2021年6月8日是个吉利的日子,却是一个不幸的日子,骨折了。赋诗两句:
苟利家国凭傲骨,宁是直折亦不弯!
当日出差东莞,下台面的时候,一不小心踩翻了,只听见咔喳一声,崴脚了,脚踝剧痛。忍住一会,继续干活,脚却肿了,且不太受控,活动起来感受到骨骼摩擦感,心想完了,骨折了……下班后赶紧去附近医院急诊

这是当晚九点多,距离骨折已经四个小时了,越肿越大

急诊科医生给打了石膏,安排冰敷,太冰了,一个敷了一会儿就算了

这是CT诊断书


医生提出手术治疗。由于要申报工伤,社保在深圳,最好转深圳方便报销,所以同事在6.9就安排帮忙转院到深圳公司附近一家医院

此时见面已经肿了很多,又重新抽血拍片检验,恰逢疫情各种不便

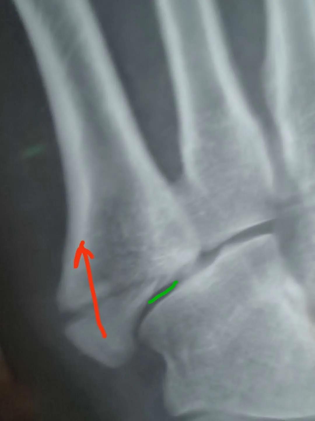
看片子骨缝比较大了,有点移位,而且中间崩碎了一块,一直找不到,后来复查才发现那个碎片掉落在骨缝当中了



此图可以看见中间碎片在骨缝里面

转到这里,刚开始医生嫌弃入院缴纳1000太少了,态度不太好。1000是收费窗口的意见,又不是我要交这么少。
当晚开了很多要,肚子上打针防止血栓,我拒了,

后来打吊针消肿(甘露醇),真是太痛了。理疗照灯还行。后来医生就不见了,第三天把片子丢给我,说,你这保守治疗就好了,转身离去,前后不到一分钟。也不给讲解病情,整的人焦虑啊,两家医院反差大,都是二甲。于是自己网上咨询别家三甲医院医生
意见都是,可以保守治疗,但是年纪不大对运动要求高的话,手术更好。医院又坚持保守,整的人焦虑的很,于是想转院,最后跟公司沟通一系列原因后,选择了保守

不手术的话过几天就出院了,虽然医生开了几瓶钙片,止痛贴,让4--6周复查,还是提前换了三甲医院去检查。
6月底复查,骨缝小的地方已经有了一点愈合的痕迹,医生说如果手术可以在红线位置打个钉子,但是现在打会破坏内部已经开始愈合的部分,建议继续保守……
同时补开了点接骨七厘片

后来自己查询了很多资料,如下这个链接讲解的不错
https://mp.weixin.qq.com/s/34KoNXuiT_3aQSt6eSkB1Q
按照此文意见其实已经具备手术指征
考虑到还未婚,好焦虑啊,好怕以后跛脚了,没人要了


仔细研究一下,这个位置属于足弓的一部分,肌腱附着比较多,挺重要的
焦虑了好久,接下来就是宿舍居家躺平,同事投食。考虑到同事不可能顿顿投食,食堂也不好吃,中途要了外面小饭馆联系方式,托室友在超市屯了好多吃的和水,终于在7月底拿到超市联系方式可以送货了,不会被饿死了,外卖进不来公司,去门口挺远,双拐走一趟大汗淋漓,外卖都是送一次吃一天

其它时间就在屋里居家办公,或者碎觉刷抖音,内心焦虑根本无法安心学习或者办公

7月开始每周拆开石膏泡脚一次,脚面不堪入目,脚后跟那边还有几根韧带都是青紫色,医生问这是怎么回事,我去,我怎么知道,都是崴脚导致的啊。对比刚开始变化太大了,丑了好多

直到8月才基本散去,但是长时间放下脚还是会肿,躺床上的话,不垫高也还好,就是不能放下来,去医院路上肿的样子就不发出来了



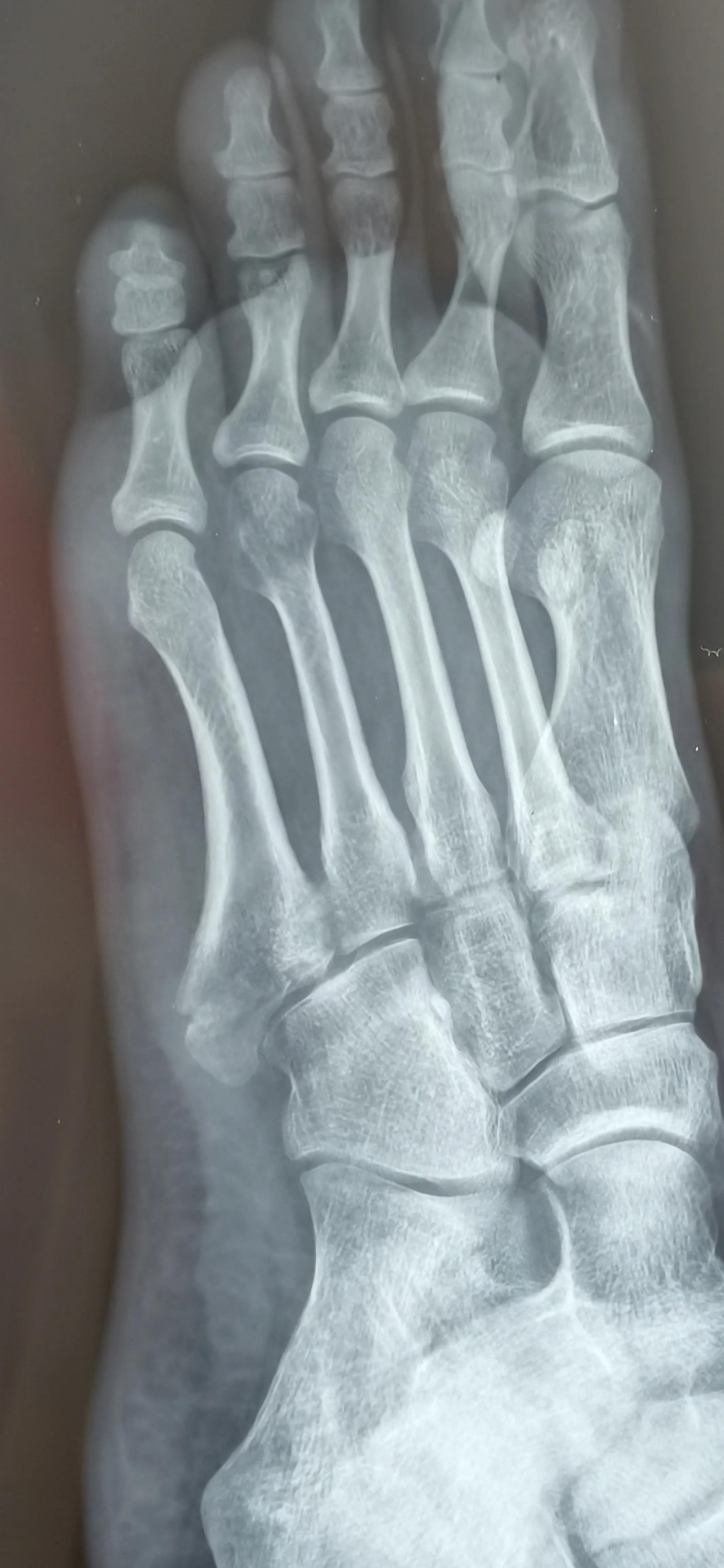
7月底拍了一个CT,愈合不明显,原来第四跖骨也有骨裂,之前都没发现,所以一定要去好医院,好医院器材好,医生经验丰富诊断准确水平高,态度也很有耐心很负责


8月开始每周两次泡脚,纱布都是自己缠的,不用胶带粘,直接缠住后塞到纱布间隙就可以了。
出院后,每天煮个鸡蛋,一到两盒奶,伙食我是真的不太行,就是食堂,有时候实在不想吃,就牛奶泡饭。周末偶尔外卖一下,一次吃两顿这样。8月肌肉萎缩已经很严重,肌肉跟肥肉一样无力


8月底再次复查,已经在愈合了,开口处还没愈合,医生说赶紧拆了石膏吧,再不拆,就要残废了。我立马拆除站起来试试,差点摔了
顺便提一下6.22在屋里摔了一跤,右腿膝盖跟手掌着地,痛的起不来,这下两条腿受伤,手也受伤,拄着双拐都剧痛,一个月才恢复
千万要小心

对比6月和8月

当日老板司机接送的,中午顺便去吃点好吃的,痛哭流涕,三个月吃的无法言喻[流泪]

同时在路边等同事从地库出来的时候,一位保安小哥远远看见就搬出凳子让我坐着,接着又搬过来一个让我把脚放平,还找来云南白药给我喷喷,说酒精没找到。一瞬间感到温暖,来自陌生人的温暖,祝他身体健康工作顺利

下图搬过来第二张凳子就垫起来,不然确实会有胀痛感。套个塑料袋是防止脚石膏整脏了

回来后第三天,也就是8.26就直接脱拐了。在屋里走走。但是81天的制动,关节僵化韧带僵硬,骨折不那么疼,反而是脚踝关节和趾骨基底位置剧痛啊,忍着痛慢慢掰,泡,按摩,拉伸,才慢慢走的更远
刚开始几天偶尔去阳台晒晒脚,但是广东太阳太毒了,吃不消

这80多天,大部分时间都在焦虑,偶尔办公,还有的时间都在刷抖音去了。因为刷抖音不用思考,不劳心,同时也在支付宝种种水果,收货了一次

买了一个弹力带,拉一拉,促进恢复。6月准备资料,7月工伤认定了,8月申请鉴定过两月去鉴定一下,同时差不多该准备报销费用了,期间都在自费

9.6开始上班,一跛一跛的,但是也能自理了,吹吹户外的风,真好
9.9晚上尝试矫正脚正常姿势跛着走,结果回来小腿发抖,韧带和骨折处,脚踝,脚趾头与脚掌之间的趾骨基底特别疼,尤其是后者,又泡脚自己按摩好久
9.10老同事来,一起吃吃饭,走了一万多步了,感觉越来越好。
总结,受什么都不能受伤,生什么都不能生病,没什么都不能没钱,这是本人经历最苦难的阶段,以前好歹在家有父母照看保证吃好喝好,其它无忧。现在自己洗澡架起来受伤的脚保护好,坐个小板凳,宿舍没有洗衣机,所以还是搬个小板凳坐着架起受伤的左脚,慢慢搓。万幸宿舍是一人一间,我在主卧有个独立卫生间,并且是坐便器,不然真就得挑战叶问这个动作了[捂脸]

鸣谢
感谢同事帮忙投食,领导的关照
感谢室友帮忙购物
感谢朋友们的探望,陌生人的关心
[心][心][心]
希望早点恢复正常行走,热爱生活越来越好[比心][玫瑰]