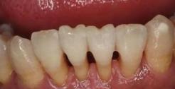
“黑三角”产生的原因

1、牙齿清洁不到位
“黑三角”出现的主要原因是牙菌斑、牙结石的长期刺激,容易导致牙龈萎缩。
2、牙周炎
牙周炎会导致牙龈萎缩,牙槽骨吸收,这是导致黑三角形成的主要原因之一。

3、年龄增长
随着年龄的增长,牙龈高度约每年平均降低0.012mm,黑三角的发病率也会增加。
4、牙齿拥挤
当牙齿拥挤不齐时,牙龈处于萎缩状态,当牙齿排列整齐后感觉牙齿间有黑三角,其实并不是戴牙套所造成的,而是牙龈本身状态既是如此。

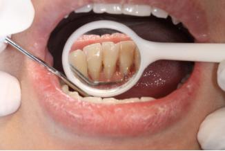
出现“黑三角”该怎么办?
1、注意清洁口腔
黑三角的产生主要是由于牙齿清洁不到位,继而产生了菌斑、牙结石,让牙龈进一步萎缩。所以,如果多加注意牙齿的清洁,是能够有效减少黑三角产生的。另外为了保持牙齿的干净,除了要刷牙外,还应当借助牙缝刷、牙线等工具,正确而全面地清洁牙齿。
2、牙周炎治疗
除了正确刷牙外,还可以借助牙线、冲牙器、牙缝刷等工具的辅助,如果有牙结石的话,要定期洗牙,对牙齿进行全面的清洁。遵循医嘱进行相应的牙周治疗

3、正畸+邻面去釉
如果“黑三角”不严重,则在矫正结束时,可以对邻面去釉改变牙冠形状。从点接触变为表面接触,增大接触面积,同时配合正畸关闭间隙,减少“黑三角”的发生。
4、牙贴面
这种属于比较好的解决黑三角的办法。具体就是,在你的牙齿表面贴一个完整的牙齿薄片,通过适当加大牙齿的外形,来改善黑三角。
