
青年男性,有典型心绞痛发作病史,心电图有特征性改变及演变(胸痛发作时心电图正常;胸痛缓解时,V2~V5导联T波倒置),冠状动脉造影检查示左前降支近中段80%~90%弥漫性狭窄,你如何考虑?
【病史】
29岁男性,3天前无明显诱因开始出现胸痛,位于胸骨后,性质剧烈,伴出汗,活动及静息状态下均有发作,每次发作持续约10分钟可缓解,1~2次/天。
2天前,因胸痛发作来我院急诊就诊。胸痛时行急诊心电图示窦性心动过缓,无缺血改变(图1);超声心动图示三尖瓣轻度反流。诊断为"胸痛待查?"。请呼吸内科会诊后,行胸部CT检查未见异常,给予"蒲地兰口服液和尼美舒利",患者回家。患者在家规律服用上述药物,胸痛仍反复发作。

图1. 2016年4月18日08:12:在急诊胸痛发作时,心电图示窦性心动过缓,无缺血改变。
1小时前,无明显诱因再次出现胸痛,部位及性质同前,无放射痛,无胸闷,无咳嗽、咳痰及咯血,无反酸、恶心、呕吐,无头晕、晕厥及肢体活动障碍。自服上述药物后无效,来我院心内科门诊就诊。行心电图检查时,胸痛症状已明显减轻,心电图示窦性心律,V2~V5导联T波双向、倒置(图2),门诊以"冠心病"收入院。

图2. 2016年4月20日11:10:胸痛症状明显减轻时,心电图示窦性心律,V2~V5导联T波双向、倒置。
患者入院后,无胸痛发作时再次复查心电图示窦性心律,V2~V5导联T波深倒置(图3)。

图3. 2016年4月20日14:14:患者无胸痛时,心电图示窦性心律,V2~V5导联T波深倒置。
详细追问病史,患者诉2年前有类似胸痛发作史,否认有高血压、冠心病、糖尿病等慢性病史。
吸烟史10年,约10支/天,无饮酒嗜好,生活规律。适龄婚育,育有1子。
【体格检查】
体温36.5℃,脉搏59次/分,呼吸18次/分,血压150/85 mmHg。发育正常,胸廓对称。双肺呼吸音粗,未闻及干湿性啰音。心前区无隆起,心界不大,心率59次/分,律齐,心音低钝,各瓣膜听诊区未闻及病理性杂音。
【诊疗经过】
患者入院后,初步诊断:1.冠状动脉粥样硬化性心脏病 急性冠脉综合征;2.高血压病?
患者心电图有明显演变,不除外急性心肌梗死可能。急查心肌损伤标志物(心肌酶、肌钙蛋白I、肌红蛋白)正常,淀粉酶、肾功能、血糖、电解质及血常规均正常。
入院后第2天,复查心肌酶示肌酸激酶376 U/L(0~190 U/L),CK-MB、肌钙蛋白I、电解质、血糖、肝功能、血脂、脑钠肽正常。上消化道钡餐透视提示胃炎。
按急性冠脉综合征治疗,给予"阿司匹林肠溶片、氯吡格雷片、阿托伐他汀钙片、单硝酸异山梨酯片、依那普利片"。
24小时动态心电图监测过程中,患者无胸痛发作,全程心电图示窦性心律,V2~V5导联T波倒置(图4)。

图4. 2016年4月22日:24小时动态心电图监测过程中,患者无胸痛发作。
入院第5天,患者再次出现心绞痛,行心电图检查时胸痛症状已明显减轻,V2~V5导联T波倒置较前变浅,甚至直立(图5)。

图5. 2016年4月24日08:13:有胸痛发作,行心电图检查时胸痛症状减轻,V2~V4导联T波双向。
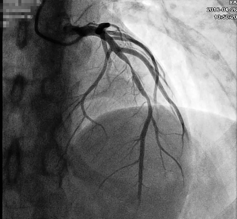
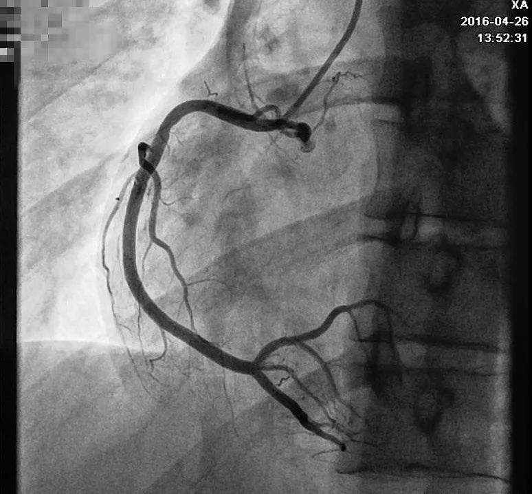
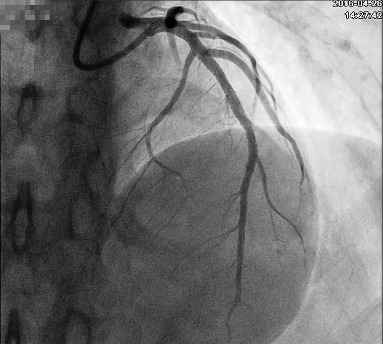
回顾患者病例特点:青年男性,有典型心绞痛发作病史,心电图有特征性改变及演变(胸痛发作时心电图正常;胸痛缓解时,V2~V5导联T波倒置),考虑Wellens综合征。行冠状动脉造影检查示左前降支(LAD)近中段80%~90%弥漫性狭窄,血流慢(图6),右冠近段狭窄20%~30%,回旋支开口狭窄20%~30%(图7)。于LAD置入2枚支架,复查造影提示支架置入处无残余狭窄(图8)。术后规律服用上述药物治疗,未再发作心绞痛。

图6

图7

图8
术后80天复查心电图,提示正常心电图(图9)。

图9. 2016年7月16日:支架置入术后80天复查心电图示正常。
【讨论】
1982年Wellens首先报告不稳定心绞痛患者心绞痛发作后,心电图胸前导联出现特征性T波改变及演变,易进展为急性大面积前壁心肌梗死。此后,命名为Wellens综合征(左前降支T波综合征)。提示左前降支近端严重狭窄(>50%)[1]。
Wellens综合征临床特点
有不稳定心绞痛发作,胸痛发作后心肌损伤标记物正常;超声心动图显示左心室前壁运动减弱;冠状动脉造影示前降支近端狭窄>50%[1]。
Wellens综合征的心电图特征
1、特征性T波改变:主要出现在V2、V3导联(少数可扩延至V4~V6导联),胸痛消失期间T波可成双支对称性倒置,或正负双向,而其中T波正负双向和T波倒置者分别占24%和76%。
2、无病理性Q波及胸前导联R波递增不良。
3、无明显ST段偏移,若有也甚轻微(<1 mm)。
4、特征性T波有明显的演变过程:患者心绞痛再发作时,已存在的T波倒置可能程度加深、伪正常化。或因进展为急性心肌梗死而出现ST段的显著抬高;如患者未再发生心绞痛,则T波倒置的程度逐渐减轻,直到恢复直立,上述演变过程可以持续数小时至数周[2-4]。
Wellens综合征诊断标准
1、有胸痛发作病史。
2、心电图有特征性改变及演变:即胸痛发作时心电图正常;胸痛消失期间V2~V5导联T波呈对称性深倒置或正负双向;冠状动脉血流恢复后,心电图恢复正常。
3、心肌坏死标志物正常或轻度升高。
4、无胸前导联R波振幅下降或消失及无病理性Q波。
5、V2~V3导联(偶V1~V5导联)ST段在等电位线或轻度抬高(<0.1 mV)。
6、冠状动脉造影示左前降支近段严重狭窄[4,5]。
Wellens综合征患者心电图演变过程中,存在T波假性正常化现象。T波假性正常化现象是一种心电现象,心外膜心肌缺血或心肌梗死后,可出现T波倒置(可出现在下壁、前壁、侧壁导联),当心肌缺血再次加重时,倒置的T波变浅或直立,出现假性正常化。此现象对评价心肌梗死后存活心肌可能具有一定的价值,而且也确定在T波假性正常化患者的梗死相关区域,发现了存活心肌的客观证据[6]。
Wellens综合征T波变化的机制
1、胸痛缓解期T波倒置机制:冠状动脉存在严重病变→心外膜缺血严重→出现心肌顿抑及心肌冬眠→外膜心肌复极化过程变慢→复极化方向由心内膜指向心外膜→T波双向或倒置。
2、胸痛发作时T波假性正常化机制:前降支暂时性完全或几乎完全闭塞→远端心肌严重缺血→心内膜缺血更重→心内膜复极化过程比心外膜慢→复极化方向恢复为心外膜指向心内膜→倒置的T波变浅或直立。
3、冠状动脉血流恢复后T波恢复直立机制:顿抑心肌及冬眠心肌经数小时、数天或数周功能完全恢复,T波恢复正常。
本例患者较年轻,有典型心绞痛发作史,胸痛缓解期出现特征性T波倒置,且V2~V4导联倒置最深。此病例诊断明确,心电图演变过程明显,符合Wellens综合征诊断标准。
胸痛发作时心电图正常是导致急诊漏诊的主要原因。对胸痛患者,要特别重视,尽早识别,警惕Wellens综合征,减少急诊漏诊、误诊!
病例提供:济宁医学院附属医院兖州院区 徐萌萌
参考文献:
[1]陈清启.心电图学.第二版.济南.山东科学技术出版社,2012;989.
[2] 马颖艳.Wellens 综合征临床特征研究[J].临床军医杂志,2015.43(7):661-663.
[3] 陈清启.心电图学.第二版.济南.山东科学技术出版社,2012;989-990.
[4] de Zwaan C,Bar Janssen JH,et al.Angiographic and clinical characteristics of patients with unstable angina showing an ECG pattern indicating critical narrouing of the proximal LAD coronary artery[J].Am Heat J,1989,117(3):657-665.
[5] Serap Sobnosky,Rajan Kholi.Samer Bleibel.Wellens syndrome[J].The Intemet Joumal of Cardiology,2006,3(1):6-7.
[6]陈清启.心电图学.第二版.济南.山东科学技术出版社,2012;468-470.
病例征稿啦!
攻克疑难患者,您是否想传授经验、分享喜悦?遇到罕见病例,您是否想找“高手”指点,听取多方见解?那么,机会来了! “心在线”现面向全国征集心血管疾病相关病例啦!我们将为您提供传授经验、切磋技艺的平台,您不仅可以拓宽思路、丰富视角,还可获得丰厚稿酬!
投稿邮箱:content@cardiounion.cn
心在线 专业平台专家打造
编辑
刘倩
┆美编 柴明霞┆制版 田新芳