文献:Chopra A, Avadhani V, Tiwari A, Riemer EC. Granulomatous lung disease: clinical aspects. Expert Rev Respir Med. 2020 Oct;14(10):1045-1063.

摘要
序言: 肉芽肿性肺病(GLD)是一组异质性疾病,可被广泛分为感染性或非感染性。这一区分十分重要,因为误诊GLD可能会带来严重后果。在本文中,我们描述了GLD的临床表现、组织病理学和诊断手段。我们提出了一个区分感染性和非感染性GLD的流程。
涵盖的领域: 我们搜索了1950年至2019年12月的PubMed和Medline数据库,使用了如下所述的多个关键字。所涵盖的主要GLD主要由分枝杆菌和真菌、结节病、过敏性肺炎和血管炎引起。
专家意见: 感染性GLD的病因通常是通过微生物培养和分子技术来确定。大多数非感染性GLD根据临床和实验室标准诊断,通常要排除感染性病原体。对肉芽肿反应的免疫发病机制的进一步了解可能有助于对GLD的诊断和治疗。
关键词: 肉芽肿性肺病、诊断、结核分枝杆菌、非结核分枝杆菌、真菌感染,结节病、肉芽肿性多血管炎、慢性铍病,过敏性肺炎和血管炎
文献要点:
- 肉芽肿形成的免疫发病机制涉及到抗原呈递细胞吞噬和抗原处理,从而导致细胞因子释放的级联反应,导致淋巴细胞和巨噬细胞前体的聚集,从而融合并形成肉芽肿。
- 肉芽肿性肺病的诊断通常需要寻找潜在的传染性病原体,了解包括临床表现在内的中间病史,仔细检查组织学材料,并可能补充实验室检查。
- 结核分枝杆菌(MTB)是感染性肉芽肿性肺疾病最常见的病因,也是这些疾病最常见的死亡原因。
- 尽管结核分枝杆菌肺部感染通常表现为肉芽肿内的干酪样坏死,但这种组织学类型对结核诊断的敏感性或特异性不高。
- 在发达国家,非结核性分枝杆菌肉芽肿性肺病比肺结核更为普遍,且最常见于具有基础结构性肺病的免疫正常个体和免疫受损的宿主。
- 结节病是最常见的非感染性肉芽肿性肺病。
- 尽管肺结节病典型的组织学类型是非干酪样坏死肉芽肿性炎症,但这种类型对于结节病的诊断敏感性或特异性较低;结节病的诊断通常需要适当的临床-影像学表现、肉芽肿性炎症的存在并排除其它原因的肉芽肿性炎症。
- 结节病样反应可由各种药物和恶性肿瘤引起,这些在临床和组织学上与结节病不能鉴别。
01
引言
肉芽肿性肺病(GLD)是一组异质性疾病。由于GLD的病因多种多样,所以作出明确的诊断十分重要,因为GLD的误诊不仅可能延误其适当的治疗,而且可能导致不适当的治疗措施,并可能造成严重后果。在本文中,我们描述了GLD的临床和组织学表现,讨论了这些疾病的诊断路径,并简要地讨论了这些疾病的治疗。
02
肉芽肿的免疫发病机制概述
肉芽肿性炎症的免疫发病机制十分复杂,并不能完全理解。这个主题的详细综述超出本文的范围,但在这里讨论的是关于肉芽肿形成机制的简要概述。由于许多疾病导致肉芽肿性炎症,很可能有几种不同的机制参与了肉芽肿的发生。
肉芽肿被认为是由异物触发引起[1]。在感染性肉芽肿的病例中,这种触发通常是一种微生物的抗原。肉芽肿也可由无生命抗原、肿瘤抗原[2]或自身抗原[3]的反应而形成,可能是异常免疫反应的结果[4]。
典型的肺肉芽肿是结核分枝杆菌(MTB)诱导的结核病。这些微生物被肺泡巨噬细胞和树突状细胞吞噬[5]。在吞噬过程中,包括Toll样受体在内的几种受体与分枝杆菌蛋白相互作用,最终导致细胞因子如TNF-α,白介素-1,白介素-12和RANTES的释放,这些因子诱导T辅助淋巴细胞进入侵袭部位[6]并激活T辅助淋巴细胞[7]。这导致附加细胞因子的进一步释放,包括MCP-1、MCP-1α、CCL-2、CCL-3、CCL-4、CCL-5和许多其它细胞因子,这些细胞因子将外周血单核细胞聚集到炎症部位并引起T细胞增殖[8,9]。聚集的单核细胞分化为巨噬细胞,而增殖的淋巴细胞则置于其周围,形成肉芽肿的基本结构。许多附加的细胞因子增强了所嵌入分枝杆菌的细胞内*伤杀**。
尽管与其它疾病相关的肉芽肿性炎症的免疫发病机制与结核病不同,但形成肉芽肿的基本原理是抗原被呈现的细胞吞噬和加工,从而释放细胞因子,募集淋巴细胞和单核细胞进入该区域。肉芽肿的形成被认为是一个有利的事件,因为它导致了侵袭性抗原从宿主组织中消失,并且增强了抗原的杀灭/灭活。
03
肉芽肿性肺病(GLD)的鉴别诊断
3.1 感染性病原体
感染是全球GLD最常见的病因[10-14]。与GLD相关的最常见的病原体是分枝杆菌和真菌[10-14]。这些感染的发生率因地理位置不同而有所差异。总的来说,分枝杆菌肺部感染比真菌性肺部感染更为常见,主要是因为结核分枝杆菌常见,普遍存在且发生在具有免疫能力的宿主,而许多真菌性肺部感染主要发生在免疫抑制的个体中。
3.1.1 肺结核
MTB是最常见的感染性GLD[10,13,15]。MTB可能是世界上最致命的肉芽肿性疾病。2017年,全球CDC报告了1,000万新发MTB病例,导致160万人死亡。MTB是导致人类免疫缺陷病毒(HIV)感染患者死亡的主要原因[16]。
MTB感染患者通常在确诊前数周至数月出现隐匿性症状。咳嗽、体重减轻、疲劳、发热和盗汗是MTB感染最常见的症状,出现在半数病例中。较少见的症状包括胸痛、呼吸困难和咯血,发生在四分之一的MTB感染者中[17]。
传统上,活动性结核病被分类为原发性结核或继发性结核。原发性TB被描述为新发的活动性TB,发生于以前未感染的幼小宿主。继发性TB代表既往的分枝杆菌感染灶的复发,该分枝杆菌感染灶在原发感染时被控制(“隔离”)。大部分成人结核病例为继发性肺结核。原发性和继发性肺结核被认为有不同的胸部X线表现。原发性TB影像学表现包括肺门和纵隔淋巴结肿大、胸腔积液和孤立性肺结节。继发性/复发性TB的典型影像学表现包括局灶性肺实质阴影,常伴有上叶尖后段空洞或下叶背段空洞,支气管内播散和胸膜受累的证据[18]。原发性结核和继发性结核的影像学差异在大多数病例中较为典型,但在有人类免疫缺陷病毒(HIV)感染的病例中,其不典型的影像学差异较为常见[19]。
MTB感染的组织学特征典型的表现为肉芽肿内发生干酪样坏死(详见下文)。然而,这种组织学类型常不能与非结核分枝杆菌(NTM)和真菌引起的肉芽肿性炎症相鉴别。此外,非干酪样肉芽肿性炎症的存在可能在20%的MTB病例 [21]。因此,MTB感染的诊断不能单靠组织学依据来确定[21-23],需要感染组织中MTB的证据。
表2描述了肺部MTB感染的各种诊断性检测。常规培养法使用Lowenstein-Jensen培养基是鉴定MTB的非常敏感的方法,能检测到每毫升10个细菌,其敏感性和特异性很高。培养方法可鉴定特殊的分枝杆菌属并确定药物的敏感性。然而,培养技术的主要缺点是这些微生物需要3~8周才能生长。分枝杆菌在液体培养基中生长更快,通常在1~3周内[24 ]。有几种超速的分子方法可用于检测MTB和鉴定常见的耐药性。两种主要的分子检测法是基于探针的核酸扩增试验(NAA)和基于序列的检测法,如Xpert® MTB/RIF。NAA扩增一种特异性核酸序列,可以通过核酸探针检测。NAA是一种高度敏感和快速的方法,能够鉴定MTB;其在24至48小时内检测到1-10条/ml的杆菌[25]。在阳性涂片标本中,NAA对于区分MTB和NTM具有很高的阳性预测值(>95%)。Xpert® MTB/RIF是一种特异性NAA,可在2小时内确诊MTB并同时评估MTB对利福平的耐药性[26-29]。表2概括了肺部MTB感染的各种检测的诊断精确性[30-33]。
表1.肉芽肿肺病的病因

表2. 肺结核的各种诊断性检测的敏感性和特异性

3.1.2 非结核分枝杆菌肺病
NTM是无处不在的微生物,常存在于停滞的水或土壤中。在工业化国家和发展中国家,非结核分枝杆菌(NTM)引起的肺部感染被认为是一种新出现的公共卫生问题[34-37]。目前,全世界已描述了150种不同类型的NTM;然而,它们中的致病性相对较少。NTM肺部病最常由鸟分枝杆菌复合群(MAC)、堪萨斯分枝杆菌和脓肿分枝杆菌引起[38]。
尽管NTM通常不致病,但这些微生物可能在有基础结构肺部疾病的免疫正常个体和免疫受损的宿主中引起明显的肺部损害[38]。免疫功能正常的宿主NTM肺病的临床表为非特异性,典型的症状包括发热、咳嗽、呼吸困难、疲劳和体重减轻[39,40]。大多数免疫力正常的NTM肺部感染患者有潜在的结构性肺部疾病,如慢性阻塞性肺疾病或支气管扩张,从而使NTM的诊断具有挑战性。NTM肺部疾病的常见影像学表现包括肺上叶纤维空洞感染、结节性支气管扩张和右肺中叶综合征(Windermere夫人综合征)[38,41]。为了区分NTM定植和侵袭性感染,美国胸科学会(ATS)和美国感染性疾病协会(IDSA)指出,NTM肺部感染的诊断需要有肺部症状、持续的影像学表现异常和NTM培养阳性,同时排除其它潜在的病因[42]。
免疫受损的病人,如获得性免疫缺陷综合征(AIDS)的病人,表现为一种更具侵袭性的播散形式,血液、骨髓和胃肠道可能被感染,肺部常继发感染。这些病例的症状包括发热、盗汗、体重减轻、腹泻和弥漫性淋巴结病[43]。
热浴缸肺病(HTL)是一种由吸入含非结核分枝杆菌(NTM)的水气溶胶引起的弥漫性肉芽肿性肺病,特别是鸟分枝杆菌复合群[42]。目前,关于HTL是否应被视为对分枝杆菌抗原引起的过敏性肺炎,还是侵袭性分枝杆菌感染或兼具两者尚存在争议[44]。HTL通常发生在免疫功能正常的患者,这些病人暴露于停滞(非排水)的水源中,NTM有足够的时间产生大量气溶胶物质。这些非流动水源包括热水浴缸、游泳池,偶尔还有家庭淋浴间。HTL的临床表现与过敏性肺炎相似(参见下文),常见症状为阵发性发热和逐渐发作的咳嗽和呼吸困难。HTL的典型CT表现包括小叶中心结节和磨玻璃衰减区域以及空气潴留。HTL一般预后良好,许多患者在避免暴露后数周内恢复[45]。重症难治性HTL病例可能需要同时进行抗分枝杆菌治疗。
3.1.3 真菌感染
与肉芽肿性肺病有关的地方性和非地方性真菌感染种类繁多。这些真菌具有热双相性,在环境中以霉菌相存在,在人体中则以酵母相存在。作为人类病原体并可导致GLD的地方性真菌病包括芽生菌病、球孢子菌病、组织胞浆菌病、副球虫病、青霉病和孢子丝菌病[46]。在美国最常见的病原性地方性真菌是组织胞浆菌病、芽生菌病和球孢子菌病。地方性真菌感染的流行病学存在相当大的地理差异[47]。
肺部真菌感染的风险和严重程度取决于宿主的免疫状态、真菌种类、暴露于真菌接种物的持续时间和严重程度[15]。肺部真菌感染的临床表现有自限性无临床症状的感染或流感样疾病,在免疫受损的宿主中的播散性威胁生命的疾病。这些病原体往往会在免疫功能低下的宿主中导致发病率和死亡率显著升高,包括患有以下疾病的宿主:血液系统恶性肿瘤、接受免疫抑制药物治疗的宿主、白细胞减少伴中性粒细胞或淋巴细胞功能障碍的宿主,以及实体器官和造血干细胞移植受者[46,48,49]。肺部真菌感染的影像学表现为有或无肺空洞的弥漫性肺结节、实变、团块样阴影(图1)和弥漫性肺部阴影。

图1:肺芽生菌病患者胸部CT扫描显示团块样密度影。图A代表CT扫描的横截面,图B显示所选择CT图像的放大图。
由于免疫受损患者的播散率和死亡率较高,因此必须早期开始适当的治疗。当临床上高度提示有侵袭性真菌病原体时,即使在未鉴定真菌的情况下,也应谨慎地给予经验性抗真菌治疗。由于临床医生认识不足、非特异性临床表现、缺乏合适的实验室检查、真菌分离的困难、培养物生长率低以及免疫受损患者血清反应性低,地方性真菌病的诊断可能面临挑战[46]。总而言之,抗真菌抗体的血清学试验敏感性较低,某些地方性真菌病(球孢子菌病)的敏感性为21~56%[50]。检测除血液外的各种生物标本中的抗原可能具有较高的敏感性,尤其在播散性真菌感染的病例中。例如,尿抗原对免疫受损患者的播散性组织胞浆菌的敏感性>95%,而血清抗体检测敏感性<50%[51]。应尽可能地进行感染组织的组织学检查。真菌感染相关的肉芽肿与MTB或NTM感染相关的肉芽肿不能区分[21-23]。因此,鉴定这些微生物需要特殊的染色,如六胺银染色(GMS)。
隐球菌和曲霉菌是非地方性真菌病,可与肉芽肿性肺部反应有关。肺隐球菌病最常由具有荚膜酵母菌的新型隐球菌引起。隐球菌性肺炎可发生于免疫功能正常和免疫功能低下的患者。免疫受损的个体可发生播散性隐球菌病,而具有免疫能力的患者常有局限性、自限性疾病.[52]。隐球菌肺炎的诊断是基于对具有适当临床表现的患者组织、血清或支气管肺泡灌洗标本中的病原体的分离或隐球菌抗原的检测。曲霉菌是一种非地方性真菌,其分隔菌丝呈锐角分叉状。烟曲霉是人类的主要病原体,可引起多种肺部疾病,从免疫功能正常宿主的无症状感染到免疫功能低下宿主的侵袭性曲霉菌病;然而,肉芽肿性反应很少被描述为与某些曲霉菌病有关,如慢性坏死性曲霉菌病(CNA)[53-55]。
3. 2非感染性GLD的病因
GLD的非感染性病因包括结节病、药物诱导的结节病样反应、恶性肿瘤的结节病样反应、血管炎、过敏性肺炎、慢性铍尘病和常见变异免疫缺陷。非感染性GLD常用免疫抑制疗法治疗,因此,将感染性GLD误认为非感染性GLD可能会产生严重后果。
3. 2.1 结节病
结节病是最常见的非感染性肉芽肿性疾病。该病呈世界范围分布,在某些人群中发病率特别高,如北欧[56]和美国东南部非洲裔美国人 [56,57]。结节病是一种不明原因的多系统肉芽肿性疾病。结节病可累及任何器官。肺是最常见的结节病受累器官,大约占结节病患者的90%[58,59]。皮肤和眼睛是出现症状性结节病的其它常见器官[58,59]。尽管临床上只有5%的病例涉及心脏结节病[58],但在各种系列研究中,其是结节病死亡的主要或第二常见原因[60,61]。
结节病的表现体征和症状呈多样性,这是由于可能与该疾病受累的众多器官以及该疾病的不同严重程度。肺结节病可表现为呼吸困难、咳嗽、喘鸣或胸痛[62 ]。眼结节病可表现为红眼、眼痛、干眼、畏光和视野缺损[63 ]。此外,结节病的肉芽肿性炎症可能不引起症状,因此,基于异常影像学研究的无临床症状表现很常见。肺结节病的一个常见的无临床症状表现是胸部X线片上双侧肺门淋巴结肿大,没有B型症状(发热、夜间出汗或体重减轻)[64]。尽管淋巴瘤和肺结核也可能出现这种影像学表现,但当没有B症状时,这种表现代表结节病的几率估计约为999/1000[.65]。肺结节病的另一个相当具体的影像学特征表明,诊断是沿着支气管血管束和胸膜下淋巴管周围分布的微结节[66]。
偶尔,病人可出现结节病的特殊临床和影像学特征,在不进行确诊性活检的情况下,可以确定诊断。这些情况包括:a)胸部X线片上如前所述的双侧肺门淋巴结肿大,无B型症状; b) Lofgren’s综合征:胸部X线片显示双侧肺门淋巴结肿大,结节性红斑皮肤损害,常有发热和踝部周围性关节炎[67]; c) Heerfordt’s综合征: 葡萄膜炎、腮腺炎和发热[68]。
当缺乏这种特定的临床表现时(通常是这种情况),结节病的诊断需要符合结节病的临床-影像学表现,证实受累组织存在肉芽肿性炎症,排除肉芽肿性炎症的其它原因,最好证明有全身性受累[69]。以下将讨论这些要求。
临床-影像学表现: 临床-影像学表现符合结节病,这可能是循环推理的一个例子,因为这意味着在临床表现与结节病相符时应考虑结节病的诊断。然而,在大多数病例中,结节病有一些典型特征。首先,肉芽肿性炎症在数周至数月内缓慢发生,除非给予治疗,否则病变吸收缓慢。因此,大多数结节病表现较缓慢和隐匿。第二,由于结节病常存在于几个器官,多器官受累的证据,尤其在结节病常受累的器官,使得诊断的可能性增加。第三,由于肉芽肿性炎症发病缓慢,所以病人最初出现终末期器官损害如呼吸衰竭或暴发性肝功能衰竭则罕见。结节病的详细常见临床表现超出本文的范围,但在其它地方详细讨论[70,71]。
组织活检: 尽管在结节病病例中,肺通常被选为组织活检部位,因其是最常见的受累器官,但应努力寻找侵入性较小的活检部位,如提示性皮肤病变或结膜结节[72]。当需要进行肺活检时,经常在超声引导下对纵隔淋巴结进行经支气管针吸活检,因为结节病累及纵隔淋巴结较常见,这种操作手段的诊断获益优于创伤较大的方法(经支气管肺活检,纵隔镜检查,电视辅助肺组织活检)[73]。典型的结节病肉芽肿为非干酪性(参见下文),然而,结节病肉芽肿很少有明显的坏死。尽管如此,肺部坏死性肉芽肿性炎症的出现应始终促使人们积极寻找感染性病因[74]。
排除肉芽肿炎症的其它原因: 肉芽肿病应与GLD的感染病因相鉴别,尤其TB。表3总结了结核病与结节病的区别。排除可能引起肺部肉芽肿性炎症的其它原因,包括诱发潜在暴露感染性原(分枝杆菌和真菌)和环境因子(鸟类和热管暴露)史,这些因素可能引起肺部肉芽肿性炎症。此外,应检查组织是否存在结节病典型的肉芽肿性炎症(见下文),应进行适当的染色和培养,以排除潜在的肉芽肿性病原体,如分枝杆菌和真菌,并在适当的情况下,应进行血清学检测以排除感染和环境原因(例如,抗体检测以排除可能导致过敏性肺炎的生物气溶胶暴露,见下文)。
系统性受累的证明: 毫无疑问,结节病是一种系统性疾病,与非特异性炎症综合征(结节性红斑)相关[75],与无反应性有关[76],以及结节病器官移植受者出现结节病的复发[77]。有人提议要求第二个器官出现肉芽肿性炎症才能确定结节病的诊断[70],然而这一要求存在争议[78 ],许多人认为这是不合理的[78,79]。我们的观点是,尽管第二个器官存在肉芽肿性炎症不是结节病诊断必需条件,但其肉芽肿炎症出现确实增加了结节病的诊断的特异性,因为其排除了单个器官的几种肉芽肿性病变,如过敏性肺炎。

3.2.2药物诱导的结节病样反应
药物诱导的结节病样反应(DISR)被定义为与结节病难以区分的一种系统性肉芽肿性反应,并且与开始使用违规药物存在短暂相关性。由于临床或组织病理学的原因,不能将DISR与结节病区分开。与结节病不同, DISRs常常在致病因子暴露停止后消退,并可能随着再激发而复发;这些可能是可靠区分这两种疾病的唯一特征[80]。由于几种与DISRs相关的药物是免疫*制剂抑**和/或化疗药物,因此必须仔细区分DISRs与感染和恶性病变。
与DISR发生相关的最常报道药物是免疫检查点*制剂抑**(ICIs)、高活性抗逆转录病毒治疗(HAART)、干扰素(IFNs)和肿瘤坏死因子α拮抗剂(TNF-α拮抗剂)[80,81]。与结节病相似,DISRs并不一定需要治疗,因为其可能不会引起明显的症状、生活质量损害或器官功能障碍。当DISR需要治疗时,标准的抗结节病方案似乎有效。因为当违禁药物停药时,DISR倾向于改善或消失,这可以考虑[80]。然而,如果药物有效,则不必停药,还可以加用抗肉芽肿药物治疗。事实上,在某些情况下,DISR的发生可能提示诱导药物的获益作用,如经常发生于ICI诱导的DISRs[80]。
3.2.3 肺部肉芽肿*药性**物反应(如甲氨蝶呤、卡介苗接种)
其它药物与肺部肉芽肿性反应有关,但不符合DISR标准,因为其是局部反应或与肺部某一特定物质的沉积有关。这些反应包括用于膀胱癌治疗时甲氨蝶呤引起的急性肉芽肿性间质性肺病[82-84]和因卡介苗播散引起的急性肺部肉芽肿伴肺泡损伤[85,86]。这些是只出现一次的肺部毒性反应,常常呈进行性,并可因肺部损害而导致呼吸衰竭。
3.2.4 恶性肿瘤的结节病样反应
结节病样反应与各种类型的恶性肿瘤有关,包括淋巴增生性癌症和实体癌[87-98]。这些肉芽肿性反应可能是继发于T细胞介导的宿主对可溶性肿瘤抗原和肿瘤坏死释放产物的反应。这些反应需要与肿瘤的恶性扩散相鉴别,这可能会产生疑问,因为这两个情况均可能表现为结节/肿块病变,并且可能在PET扫描上均显示阳性FDG摄取[99,100]。多器官肉芽肿的存在支持结节病的诊断,而恶性结节病样反应通常发生在癌器官,癌性器官的引流淋巴结或癌转移瘤[2]。尽管恶性肿瘤结节病样反应的肉芽肿在组织学上与结节病难以区分,但对恶性肿瘤结节病样反应的活检组织进行免疫分析可能会发现B淋巴细胞和窦性组织细胞,而在结节病肉芽肿中未见这些发现 [2,101]。淋巴浸润的密度和通过免疫组织化学或流式细胞术克隆过程鉴定可能是存在潜在恶性肿瘤的重要线索[102,103]。
3.2.5 肉芽肿性多血管炎
有两种抗中性粒细胞胞质抗体(ANCA)血管炎与坏死性肉芽肿相关: a)肉芽肿性多血管炎(GPA),以前称为Wegener肉芽肿和b)嗜酸粒细胞性肉芽肿性多血管炎(EGPA),也称为Churg Strauss综合征。这些ANCA相关血管炎发生在小到中等大小的血管,并引起多系统受累[104]。
GPA通常影响上呼吸道、耳鼻喉科(ENT)、气管支气管树和肺实质。上呼吸道和ENT受累表现为中耳炎、听力丧失、鼻窦炎、鼻出血或鼻中隔穿孔伴鞍鼻畸形。GPA组下呼吸道受累很常见(>80%),可表现为咳嗽、呼吸困难、胸部不适、咯血、肺泡出血和肺结节、空洞或肺部阴影。肾脏受累发生在>50%的患者。GPA的影像表现较广泛,从结节和团块,再到磨玻璃影和肺实变。气道受累可为局灶性或广泛性[104]。细胞质抗中性粒细胞胞质抗体C-ANCA和蛋白酶-3(PR-3)抗体升高对活动性疾病具有很高的敏感性(85-90%)和特异性(95%)[105]。
EGPA以哮喘、嗜酸性细胞增多症和血管炎三联征为特征。传统上,EGPA被描述为有三个进行性阶段,(1)哮喘和鼻窦炎的 “过敏性/特应性”前驱阶段,(2)嗜酸性阶段,其中富含嗜酸性粒细胞的炎性组织浸润发展,(3)血管炎阶段,表现为可触及的紫癜或多发性单神经炎。EGPA的哮喘期通常发生在血管炎阶段发病之前7~8年,常很严重,经常需要皮质类固醇治疗[104]。EGPA肺外表现包括全身症状、多发性单神经炎、皮肤病变、肾小球肾炎和心脏受累,其导致了50%的病死率。在70-90%的EGPA患者出现胸部影像异常,典型表现为斑片状、双侧、外周实变或磨玻璃影,可呈游走性。核周抗中性粒细胞胞浆抗体p-ANCA伴髓过氧化物酶(MPO)阳性对EGPA敏感性较低,仅35-50% [106]。由于抗体检测敏感性低,EGPA的诊断通常基于临床特征。中年出现的重症哮喘患者应疑似EGPA。目前,美国风湿病学会推荐以下6个标准中有4个可以确诊为EGPA: 哮喘、嗜酸性粒细胞增多、过敏史、肺部影像显示游走性肺部阴影、鼻旁窦异常和血管外嗜酸性粒细胞[107 ]。
3.2.6 过敏性肺炎
过敏性肺炎(HP)是一种肉芽肿性肺疾病,是由于多种生物气溶胶和空气传播的化学物质暴露而引起[108,109]。致病抗原包括微生物、昆虫和动物蛋白以及低分子量无机化合物。这些气溶胶在肺实质中诱发III型变态反应(抗原—抗体)和IV型变态反应(肉芽肿性)。这导致产生针对致病抗原的抗体,并在小气道和肺实质中产生肉芽肿性反应。
根据抗原暴露的慢性程度,HP的临床表现可分为:a)急性;b)亚急性;c)慢性。然而,肉芽肿性反应仅见于亚急性和慢性HP。然而,仅在亚急性和慢性HP中看到肉芽肿性反应。急性HP的特征是暴露于致病抗原后数小时突然出现发热、寒战、咳嗽和呼吸困难,去除暴露后症状缓解。胸部影像可能正常或显示边界不清的阴影[110]。亚急性HP发生于较长期的抗原暴露,其特征为逐渐发作的咳嗽、呼吸困难、疲劳和体重减轻。亚急性HP胸部影像可显示微结节影,主要位于上肺至中肺野区域[111]。慢性HP特征与亚急性HP相似:咳嗽、呼吸困难、疲劳和体重减轻[112]。慢性肺HP标志是发生肺纤维化,影像学表现可能不能与其它纤维化性间质性肺病区别。气溶胶引起的HP可通过与症状发生短暂相关的暴露史、环境的气体生物学调查或血清学检测来确定。出现针对疑似抗原的特异性血清抗体支持HP的诊断,但不能确诊,因为个体可对抗原致敏而没有出现HP的临床表现。此外,对于引起HP的许多常见抗原抗体的检测在市场上并不普及。诊断HP通常不需要活检证实[109,113,114 ]。如果存在已知致病抗原短暂暴露的证据以及相符合的临床、血清学和/或影像学表现,则通常可以确诊HP[115]。治疗方法是避免致病抗原暴露。对已知抗原去除无效的HP患者,可能需要使用皮质类固醇。
3.2.7 慢性铍尘病(CBD)
CBD是一种主要影响肺部的肉芽肿性疾病,可能发生在铍暴露并对铍致敏的个体。人类白细胞抗原(HLA)-DP1基因(Glu69)的基因多态性与铍致敏和CBD发生风险增加密切相关(比值比7.6) [116,117]。CBD的临床、影像学和组织病理学表现与肺结节病难以区分。就各种临床表现的发生率而言,这两种疾病之间存在一些差异,即a)CBD肺外受累少于结节病 [118];b) CBD与结节病相比,实质性肺部受累更常见;和c)CBD通常需要持续治疗,而很大一部分结节病病例会自行缓解[119]。铍暴露史和铍淋巴细胞转化试验阳性对于铍中毒精确诊断至关重要[120]。铍淋巴细胞增殖试验(BeLPT)是一种特异性铍抗原介导的免疫反应的体外检测[121.]。可以从血液或支气管肺泡灌洗中获得的淋巴细胞进行其检测。BeLPT阳性证实了铍致敏作用,但不能区分铍致敏和CBD[120]。CBD确诊需满足下列标准: (a)铍暴露史; (b)血液或支气管肺泡灌洗液BeLPT阳性; (c)肺活检呈非酪样坏死性肉芽肿[122]。如果患者BeLPT阳性而无症状、无影像学表现和肺部病理表现,则考虑为铍致敏[123]。
3.2.8 常见变异型免疫缺陷病
常见变异型免疫缺陷病 (CVID)特征为低丙种球蛋白血症、抗体反应缺陷和复发性感染[124]。CVID的实验室特征包括免疫球蛋白水平显著降低和对普遍存在的抗原和疫苗(如肺炎、麻疹、流行性腮腺炎和风疹)的免疫应答受损[125]。免疫失调常见于CVID,常导致弥漫性淋巴结肿大、脾肿大和恶性肿瘤易感性增加,如淋巴瘤[126,127]。肉芽肿性和淋巴细胞间质性肺病(GLILD)是日益被公认的CVID并发症,发生在8-22%的患者[128]。CVID也可引起肺外肉芽肿性疾病,最常见于淋巴结、脾脏、肝脏和胃肠道[126,127,129]。
04
肉芽肿性肺病的组织病理学特征

在肺组织标本中,肉芽肿是一种常见的组织病理学表现。肺性肉芽肿的鉴别诊断范围广泛,从感染到间质性肺疾病,再到肿瘤。在流程式路径中对周围支气管、血管和肺泡结构的评估可能有助于鉴别诊断。
本部分提供了病理学家面对肉芽肿反应的前瞻性的概述。肉芽肿是组织细胞紧密的多核体聚集物;这些组织细胞具有独特的形态,有鞋形细胞核或卵圆形细胞核,通常被描述为“上皮样细胞”。淋巴细胞和多核巨细胞的存在并不是形成肉芽肿的必要条件。肉芽肿可归类为坏死性肉芽肿,其表现为嗜酸性或嗜碱性坏死,被上皮样组织细胞边缘所环绕。缺乏坏死时,肉芽肿可归类为非坏死性。表4描述了坏死性肉芽肿和非坏死性肉芽肿的鉴别诊断。结核病是表现为肺部肉芽肿性炎症最常见的疾病之一。肺结核通常导致“坏死性肉芽肿”(图1:1a-1c)。然而,存在坏死性肉芽肿并非为结核的特异性,因为类似的发现可见于非结核性分枝杆菌感染、真菌感染以及一系列其它非感染性原因。此外,结核的肉芽肿有时呈非坏死性。通常,确定肉芽肿性炎症的感染病因的下一步是试图鉴定该微生物。对抗酸杆菌进行Ziehl-Neelsen特殊染色,对真菌进行GMS染色,在40X的物体或100X的油浸润区对微生物(特别是在坏死区域的中心)进行切片分析。尽管结核分枝杆菌和非结核分枝杆菌之间似乎存在轻微的形态学差异,但在实际水平上,这些差异不足以区分这些生物体。培养对确诊非常必要,随着多重耐药结核的出现,培养结果对抗生素敏感性试验非常必要。Auramine-rhodamine荧光染色已被用为替代ZN染色品用于鉴定分枝杆菌。尽管Auramine-rhodamine荧光染色法允许在低倍镜下检查(即在较短的时间内可观察到更多的视野,因此在检测分枝杆菌方面比ZN 染色法更敏感),但假阳性涂片存在各种原因。因此,Auramine-rhodamine荧光染色作为分枝杆菌的筛选,应该用ZN染色加以证实。此外,荧光显微镜也需要专业设备。
坏死性肉芽肿性炎症也见于真菌感染,尤其组织胞浆菌、隐球菌、芽生菌、球孢子菌,而曲霉菌较少见。微生物的大小及形态学特征(包括芽生特征)有助于鉴别微生物。H&E染色上不能看到组织包浆菌有机体,其是最小的真菌,而球孢子菌有机体最大,可以看到球形和内生孢子。组织包浆菌有机体在GMS染色上显示较佳,其中有机体呈卵圆形,末端呈锥形。其它有助于鉴定特异性真菌的特征包括隐球菌的窄芽生(也见于组织胞浆菌)和芽生菌病的宽芽生(图1:2a-2c)。其它有助于识别特定真菌生物的特征包括隐球菌病的窄出芽(也见于组织胞浆菌)和芽生真菌病的宽出芽(图2:2a-2c)。尽管粘液卡红染色可能有助于确诊隐球菌(图3:3a-3d),但在隐球菌病病例中,这种染色通常呈阴性,并有显著的肉芽肿反应[130]。由于Fontana Masson染色在荚膜缺陷的隐球菌中呈阳性,因此在粘液卡红染色阴性病例中,疑似隐球菌病时,应考虑Fontana Masson染色[131]。芽生菌是大的酵母菌(8-15μm),具有圆形厚壁,核内有嗜碱性物质。芽生菌病可与形成较大圆形球体(30~60μm)的球孢子菌相鉴别,其其球体内含有大量内生孢子。这些内孢子用GMS染色,尽管球体不能吸收这种染色。
表4. 坏死性和非坏死性肉芽肿的鉴别诊断
|
坏死性肉芽肿的鉴别诊断 |
|
感染 分枝杆菌 结核分枝杆菌 非结核分枝杆菌 真菌 组织胞浆菌 球孢子菌属 芽生菌属 曲霉菌属 隐球菌 寄生虫 恶丝虫属 其它 土拉热弗郎西丝菌 巴尔通体 放线菌 |
|
非感染 血管炎相关 肉芽肿性多血管炎 嗜酸粒细胞性肉芽肿性多血管炎 其它 类风湿结节 坏死性结节病** 吸入性肺炎 |
|
非坏死性肉芽肿的鉴别诊断 |
|
感染 * |
|
非感染 炎症 超敏反应 结节病 热浴缸肺病 铍尘肺 异物相关 吸入性肺炎 滑石粉肉芽肿病 系统免疫相关 Crohn病 慢性肉芽肿病 肉芽肿性和淋巴细胞性间质性肺疾病 常见变异性免疫缺陷 恶性肿瘤的结节病样反应 药物诱导的类结节样反应 病因不明的肉芽肿 |
*感染常伴有坏死性肉芽肿,但也可发生非坏死性肉芽肿。
**结节病通常与非坏死性肉芽肿相关,但也可能发生坏死性肉芽肿

图2:2a-2c:较大结核病:中心性嗜酸性细胞坏死区域,边缘有肉芽肿性炎症,20X,HE (2a)。上皮细胞和多核巨细胞高倍镜,200X,HE (2b)。中心坏死区见抗酸杆菌,400X,ZN染色。2d-2g: 芽生菌病: 肉芽肿伴富含中性粒细胞中心,化脓性肉芽肿。100X,HE (2d, 2e),大圆形厚壁的有机体,单个宽基芽,400x,GMS (2f, 2g)。2h-2k:隐球菌病:融合性隐球菌肉芽肿20X,HE (2h),在坏死碎屑中可见小的圆形暗淡结构,400X,HE (2i)。GMS染色(2j)、粘液卡红染色显示多糖荚膜呈粉红色(2k)可见窄基芽生和大量有机体。

图3 :3a-c:过敏性肺炎:间质浸润扩大肺泡间隔,在肺泡管(3a)、气腔(3b)和邻近动脉(3c)可见松散性肉芽肿。3d-g:结节病:沿小叶间隔、支气管血管束和胸膜处的非坏死性肉芽肿呈淋巴管状分布。
肺结节病的标志是出现形成良好的非干酪样肉芽肿,其沿小叶间隔、支气管血管束和胸膜呈“淋巴管样”分布,包括支气管粘膜和支气管壁以及小中肺血管 (图4 : 4a- 4d)。邻近的肺实质常正常。肺结节病性肉芽肿常由密集的板层状胶原纤维包绕。可在多核巨细胞内发现Schaumann小体和草酸钙结晶,其是内源性产物。这些包含物不是结节病所特有,其存在不能确立诊断。当临床上面临疑似结节病时,病理学家必须认真地寻找组织病理学特征,提示其它疾病的特征包括坏死(提示感染)、弥漫性间质性慢性炎症(提示过敏性肺炎)、植物体的存在(提示吸入性肺炎)和非典型淋巴细胞(提示淋巴瘤)。
与结节病相比,HP的肉芽肿很小,形成不良,以气道为中心,并且更常与多核巨细胞相关(图4: 4a-4c) [132]。由于HP是III型或IV型反应,间质炎症由淋巴细胞组成(I型反应由嗜酸性粒细胞组成)。尽管亚急性和慢性HP也可根据临床依据做出诊断,这些情况有时需要组织活检以确认和/或排除其它诊断。非结核性分枝杆菌可引起包括HTL在内的各种形式的HP。HTL的肉芽肿通常形成良好,鉴别其微生物较困难。如前所述,目前尚不清楚抗原或微生物是否引起HTL。吸入性肺炎的肉芽肿通常出现在支气管周围,包括支气管壁内。这些肉芽肿可能与植物物质、药丸填充材料(如微晶纤维素、滑石粉和聚维酮)反应而形成[133]。多核巨细胞通常在这些肉芽肿中占居多数,也可能出现在机化性肺炎和弥漫性细支气管炎。

图4:4a-c:淋巴瘤:结节病样肉芽肿伴单一形态,显示非典型淋巴浸润。GPA:坏死性肉芽肿伴出现坏死的中心嗜碱粒细胞(4d),中性粒细胞中心伴组织细胞边缘坏死(4e,4f),坏死性血管炎,右侧血管受累多于左侧(4g)。
GPA的肺组织学特征常包括坏死性肉芽肿以及坏死性血管炎。这些肉芽肿的中心坏死常呈鲜红色,并含有大量浓缩的细胞碎屑,因此应考虑感染性病因学作为一种替代诊断。与感染性肉芽肿相反,GPA的化脓性坏死由上皮样组织细胞所环绕。坏死性血管炎发生在坏死区外或仅累及血管的一侧具有独特的形态学特征。GPA中伴有毛细血管炎的肺泡出血对于识别本病很重要,因为这可能与高死亡率相关[134]。
肉芽肿性和间质性肺病(GL-ILD)是最近描述的与CVID相关的疾病,大约发生在10-30%的CVID患者。GL-ILD患者发生结节状、弥漫性间质性慢性炎症,尤其沿支气管血管束分布。肉芽肿通常松散和非坏死性。在组织病理学上,GL-ILD可能与淋巴瘤混淆;然而,CVID病史是指向正确诊断的关键[135]。
与肺部肉芽肿性炎症相关的罕见病变(除真菌或分枝杆菌感染外)包括EGPA(Churg-Strauss)、混合性灰尘尘肺和恶性肿瘤,包括淋巴瘤(图3 :6a-6c)。除嗜酸性粒细胞构成EGPA的主要炎症细胞外,EGPA的病理特征与肉芽肿性多血管炎相似,而中性粒细胞则在肉芽肿性多血管炎中占主要地位(图3 :7a-7d)。EGPA几乎都发生哮喘,因此,哮喘的组织学变化可能累及气道。
05
系列患者肉芽肿性炎症诊断资料

表5总结概括了三个最大的研究结果,这些研究探讨了组织病理学检查所确定的肉芽肿性肺病的病因学[10,12,136]。在复习临床病史、影像学研究、微生物学数据以及特异性组织学特征后而确立这些诊断。共检查了近1000例活检标本。58%~82%的病例被确诊为特异性肉芽肿。3个系列研究中有2个研究其感染性病因比非感染性病因更常见,而在第3个研究中非感染性病因更常见。最可能引起肉芽肿性疾病的感染是分枝杆菌和真菌,最可能的非感染性原因是结节病。这些疾病在世界各地的不均匀分布最有可能解释这些相对诊断率的变异。在一项多中心研究中清楚地表明,特殊感染疾病的诊断率因中心是否在美国境内或国外而有所不同[10]。此外,这些疾病的相对诊断率并不一定反映疾病的局部流行病学,因为需要组织活检来确立肉芽肿性疾病的诊断取决于特异性疾病(结核病:通常为痰,HP:通常为临床表现和血清学,结节病:通常为组织活检)。在所有这些病例中,感染性病原体的诊断通常需要确保组织培养,尤其在分枝杆菌病例中。坏死性肉芽肿最常与感染性病因相关,在阴性染色病例中,NTM是最可能的病因。
表5. 概括探索肉芽肿肺病的三大研究

06
肉芽肿肺病的诊断流程

确定感染性肉芽肿病病因流程十分复杂。对于某些通常致病的肉芽肿性感染,如结核分枝杆菌感染,单纯鉴定这些微生物足以确立诊断。所鉴定的微生物不一定是病原体,需要根据病史、微生物学和其它实验室检查结果才能确诊。图5描述了一种识别/排除GLD感染原因的流程。使用这种流程必须根据病人的特异性特征、不同GLD的发生可能性、拒绝适当治疗或进行不适当治疗的风险以及治疗的潜在毒性来进行个体化。
图5: 感染性肉芽肿性肺病患者的诊治流程

AFB=抗酸杆菌;IGRA=干扰素γ释放试验;GLD=肉芽肿性肺病;NAA=核酸扩增
非感染性肉芽肿的诊断通常需要相似的多方面性流程,因为组织学发现很少有足够的特异性来诊断某一特殊肉芽肿性疾病。表6显示了普通感染性与非感染性GLD的临床、影像学和病理学差异。

胸部影像学研究可以为描述肉芽肿性疾病的潜在病因提供重要线索。高分辨率计算机断层扫描(HRCT)可能提供足够的分辨率以提示特异性诊断。例如,胸部CT“树芽征”表现常被发现为肺部感染,如分枝杆菌感染,指的是多发微结节伴线性分支表现(图6)。 而沿支气管血管束及胸膜下分布的淋巴管周微小结节分布则高度提示为结节病(图7)。胸部CT显示“猪头肉冻征”高度提示为HP(图8)。

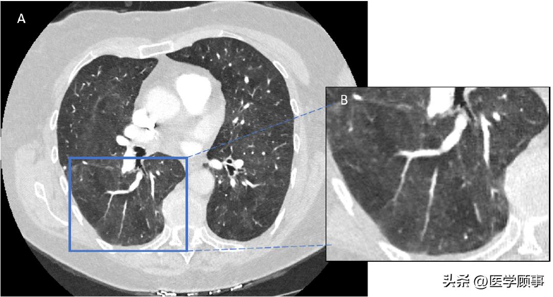
图6:胸部CT显示非结核性分枝杆菌感染患者双肺弥漫性微结节影(树芽征模式)。图A代表CT扫描的横截面,图B代表所选定CT影像的放大图。

图7:胸部CT扫描显示肺结节病表现,其肺部微小结节/混浊影沿支气管束和胸膜下典型分布。

图8:过敏性肺炎患者胸部CT显示磨玻璃影伴马赛克衰减(气体陷闭)“猪头肉冻征”。图A为CT影像的横截面,图B为所选择CT图像的放大图。
07
肉芽肿性肺病治疗综述

肉芽肿性炎症可由包括侵袭性感染、炎症性疾病、恶性肿瘤和血管炎综合征在内的多种临床疾病引起。对这些疾病的治疗可以预防严重的发病率甚至死亡率。 此外,其中一种肉芽肿性疾病的误诊可能会带来灾难性后果。理想情况下,临床医生应该综合病史、实验室检查和其它临床数据来做出具体诊断,因为误诊可能会带来灾难性后果。
对各种感染性和非感染性炎性肉芽肿性肺疾病的治疗策略的详细描述超出了本文的范畴。总之,感染性肉芽肿性肺病应根据药物敏感性试验进行治疗[137,138]。这些感染通常发生在免疫功能低下的患者,应努力提高这些患者的免疫功能(如尽可能减少免疫抑制药物的使用)[139]。偶尔,一些感染性肉芽肿肺病的充分治疗可能需要手术切除残余的局部难治性肺部感染[45,140]。
非感染性炎症性肉芽肿性肺疾病,当已知其诱导抗原时,则需要清除。在这些疾病中也需要抗肉芽肿治疗,在无法确定致病抗原的情况下,如结节病病例,抗肉芽肿治疗可能是主要的治疗手段[141,142]。这种抗肉芽肿疗法常针对TNF-α,包括皮质类固醇和TNF-α拮抗剂。然而,肉芽肿性炎症的免疫发病机制复杂且尚未完全阐明。许多其它抗肉芽肿疗法已用于选择性病例,包括抗代谢物[143144]烷基化剂[145]和JAK-1*制剂抑**[146]。
结节病的治疗较为复杂,在此简要讨论。由于结节病不会引起明显的器官损害或生活质量下降以及治疗与毒性相关,因此结节病的治疗不是强制性的。结节病的治疗必须权衡针对拒绝治疗的风险和药物毒性风险后所带来的治疗获益。结节病最常见的药物治疗涉及皮质类固醇,因为这些药物作用最迅速和最可靠[141]。然而,由于该病常呈慢性,并且皮质类固醇激素具有显著的副作用,考虑采用几种节制皮质类固醇激素和皮质类固醇激素替代疗法,包括抗代谢药物如氨甲喋呤和硫唑嘌呤,以及肿瘤坏死因子α拮抗剂[147]。由于所有这些药物均具有免疫抑制作用,因此需要进一步鉴别结节病与肉芽肿性炎症的感染性病因,因为应用这些免疫抑制药物可能会引起灾难性后果。
偶尔,肉芽肿性肺病的特殊病因仍不清楚。在这些情况下,临床医生需要考虑对一种或多种肉芽肿性疾病进行经验性治疗。令人惊奇的是,除了下面讨论的一些关于结核病经验性治疗的信息外,实际上没有关于肉芽肿性肺病经验性治疗的方法或预后的可用数据。因此,以下是我们在这个问题上提出的指导意见,无可否认,这是基于最低限度的数据。
确定是否治疗未知肉芽肿性肺病的一项主要任务是评估该疾病是否处于活动性。肉芽肿性感染性疾病、结节病和其它肉芽肿性肺部疾病可能会呈非活动性,留下疤痕,主要是无细胞的透明病变,不太可能再活动。这些患者应无体质和全身症状,且无进行性组织受累和/或空洞的病理学、影像学或可视性证据。存在上述任何一个发现提示肉芽肿性疾病处于活动性和具有潜在毁坏性,均应考虑经验性治疗。如果考虑肉芽肿性疾病为非活动性,那么停止治疗可能较为合理。即使不明原因的肉芽肿性疾病被认为处于非活动性,监测各种肉芽肿性疾病的潜在并发症仍然是合适的。例如,如果结节病是一个合理的考虑因素,那么谨慎的做法是对患者进行潜在的结节病眼部或心脏受累筛查,如果仍然不治疗,可能会产生严重后果[148]。如果结核病或真菌疾病是肉芽肿性疾病的合理病因,如果患者免疫功能低下,考虑治疗较为合理。“非活动性结核病”可能包含休眠状态的活性结核分枝杆菌,称为潜伏性结核病感染[149]。对这些患者亚群进行“预防性”治疗可以降低发生活动性肺结核的风险[150]。
如果不明原因的肉芽肿病被认为具有活动性,可能需要经验性治疗。至关重要的是,不明原因的肉芽肿性肺病患者必须对其感染性和非感染性病因进行彻底的治疗前评估,包括对潜在感染性病原体进行足够的组织染色和培养。对肉芽肿性肺病的经验性治疗必须个体化,治疗可能受以下因素的影响:(a)未治疗疾病的风险;(b) 治疗错误疾病的风险(例如,当患者为肉芽肿性感染性疾病时,给予皮质类固醇作为经验性治疗结节病[151-153]);(c)治疗正确疾病时使用不恰当治疗的风险(例如,正确治疗结核病,但由于结核杆菌耐药而使用不恰当药物)。根据这些风险的可能性,临床医生可以选择以下几种治疗方法之一,包括:(a)当密切监测到患者出现某一特殊肉芽肿性肺部疾病的更多特殊体征时,首先停止治疗,同时对病人进行肉芽肿病原体的重新培养; b)同时治疗患者可能的感染性肉芽肿性疾病和可能的非感染性肉芽肿疾病;(c)对病人进行可能的感染性或可能的非感染性肉芽肿性肺部疾病的治疗,如果病人出现代偿失调则考虑换药或加强治疗[154-156]。在第三种选择的病例中,感染性肉芽肿疾病通常首先治疗,如果实际上出现感染性肉芽肿病变,针对肉芽肿炎症的抗炎治疗常常会产生灾难性后果。
08
小结

肉芽肿的形成较复杂,但通常涉及到淋巴细胞增生和巨噬细胞浸润到局部区域。这种炎症反应是针对于特异性抗原。在肺部肉芽肿病例中,抗原通常被吸入到呼吸系统。肉芽肿也有可能是通过免疫失调过程对自身抗原产生反应而形成。因此,肺肉芽肿病可有感染性病因或原发性免疫病因。
最常见的感染性和致死性肉芽肿性肺疾病是结核病。由于结核分枝杆菌始终是一种病原体,诊断取决于通过培养或分子方法鉴定该病原体。结核分枝杆菌感染必须与非结核分枝杆菌和真菌相鉴别,这可通过充分的染色、培养、组织学分析、血清学和分子学技术来完成。
结节病是最常见的非感染性肉芽肿性肺部疾病。结节病的诊断从来不是肯定的,因为它是一种排除性诊断。诊断需要相符合的临床表现,在大多数情况下,需要证实受累组织的非干酪样肉芽肿。其它非感染性肺部肉芽肿性疾病包括过敏性肺炎和肺血管炎。这些诊断是通过临床表现、血清学和有时的组织学分析来确定。肉芽肿性肺病的治疗因病因而异。有时,当肉芽肿性疾病的病因不明且患者存在严重症状时,需要经验性治疗。但问题是因为感染性肉芽肿病作为一种免疫学疾病而治疗或反之可能会产生灾难性的后果。因此,经验性治疗包括对治疗反应的密切监测,有时需要同时给予抗感染和免疫*制剂抑**治疗。
09
专家意见

肉芽肿性反应类型呈非特异性,存在于包括感染性和非感染性肺病在内的多种肺部疾病中。目前的诊断技术包括通过培养和分子方法以及使用临床信息和实验室检查来识别潜在的病原体。这种诊断GLD的路径并不完善,因为常有误诊。目前,GLD的诊断仅仅是用肉芽肿性炎症的存在作为潜在病因的产生,临床医生必须仔细查找才能得到正确的答案。在确定诊断时,很少注意肉芽肿性炎症的过程。有充分的证据表明,感染性GLD涉及到抗原提呈。我们怀疑,从理论上讲,应该有可能阐明这一过程,足够详细的来确定哪种抗原被呈递给靶细胞。这种理解不仅应该能够对感染性GLD做出精准诊断,而且对涉及到存在无机物的一些非感染性GLD也能够做出精准诊断。其他非感染性GLD可能更复杂,涉及到免疫系统失调、抗原结合位点畸变或自身免疫。然而,所有这些过程在理论上可以被确认。因此,我们怀疑对肉芽肿性炎症过程的认识增加将进一步做出更精确的GLD诊断。
这样的认识不仅将使肺GLD的诊断模式发生转变,而且对肺GLD的预防和治疗也将发生转变。一旦确定了引起非感染性GLD的抗原,就有可能避免导致疾病的暴露。在GLD与免疫失调相关的情况下,可能会操纵宿主反应以避免疾病的发展。遗传学极有可能在许多肺部GLD的发展中发挥重要作用。HLA多态性和非HLA多态性与几种非感染性GLD有关,包括结节病[157-160]、慢性铍病[117]和过敏性肺炎[161]。人们认为这些疾病包括遗传易感个体的环境暴露[162]。通过个性化的基因分析,最终可能确定可以避免的特异性潜在抗原,以防止GLD的发展。
最后,从理论上讲,肉芽肿性炎症可能是宿主防御的一种次优形式。尽管人们怀疑人类的炎症反应应该从多年的进化编辑中得到优化,但肉芽肿可能代表了一种基本的“后退”炎症机制,当更有效的微生物清除方法应接不暇时,这种机制就会发挥作用。肉芽肿控制结核病的有效性受到质疑,有人声称肉芽肿能有效地隔绝分枝杆菌,而另一些人则声称它能促进感染[163,164]。肉芽肿通过隔离感染性病原体来预防疾病播散,从而保护宿主,这似乎是显而易见的,因为有充分证据表明,在接受了肿瘤坏死因子α*制剂抑**等肉芽肿破坏药物的潜伏性结核病感染患者中可发生致命的播散性结核病[153,165]。然而,肉芽肿通常不包含或充分杀死结核分枝杆菌的生物体[165,166]。因此,GLD的治疗最终可能涉及刺激其他机制来识别和清除抗原。