动不动就长一嘴泡,甚至说舌尖、舌边上也有,一旦发作,吃不好,睡不着,怎么才能摆脱这种痛苦呢?今天刘医生分享四个方法帮你解决。

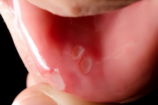
其实在中医看来,口腔溃 疡的根本在于体内有火,火邪聚集在口腔,灼烧黏膜、舌面,最终引起口疮,也就是我们说的口腔溃疡,接下来我就分情况给大家讲解。

如果说你的嘴里、舌尖、舌面上突然出现大小不等的溃烂,很红,连牙龈也是红肿的,甚至伴有黄黄的分泌物。平时生活压力大,吃饭口味偏辛辣油腻。发作的时候还会感到口干、口渴,嘴里还有臭味,甚至出现了发热。去厕所会发现大便偏干、小便发黄。 这是因为肺胃里面有火了 ,火邪上走没有出路排泄,最终灼烧皮肤,引发了溃烂,这时候我们可以参考一味黄连上清片。

第二种情况是心火 。黄帝内经中曾记载道:诸痛痒疮,皆属于心。如果你是这种情况,你会发现溃烂发红,舌尖也是烂的,整个舌头都偏红。嗓子发干、疼痛。心里还莫名奇妙感觉到烦躁,看谁都不顺眼,睡觉的时候翻来覆去难以入睡。这时候我们可以参考一味导赤丸清清心火。

第三种情况是湿热引起的 ,这类人通常也是舌面溃烂,口腔粘膜上有一两个较大的创面。伸出舌头一看,舌头红,舌苔黄腻。还伴随着胃口差,腹中胀满。整个人都很懒,四肢沉重,不想动弹。大便片稀,上完厕所会感觉屁股有一种烧灼感,这多发生在喝酒之后,这时候我们可以参考一味清热祛湿颗粒清清体内的湿热。

以上三种情况都是实火,其实虚火也会导致口腔溃疡 。如果你的口腔溃疡总是来得莫名其妙,反复发作,仔细观察疮面红肿并不明显,只有周围一圈,中间偏白,平时还总感到手脚心发热、晚上睡不着,一睡着就出汗,甚至还出现了一过性的耳鸣耳聋,这多见就是虚火了。虚火的根源在于肾阴虚,所以我们可以参考一味滋肾阴、清虚热的知柏地黄丸。

除了对应的参考药物,我们还应该调整自己的作息规律,少熬夜,养成健康的饮食习惯,减少饮酒、饮食清淡,不暴饮食。如果还有关于口腔溃疡的问题可以留言,关注我,教你更多中医知识。