
幸而,她虽然接受的手术不完全成功,但现在已经又活了一年半,祝安康吧。
作者丨文烈心
来源丨医学界心血管频道
医学是科学,但临床医学有时没法完全遵从条规,因为医疗原则具体到某个特殊个案,可能根本不具实际可操作性。而患方,面对的恐慌无助,你也许真的不懂。
某友分享了这么一组影像图片。

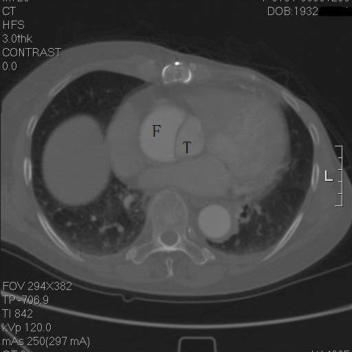
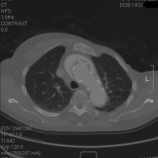
患者是一例A型主动脉夹层,上图中F示假腔,T示真腔,这没什么奇怪。但仔细一看,胸骨的边缘具有高密度影,中间还有一小片低密度区,这例病例接受过前胸正中开胸的手术。
是的,回顾其病史,她一年半前,罹患A型主动脉夹层,第一内膜破裂口在右冠上方,夹层延续到弓部,在弓上分支开口处撕裂形成了出口,她接受了一种显得有些奇怪的术式。

往上阅片,假腔内竟然有一个支架影!

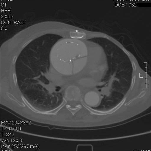
再往上,这个支架竟然是骑跨在真假腔之间的!

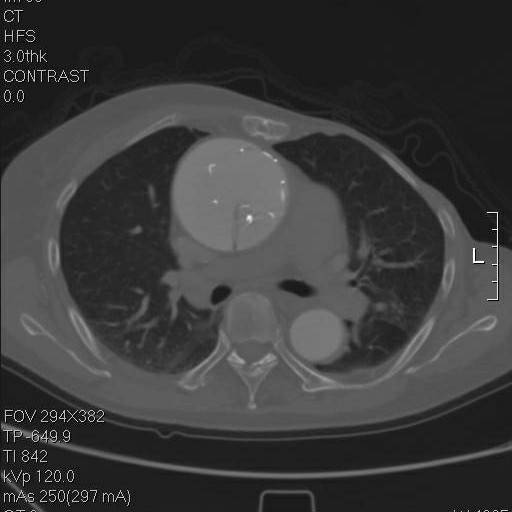
这个层面,支架终于完全在真腔内了,但假腔基本没有闭合。

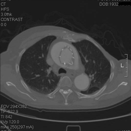
到弓部可以看到,支架远端贴得倒还可以

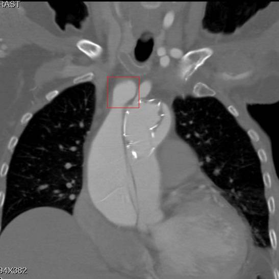
冠状面重建,方框示头臂干看上去完全开口于假腔,左颈总似乎被支架盖住了

矢状面重建,胸骨钢丝很明显,方框示左颈总动脉,支架前端在假腔,后端在真腔。圆框示闭塞的人工血管

方框示左左锁骨下动脉,重度狭窄
这确实是一个很奇怪的病例。通常A型主动脉夹层,应该尽快外科手术,一般升主动脉是要部分或全部置换的,这是最基本的手术内容,如果根部,即主动脉窦、主动脉瓣或冠脉开口有受累,那么要加上相应部位的置换或重建,弓部是否要处理,倒是急迫性更小。
但这个病例,她接受的术式显然非比寻常。
细读其原手术记录,术式是杂交手术。于升主动脉内植入一枚覆膜支架,覆膜支架倒装,即植入前将覆膜支架从输送系统中拆出,前后颠倒,并预开窗。支架前端定位在第一内膜破口和冠脉开口之间,该例第一内膜破口和右冠开口有一定距离,作为前端锚定区。先作左锁骨下动脉—左颈总动脉—头臂干人工血管搭桥。支架后端定位在主动脉弓上,为达到良好后端锚定,但避免造成脑部缺血,故在弓上分支开口相对的支架部位剪除且覆膜作预开窗。如果预开窗对位效果不佳,只要左锁骨下动脉没有覆盖,还可通过预先做好的人工血管搭桥为脑部供血。支架从股动脉植入。
开胸的目的有二,一为更好定位,二更重要,如果介入失败,可以快速方便的进行补救。术中按预期植入覆膜支架后,复查造影,见前端锚定良好,弓上各动脉血供良好,升主动脉假腔显影稀少。
术毕即刻,可以认为手术是基本成功的。以介入为主的杂交手术,也大大减少的手术创伤。
但医疗上出现非比寻常,一般是要带来争议的。友人看到,A型主动脉夹层放支架,某种程度已经是胆大妄为,而且这支架都滑入假腔,根本没有起到任何治疗作用,病人没有死在手术台上真属万幸。
但,请各位注意,病人的出生日期是1932年,左侧乳腺接受过乳腺癌根治术,有多次放疗史。确实,她接受的术式绝非A型主动脉夹层的目前的标准治疗,但目前国内又有几位超过70岁的A型主动脉夹层病人接受过体外循环下的标准手术,哪怕为了减少创伤,主动脉远端吻合不开放,不采用深低温停循环,高龄加胸部放疗史,也会让人望而却步。
难道这样的高龄高危病例只能期盼自己碰到的是一例特别温柔的A型主动脉夹层,确实,A型主动脉夹层不手术有活下来的,但少之又少,也别告诉我2006年DeBakey,对的,就是那个创立主动脉夹层DeBakey分型的大名鼎鼎的先驱,以98岁高龄成功接受自己创立的主动脉外科手术治疗A型主动脉夹层,成为当时接受该类手术最高龄的病例,住院8个月,花费超百万美元。
当病魔袭来,对于我们在讨论的这位老太,她的家人的惶恐,也许我们没法感同身受。
至少她接受的术式展现了一丝曙光,希望技术进步,这个术式能逐步完善。