你的牙好吗?装了个烤瓷牙,尿检重金属「严重超标」,并且出现牙龈发炎,出血,*麻疹荨**,长期咳嗽,过敏性鼻炎等症状,听说还会影响人的肾功能......做个「烤瓷牙」真的这么可怕吗?烤瓷牙难道还会「渗毒」?

烤瓷牙真的有毒吗?
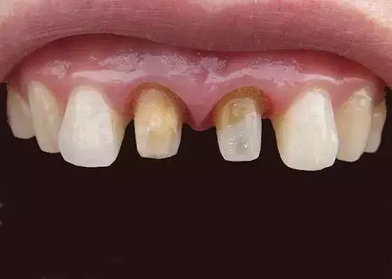
烤瓷牙是一种理想的「修复体」,它是先用合金制成的金属基底,再在表面覆盖与天然牙相似的「低熔瓷粉」,在真空高温烤瓷炉中烧结熔附而成,它通过改变「牙齿外形、颜色」来达到牙齿美容整形的效果。
在这里我们就要讲到烤瓷牙金属「内冠」的成分了!
1
镍铬合金烤瓷牙
因其「低廉的价格」在临床上普遍使用。以该种金属为烤瓷的基底,生物相容性差,一些人会发生过敏现象,镍、铍元素的缓慢释放,沉淀于牙龈,造成「牙龈变色和口腔毒性」, 影响人体健康。这种烤瓷牙在德国,日本在牙科上是「被禁止使用」的,现在在中国也慢慢被淘汰了。所以建议大家在条件允许的情况下不用选择镍铬烤瓷牙。

2
钴铬合金烤瓷牙
钴铬合金烤瓷牙是针对镍、铍的毒性而开发的,因为不含镍和铍,生物相容性大大提高,造成「牙龈变色」的概率也降低,「钴铬合金」最为理想,对要求不是很高的患者修复效果还是可以的。(这种就没有大的问题了)
3
钛及钛合金烤瓷牙
钛具有良好生物相容性,对人体无毒,同时有良好「耐腐蚀性」,是目前发展较好的金属材料,但由于「制作工艺难度高」,对临床应用进一步发展有待进一步研究。
4
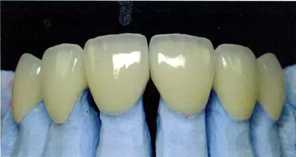
其他还有「贵金属烤瓷牙」和「全瓷牙」等
它们对人体都没有害处。尤其是全瓷牙,不含「金属内冠」的瓷修复体,修复更美观,半透明度与天然牙近似,修复后牙龈边缘表现更加自然,可达到仿真效果,且具有对「周边组织无刺激」等优点,已被广泛用于临床。

金属内冠烤瓷牙
做烤瓷牙,这些东西你要知道!
首先
烤瓷牙作为一种修复手段,如果「牙齿功能」没有问题,是不建议仅仅为了「好看」而做烤瓷牙的,大可通过「牙齿正畸」来解决牙齿不齐的问题。对于烤瓷牙,烤瓷牙虽然可以解决各种难看牙齿问题,但以「磨小健康牙齿」这种带损伤性的治疗是「不可逆」的。所以,做之前一定要慎重。

牙齿矫正效果
其次
烤瓷牙有它的寿命期限,不是一劳永逸的。一般10-15年左右可能需要更换一个(更换时大多数情况下还会再修整下牙齿),这费用也就高了。
再次
金属类烤瓷牙由于有「金属」存在,在以后进行涉及到头面部的影像学检查(X片、CT等)都会受到金属的影响,出现「伪影」,会影响医生的诊断正确性,所以在必要的时候医生可能让您拆除烤瓷牙,检查完以后在粘接上,所以如果您的「头面部有疾病」,经常需要做影像学检查,建议您改为「全瓷材料修复」,价格会比较贵一些,但是这也是必要的。

PS:无论是哪种材料,牙科医生和技师的「技术和责任心」才是最重要的,只要用心制作,镍铬烤瓷牙同样有不俗的效果,可以放心使用,如果技术能力低下,责任心差,再好的材料也只是被浪费。