涉及到什么人生幸福、能否发大财等等,但这些都是没有依据的。目前科学上仅发现痣和激素水平有潜在关联,性激素水平可能影响痣和乳腺癌的发生,皮肤上痣越多的女性罹患乳腺癌的风险越高,但也仅是轻度增高而已。

身上长痣怎么查是不是癌症,背上的痣长大了会变癌症吗

那最后,我们要不要去点痣呢?科学上的建议是,在无法判断痣是良性还是恶性的情况下,我们要么不动它,要么就手术切掉。最好不要用激光,也不要用腐蚀类药水点,因为这些都有可能增大癌变风险。

总之,如果你想要将身上的“痣”消灭,最安全的方法还是去医院。

身上长痣怎么查是不是癌症,背上的痣长大了会变癌症吗

脸上长了28年的痣癌变了原因竟是女儿经常摸 2019-04-04 来源: 新华网

Daniel S. Gareau et al. Digital imaging biomarkers feed machine learning for melanoma screening, Experimental Dermatology (2016). DOI: 10.1111/exd.13250

Association between Cutaneous Nevi and Breast Cancer in the Nurses’ Health Study: A Prospective Cohort Study.

Guidelines of care for the management of primary cutaneous melanoma. American Academy of Dermatology.J Am Acad Dermatol. 2011 Nov;65(5):1032–47.

作者:郭晓强(博士、生命科学领域科普作家)这样的痣可能变成“癌中之王”?把痣点掉能预防吗?来源于科普中国